相关产品推荐更多 >
万千商家帮你免费找货
0 人在求购买到急需产品
- 详细信息
- 询价记录
- 文献和实验
- 技术资料
- 免疫原:
A prokaryotic recombinant protein containing part of the N-terminal domain of the interleukin 6 molecule.
- 亚型:
IgG2a
- 形态:
Liquid
- 保存条件:
Store as concentrated solution. Centrifuge briefly prior to opening vial. Store at 4ºC.
- 克隆性:
Monoclonal
- 标记物:
Unconjugated
- 适应物种:
Human
- 保质期:
12 months from the shipping date of the product.
- 抗原来源:
Human
- 目录编号:
GTX01893
- 级别:
Primary Antibodies
- 库存:
Available
- 供应商:
GeneTex
- 宿主:
Mouse
- 应用范围:
IHC-P
- 浓度:
Batch dependent (Please refer to the vial label for the specific concentration.)
- 靶点:
IL6
- 抗体英文名:
IL6 antibody [10C12]
- 抗体名:
IL6 抗体 [10C12]
- 规格:
500 μl
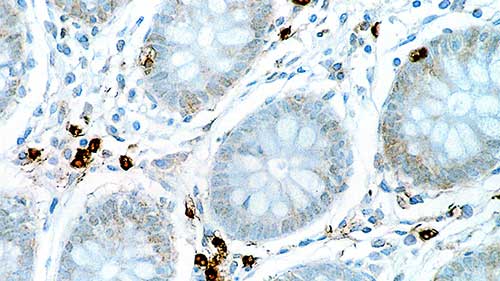
IHC-P analysis of human colon tissue using GTX01893 IL6 antibody [10C12]. Note cytoplasmic staining of a proportion of lymphoid cells.
风险提示:丁香通仅作为第三方平台,为商家信息发布提供平台空间。用户咨询产品时请注意保护个人信息及财产安全,合理判断,谨慎选购商品,商家和用户对交易行为负责。对于医疗器械类产品,请先查证核实企业经营资质和医疗器械产品注册证情况。
- 作者
- 内容
- 询问日期
文献和实验RUVKUN Antibody Staining Protocol revised 10/29/90
RUVKUN Antibody Staining Protocol revised 10/29/90 Fixation: 1. C. elegans N2 grown in liquid or plates. Harvest worms. Wash for 2 hours at room temp. in 1X M9 or PBS. 2. Fix in 5 ml of FRESH THAT DAY 1% paraformaldehyde:
牛白介素 6(IL6)酶联免疫吸附检测试剂盒预期应用本试剂盒运用双抗体夹心 ELISA 法定量测定牛血清、血浆、组织匀浆、细胞裂解液、细胞培养上清液和其他生物液体中 IL6 含量。试剂盒内容试剂名称数量试剂名称数量96孔板(预包被)196孔板覆膜2标准品2标准品稀释液1×20mL检测溶液A1×120μL检测稀释液A1×12mL检测溶液B1×120μL检测稀释液B1×12mLTMB底物1×9mL终止液1×6mL浓洗涤液(30×)1×20mL使用说明书1需自备的设备及试剂1.450±10nm 滤光
the antibody, load the affigel concentrate onto the column and hold at room temperature for 10 minutes.(15) Wash with 50 ml 10 mM Tris 7.5 and then wash with 50 ml 10 mM Tris 7.5/500 mM NaCl. Elute with 5 ml 100 mM Glycine pH 2.5 into 1 ml 1M Tris 8.0.(16
技术资料暂无技术资料 索取技术资料






![Neurotrophin 4 antibody [31A1]](https://img1.dxycdn.com/2022/0328/938/0795621945689400453-14.jpg!wh200)


![CD45 antibody [OX-30]](https://img1.dxycdn.com/2022/0328/195/6239541814799300453-14.jpg!wh200)

