相关产品推荐更多 >
万千商家帮你免费找货
0 人在求购买到急需产品
- 详细信息
- 文献和实验
- 技术资料
- 库存:
18
- 英文名:
Ni-NTA 纯化树脂 (Ni-NTA Resin)
- 保质期:
1年
- 供应商:
上海信裕生物科技有限公司
- 保存条件:
-20
- 规格:
20 ml (50%浆体)
| Ni-NTA纯化树脂,Ni-NTA Resin,是用于纯化6xHis标签重组蛋白的一种纯化介质,它是由4%交联的Sepharose耦连了一种四齿螯合剂NTA而得. Ni-NTA树脂用于在非变性或变性条件下纯化任何表达系统表达的6xHis标签重组蛋白。NTA,含有四个螯合区,较一般的三齿螯合剂能更好的结合Ni2+。6xHis可与Ni2+螯合,从而使His标签蛋白结合在Ni-NTA纯化介质上,未结合的蛋白被洗涤下去,结合在介质上的蛋白经过一定浓度的咪唑或低PH缓冲液被温和的洗脱下来,从而得到高纯度的目的蛋白。 | ||
![]() |
||
组分 |
||
| 50%的悬浮液(20%乙醇),已螯合Ni2+。 | ||
主要特征 |
||
|
||
应用 |
||
|
||
储存 |
||
| 4°C保存,切勿冻存。 | ||
实例 |
||
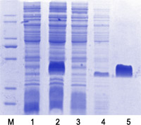
![]() |
Fig.PET28a系统于BL21(DE3)中诱导表达蛋白。M:中分子量蛋白Marker(C0101),泳道1-5分别为:未诱导全菌蛋白,加IPTG诱导全菌蛋白,过柱液,洗涤液,洗脱液。 | |
特别提示:本公司的所有产品仅可用于科研实验,严禁用于临床医疗及其他非科研用途!
风险提示:丁香通仅作为第三方平台,为商家信息发布提供平台空间。用户咨询产品时请注意保护个人信息及财产安全,合理判断,谨慎选购商品,商家和用户对交易行为负责。对于医疗器械类产品,请先查证核实企业经营资质和医疗器械产品注册证情况。
文献和实验One-Step Purification of Recombinant Proteins with the 6xHis Tag and Ni-NTA Resin
nickel ions, giving a highly selective interaction that allows purification of tagged proteins or protein complexes from 95% homogeneity in just one step (1 ,2 ). The tight association between the tag and the Ni-NTA resin allows contaminants
首先,我们先看原理: 纳米颗粒示踪分析仪(NTA)利用光散射和布朗运动的属性,以获得液体悬浮液中样品的粒径分布。 颗粒的运动速度和其粒径有着直接的关联;此技术观测的是颗粒的散射光斑,而不是颗粒本身; 「眼见为实」,确保分析的是目标颗粒而不是背景颗粒或噪音。 然后,我们看下设备介绍:(声明:本次操作基于最近正在使用的 NS300。) 然后,我们看下具体是如何操作的: 开机→清洗→上样→设置参数→调整视野→设置保存路径→检测 →仪器自动分析结果→出报告→保存后下样关机 说明:散射光模式
6xffis-Ni-NTA Chromatography as a Superior Technique in Recombinant Protein Expression/Purification
The 6xHis/Ni-NTA system is a fast and versatile tool for the affinity purification of recombinant proteins and antigenic peptides. It is based on the high-affinity binding of six consecutive histidine residues (the 6xHis tag) to immobilized
技术资料暂无技术资料 索取技术资料












