相关产品推荐更多 >

Histone H2B (Acetyl K20) Mouse Monoclonal Antibody抗体,orb1152063,biorbyt
¥3770
APBB3 Antibody - N-terminal region : HRP 抗体,orb2109113,Biorbyt
¥8216
SH2D2A Antibody (BF680) 抗体,orb1609326,Biorbyt
¥4796
KLF5 Antibody - C-terminal region : HRP 抗体,orb2082653,Biorbyt
¥8216
RIPK3 Antibody (C-term) 抗体,orb1928856,Biorbyt
¥7293
万千商家帮你免费找货
0 人在求购买到急需产品
- 详细信息
- 文献和实验
- 技术资料
- 抗体名:
NDUFS5 Antibody抗体
- 抗体英文名:
NDUFS5 Antibody
- 靶点:
NDUFS5
- 应用范围:
ELISA, IHC, WB
- 宿主:
Rabbit
- 适应物种:
Human, Mouse, Rat
- 保质期:
6-12个月
- 抗原来源:
详询
- 目录编号:
orb629219
- 级别:
科研级
- 库存:
88
- 供应商:
biorbyt
- 标记物:
Unconjugated
- 克隆性:
Polyclonal
- 形态:
liquid
- 亚型:
IgG
- 免疫原:
NADH dehydrogenase(ubiquinone) Fe-S protein 5, 15kDa(NADH-coenzyme Q reductase)
- 规格:
50 ug
产品描述:Rabbit polyclonal antibody to NDUFS5
免疫原:NADH dehydrogenase(ubiquinone) Fe-S protein 5, 15kDa(NADH-coenzyme Q reductase)
分子量:15 kDa
应用稀释比例:WB: 1:500-1:2000; IHC: 1:20-1:200
纯度:≥95% as determined by SDS-PAGE
纯化:Immunogen affinity purified
保存说明:Maintain refrigerated at 2-8°C for up to 2 weeks. For long term storage store at -20°C in small aliquots to prevent freeze-thaw cycles.
UniProt ID:O43920
Note:For research use only.


免疫原:NADH dehydrogenase(ubiquinone) Fe-S protein 5, 15kDa(NADH-coenzyme Q reductase)
分子量:15 kDa
应用稀释比例:WB: 1:500-1:2000; IHC: 1:20-1:200
纯度:≥95% as determined by SDS-PAGE
纯化:Immunogen affinity purified
保存说明:Maintain refrigerated at 2-8°C for up to 2 weeks. For long term storage store at -20°C in small aliquots to prevent freeze-thaw cycles.
UniProt ID:O43920
Note:For research use only.

mouse liver tissue were subjected to SDS PAGE followed by western blot with orb629219 (NDUFS5 antibody) at dilution of 1:800.

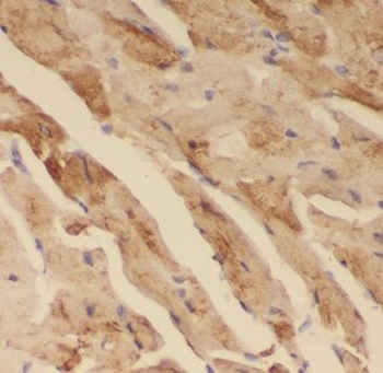
Immunohistochemistry of paraffin-embedded human heart using orb629219 (NDUFS5 antibody) at dilution of 1:50.
风险提示:丁香通仅作为第三方平台,为商家信息发布提供平台空间。用户咨询产品时请注意保护个人信息及财产安全,合理判断,谨慎选购商品,商家和用户对交易行为负责。对于医疗器械类产品,请先查证核实企业经营资质和医疗器械产品注册证情况。
文献和实验相关实验
[资源] 所有的看家基因(housekeeping genes)列表+引物设计服务
sapiens replication protein A2, 32kDa (RPA2), mRNA 537 NM_004356 Homo sapiens CD81 antigen (target of antiproliferative antibody 1) (CD81), mRNA 3638 NM_001743 Homo sapiens calmodulin 2 (phosphorylase kinase, delta) (CALM2), mRNA 4675 NM_004231
技术资料暂无技术资料 索取技术资料
NDUFS5 Antibody抗体,orb629219,biorbyt
¥2860





