相关产品推荐更多 >
万千商家帮你免费找货
0 人在求购买到急需产品
- 详细信息
- 文献和实验
- 技术资料
- 免疫原:
Prokaryotic recombinant protein corresponding to the internal domain of the protein of the human CD30 molecule.
- 亚型:
IgG1
- 形态:
Liquid
- 保存条件:
Store as concentrated solution. Centrifuge briefly prior to opening vial. Store at 4ºC.
- 克隆性:
Monoclonal
- 标记物:
Unconjugated
- 适应物种:
Human
- 保质期:
12 months from the shipping date of the product.
- 抗原来源:
Human
- 目录编号:
GTX01872
- 级别:
Primary Antibodies
- 库存:
Available
- 供应商:
GeneTex
- 宿主:
Mouse
- 应用范围:
IHC-P
- 浓度:
Batch dependent (Please refer to the vial label for the specific concentration.)
- 靶点:
CD30
- 抗体英文名:
CD30 antibody [JCM182]
- 抗体名:
CD30 抗体 [JCM182]
- 规格:
500 μl
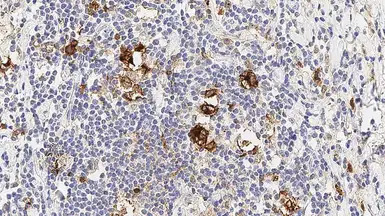
IHC-P analysis of human lymph node, nodular sclerosing hodgkin's disease tissue using GTX01872 CD30 antibody [JCM182]. Note membrane and cytoplasmic staining of the neoplastic cells, CD30: clone JCM182
风险提示:丁香通仅作为第三方平台,为商家信息发布提供平台空间。用户咨询产品时请注意保护个人信息及财产安全,合理判断,谨慎选购商品,商家和用户对交易行为负责。对于医疗器械类产品,请先查证核实企业经营资质和医疗器械产品注册证情况。
文献和实验Bing Deng et al., Aging (Albany NY) 2022 (PMID:35021154)
Chimerization of a Monoclonal Antibody for Treating Hodgkin's Lymphoma
Ber-H2 which recognizes the human CD30 molecule with high specificity and affinity (2 ). CD30, a member of the nerve growth factor (NGF) tumor necrosis factor receptor (TNFR) superfamily (3 ), is strongly expressed on the pathognomonic Hodgkin (H
人可溶性CD30 分子 (sCD30)ELISA 试剂盒 ( 用于血清、血浆、细胞培养上清液和其它生物体液内 ) 原理 本实验采用双抗体夹心 ABC-ELISA 法。用抗人 sCD30 单抗包被于酶标板上,标准品和样品中的 sCD30与单抗结合,加入生物素化的抗人 sCD30 ,形成免疫复合物连接在板上,辣根过氧化物酶标记的 Streptavidin 与生物素结合,加入底物工作液显蓝色,最后
运用Cell Based Elisa检测信号通路蛋白和磷酸化蛋白
using Phospho-p38 antibody (A) and Total-p38 antibody (B). Cell Based Elisa were performed directly in the 96-well plates using Phospho-p38 and Total-p38 antibodies (C). Figure 3: JNK detection with FACECells were serum-starved for 16 hours
技术资料暂无技术资料 索取技术资料







![Ku80 antibody [5C5]](https://img1.dxycdn.com/2022/0328/271/3695464551103500453-14.jpg!wh200)



