相关产品推荐更多 >
万千商家帮你免费找货
0 人在求购买到急需产品
- 详细信息
- 文献和实验
- 技术资料
- 免疫原:
TSH molecule.
- 亚型:
IgG1
- 形态:
Liquid
- 保存条件:
Store as concentrated solution. Centrifuge briefly prior to opening vial. Store at 4ºC. DO NOT FREEZE.
- 克隆性:
Monoclonal
- 标记物:
Unconjugated
- 适应物种:
Human
- 保质期:
12 months from the shipping date of the product.
- 目录编号:
GTX01864
- 级别:
Primary Antibodies
- 库存:
Available
- 供应商:
GeneTex
- 宿主:
Mouse
- 应用范围:
IHC-P
- 浓度:
>17 μg/ml (Please refer to the vial label for the specific concentration.)
- 靶点:
No reactivity with luteinizing hormone, follicle stimulating hormone and human chorionic gonadotrophin.
- 抗体英文名:
TSH antibody [QB2/6]
- 抗体名:
TSH 抗体 [QB2/6]
- 规格:
500 μl
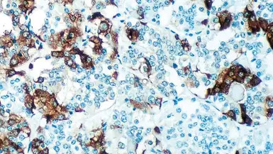
IHC-P analysis of normal human pituitary gland using GTX01864 TSH antibody [QB2/6]. Note cytoplasmic staining of a proportion of anterior pituitary cells.
风险提示:丁香通仅作为第三方平台,为商家信息发布提供平台空间。用户咨询产品时请注意保护个人信息及财产安全,合理判断,谨慎选购商品,商家和用户对交易行为负责。对于医疗器械类产品,请先查证核实企业经营资质和医疗器械产品注册证情况。
文献和实验上海西唐生物科技有限公司 021-55229872, 65333639 www.westang.com 大鼠促甲状腺素 (TSH)ELISA 试剂盒 ( 用于血清、血浆、细胞培养上清液和其它生物体液内 ) 原理 本实验采用双抗体夹心 ABC-ELISA 法。用抗大鼠 TSH 单抗包被于酶标板上,标准品和样品中的 TSH 与单抗结合,加入生物素化的抗大鼠 TSH ,形成免疫复合物连接在板上,辣根
一点小东西希望对大家有些用处 We improved this resource This page was translated from french to it is now finalized Thank you for any comment IMMUNOLOGICAL TECHNIQUES Tools and Techniques Molecular Immunology Antibodies. Antibody uses: Elisa
缩写 全称 中文 AA autoantibody 自身抗体 AAF aminoacetylfluorescence 氨乙酰基荧光 Ab antibody 抗体 ABC avidin-biotin peroxidase complex 抗生物素(亲合素)-生物素-过氧化物酶复合物 ACh acetycholine 乙酰胆碱 AChR acetycholine receptor 乙酰胆碱受体 AChRAb acetycholine
技术资料暂无技术资料 索取技术资料






![iNOS antibody [4E5]](https://img1.dxycdn.com/2022/0328/876/7810462487723500453-14.jpg!wh200)
![C/EBP beta antibody [47A1]](https://img1.dxycdn.com/2022/0329/557/7286076577805020453-14.jpg!wh200)



