相关产品推荐更多 >

Anti-CD41/Integrin alpha 2b/Cy5.5 抗体,orb1084187,Biorbyt
¥4796
MRPL50 Antibody - N-terminal region : HRP 抗体,orb2101841,Biorbyt
¥8216
Bnip3l Antibody - middle region : Biotin 抗体,orb2099470,Biorbyt
¥8216
SNRPE Antibody - N-terminal region : FITC 抗体,orb2094009,Biorbyt
¥8216![ZNF346 antibody [N1C3]抗体,orb556727,biorbyt](https://img1.dxycdn.com/p/s14/2025/1204/381/8001351760443146991.jpg!wh200)
ZNF346 antibody [N1C3]抗体,orb556727,biorbyt
¥6890
万千商家帮你免费找货
0 人在求购买到急需产品
- 详细信息
- 技术资料
- 抗体名:
NEFL Antibody抗体
- 抗体英文名:
NEFL Antibody
- 靶点:
NEFL
- 应用范围:
ELISA, IF, IHC, WB
- 宿主:
Rabbit
- 适应物种:
Human, Mouse, Rat
- 保质期:
6-12个月
- 抗原来源:
详询
- 目录编号:
orb629280
- 级别:
科研级
- 库存:
88
- 供应商:
biorbyt
- 标记物:
Unconjugated
- 克隆性:
Polyclonal
- 形态:
liquid
- 亚型:
IgG
- 免疫原:
neurofilament, light polypeptide
- 规格:
50 ug
产品描述:Rabbit polyclonal antibody to NF-L
别名:68 kDa neurofilament protein, CMT1F, CMT2E, FLJ53642, NEFL, NF L, NF68, NFL
免疫原:neurofilament, light polypeptide
分子量:82 kDa
应用稀释比例:WB: 1:500 - 1:2000; IHC: 1:100 - 1:500; IF: 1:50 - 1:200
纯度:≥95% as determined by SDS-PAGE
纯化:Immunogen affinity purified
保存说明:Maintain refrigerated at 2-8°C for up to 2 weeks. For long term storage store at -20°C in small aliquots to prevent freeze-thaw cycles.
UniProt ID:P07196
Note:For research use only.


别名:68 kDa neurofilament protein, CMT1F, CMT2E, FLJ53642, NEFL, NF L, NF68, NFL
免疫原:neurofilament, light polypeptide
分子量:82 kDa
应用稀释比例:WB: 1:500 - 1:2000; IHC: 1:100 - 1:500; IF: 1:50 - 1:200
纯度:≥95% as determined by SDS-PAGE
纯化:Immunogen affinity purified
保存说明:Maintain refrigerated at 2-8°C for up to 2 weeks. For long term storage store at -20°C in small aliquots to prevent freeze-thaw cycles.
UniProt ID:P07196
Note:For research use only.

Various lysates were subjected to SDS PAGE followed by western blot with orb629280 (NEFL antibody) at dilution of 1:1000.

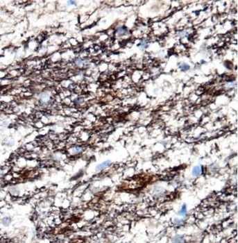
Immunohistochemistry of paraffin-embedded rat brain tissue slide using orb629280 (NEFL Antibody) at dilution of 1:200.
风险提示:丁香通仅作为第三方平台,为商家信息发布提供平台空间。用户咨询产品时请注意保护个人信息及财产安全,合理判断,谨慎选购商品,商家和用户对交易行为负责。对于医疗器械类产品,请先查证核实企业经营资质和医疗器械产品注册证情况。
技术资料暂无技术资料 索取技术资料
NEFL Antibody抗体,orb629280,biorbyt
¥2860





