相关产品推荐更多 >
万千商家帮你免费找货
0 人在求购买到急需产品
- 详细信息
- 技术资料
- 抗体名:
ATP5G1,2,3/ATP5MC1,2,3 Antibody 抗体
- 抗体英文名:
ATP5G1,2,3/ATP5MC1,2,3 Antibody
- 浓度:
Adding 0.2 ml of distilled water will yield a concentration of 500 μg/ml.
- 应用范围:
ELISA, FC, ICC, IF, IHC, WB
- 宿主:
Rabbit
- 适应物种:
Human, Mouse, Rat
- 保质期:
6-12个月
- 抗原来源:
详询
- 目录编号:
orb546394
- 级别:
科研
- 库存:
99
- 供应商:
Biorbyt
- 标记物:
Unconjugated
- 克隆性:
POLYCLONAL
- 保存条件:
Store at -20˚C for one year from date of receipt. After reconstitution, at 4˚C for one month. It can also be aliquotted and stored frozen at -20˚C for six months. Avoid repeated freeze-thaw cycles.
- 形态:
Lyophilized
- 亚型:
Rabbit IgG
- 免疫原:
E.coli-derived human ATP5F1/ATP5MC1 recombinant protein (Position: D62-L113).
- 规格:
10 ug/100 ug
| 规格: | 10 ug | 产品价格: | ¥3484.0 |
|---|---|---|---|
| 规格: | 100 ug | 产品价格: | ¥6760.0 |
ATP5G1,2,3/ATP5MC1,2,3 Antibody
产品名:ATP5G1,2,3/ATP5MC1,2,3 Antibody
货号:orb546394
产品中文名:ATP5G1,2,3/ATP5MC1,2,3 Antibody 抗体
产品详情链接:https://www.biorbyt.com/atp5g123atp5mc123-antibod-orb546394.html
产品主推四大类:
一. 抗体(Antibody):79万种的一抗。可应用于Western blot,IP,IHC,IF,FACS,ELISA等实验。
二. 蛋白(Protien):13万种的高纯度蛋白。
三. elisa试剂盒(Elisa kit):可以提供超过9万种的ELISA试剂盒,包括人源,大鼠源,小鼠源等。
四. 小分子(Small Molecules):超过12万种的生物活性小分子,主要包括:拮抗剂、抑制剂、抗生素、天然产物。
所有Biorbyt品牌的抗体,蛋白,Elisa试剂盒,小分子等产品,国际航空低温运输,货期短,多数产品货期在1~2周,快捷便利。
我们为研究者们提供免费的、专业的、售前售中售后服务,为您的实验保驾护航。
更多详情请联系我们:027-87663101、15827569716。
产品名:ATP5G1,2,3/ATP5MC1,2,3 Antibody
货号:orb546394
产品中文名:ATP5G1,2,3/ATP5MC1,2,3 Antibody 抗体
产品详情链接:https://www.biorbyt.com/atp5g123atp5mc123-antibod-orb546394.html
Flow Cytometry analysis of HL-60 cells using anti-ATP5G1, 2, 3 antibody (Blue line).Isotype control antibody (Green line) was rabbit IgG .Unlabelled sample (Red line) was also used as a control.
Flow Cytometry analysis of PC-3 cells using anti-ATP5G1, 2, 3 antibody (Blue line).Isotype control antibody (Green line) was rabbit IgG .Unlabelled sample (Red line) was also used as a control.
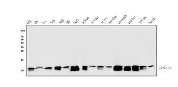
WB:Lane 1:HEPG2
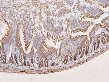
IF analysis of ATP5G1, 2, 3 using anti-ATP5G1, 2, 3 antibody. ATP5G1, 2, 3 was detected in paraffin-embedded section of human intestinal tissue.
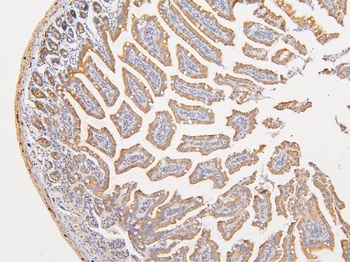
IHC analysis of ATP5G1, 2, 3 using anti-ATP5G1, 2, 3 antibody. ATP5G1, 2, 3 was detected in paraffin-embedded section of rat intestine tissues.
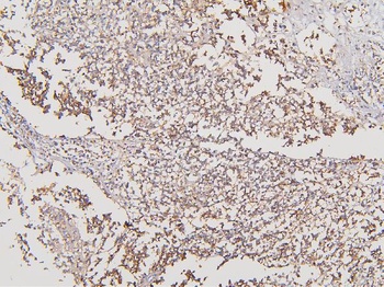
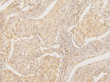
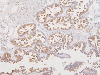
IHC analysis of ATP5G1, 2, 3 using anti-ATP5G1, 2, 3 antibody.ATP5G1, 2, 3 was detected in paraffin-embedded section of human Ovarian cancer tissues.
IHC analysis of ATP5G1, 2, 3 using anti-ATP5G1, 2, 3 antibody.ATP5G1, 2, 3 was detected in paraffin-embedded section of human tonsil tissues.
IHC analysis of ATP5G1, 2, 3 using anti-ATP5G1, 2, 3 antibody.ATP5G1, 2, 3 was detected in paraffin-embedded section of human glioma tissues.
IHC analysis of ATP5G1, 2, 3 using anti-ATP5G1, 2, 3 antibody.ATP5G1, 2, 3 was detected in paraffin-embedded section of human lung cancer tissues.
IHC analysis of ATP5G1, 2, 3 using anti-ATP5G1, 2, 3 antibody.ATP5G1, 2, 3 was detected in paraffin-embedded section of human placenta tissues.
IHC analysis of ATP5G1, 2, 3 using anti-ATP5G1, 2, 3 antibody.ATP5G1, 2, 3 was detected in paraffin-embedded section of mouse intestine tissues.
产品主推四大类:
一. 抗体(Antibody):79万种的一抗。可应用于Western blot,IP,IHC,IF,FACS,ELISA等实验。
二. 蛋白(Protien):13万种的高纯度蛋白。
三. elisa试剂盒(Elisa kit):可以提供超过9万种的ELISA试剂盒,包括人源,大鼠源,小鼠源等。
四. 小分子(Small Molecules):超过12万种的生物活性小分子,主要包括:拮抗剂、抑制剂、抗生素、天然产物。
所有Biorbyt品牌的抗体,蛋白,Elisa试剂盒,小分子等产品,国际航空低温运输,货期短,多数产品货期在1~2周,快捷便利。
我们为研究者们提供免费的、专业的、售前售中售后服务,为您的实验保驾护航。
更多详情请联系我们:027-87663101、15827569716。
风险提示:丁香通仅作为第三方平台,为商家信息发布提供平台空间。用户咨询产品时请注意保护个人信息及财产安全,合理判断,谨慎选购商品,商家和用户对交易行为负责。对于医疗器械类产品,请先查证核实企业经营资质和医疗器械产品注册证情况。
技术资料暂无技术资料 索取技术资料
ATP5G1,2,3/ATP5MC1,2,3 Antibody 抗体,orb546394,Biorbyt
¥3484 - 6760










