相关产品推荐更多 >
万千商家帮你免费找货
0 人在求购买到急需产品
- 详细信息
- 文献和实验
- 技术资料
- 抗体名:
NUP85 Antibody抗体
- 抗体英文名:
NUP85 Antibody
- 靶点:
NUP85
- 应用范围:
ELISA, IF, IHC, WB
- 宿主:
Rabbit
- 适应物种:
Human, Mouse
- 保质期:
6-12个月
- 抗原来源:
详询
- 目录编号:
orb629481
- 级别:
科研级
- 库存:
88
- 供应商:
biorbyt
- 标记物:
Unconjugated
- 克隆性:
Polyclonal
- 形态:
liquid
- 亚型:
IgG
- 免疫原:
nucleoporin 85kDa
- 规格:
50 ug
产品描述:Rabbit polyclonal antibody to NUP85
别名:NUP75, PCNT1
免疫原:nucleoporin 85kDa
分子量:70-75kd
应用稀释比例:WB: 1:500-1:2000; IHC: 1:20-1:200; IF: 1:20-1:200
纯度:≥95% as determined by SDS-PAGE
纯化:Immunogen affinity purified
保存说明:Maintain refrigerated at 2-8°C for up to 2 weeks. For long term storage store at -20°C in small aliquots to prevent freeze-thaw cycles.
UniProt ID:Q9BW27
Note:For research use only.


别名:NUP75, PCNT1
免疫原:nucleoporin 85kDa
分子量:70-75kd
应用稀释比例:WB: 1:500-1:2000; IHC: 1:20-1:200; IF: 1:20-1:200
纯度:≥95% as determined by SDS-PAGE
纯化:Immunogen affinity purified
保存说明:Maintain refrigerated at 2-8°C for up to 2 weeks. For long term storage store at -20°C in small aliquots to prevent freeze-thaw cycles.
UniProt ID:Q9BW27
Note:For research use only.

mouse lung tissue were subjected to SDS PAGE followed by western blot with orb629481 (NUP85 antibody) at dilution of 1:400.

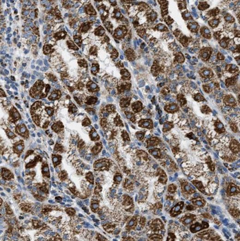
Immunohistochemistry of paraffin-embedded human stomach using orb629481 (NUP85 antibody) at dilution of 1:50.
风险提示:丁香通仅作为第三方平台,为商家信息发布提供平台空间。用户咨询产品时请注意保护个人信息及财产安全,合理判断,谨慎选购商品,商家和用户对交易行为负责。对于医疗器械类产品,请先查证核实企业经营资质和医疗器械产品注册证情况。
文献和实验相关实验
施一公团队突破性进展再登 Science!以超高分辨率解析核孔复合物的结构细节
Y 复合物。CR 中的 16 个 Y 复合体,8 个内部和 8 个外部 Y 复合体,以头到尾的方式组装,以近端和远端同心的形式构建支架。Y 复合体由短臂(Nup85、Nup43 和 Seh1)、长臂(Nup160 和 Nup37)和茎(Nup96、Sec13、Nup107 和 Nup133)组成。 随后,本研究继续将步伐迈向了探索其细节的过程,鉴定了 Nup358、Nup205 和 Nup93 是 CR 支架的组成部分,CR 亚单位模型包含 30 个核孔蛋白中的 19037 个氨
技术资料暂无技术资料 索取技术资料
NUP85 Antibody抗体,orb629481,biorbyt
¥3120










