相关产品推荐更多 >
万千商家帮你免费找货
0 人在求购买到急需产品
- 详细信息
- 技术资料
- 免疫原:
IgG
- 亚型:
Affinity purification
- 形态:
液体
- 保存条件:
Store at -20°C. Avoid freeze / thaw cycles.
- 克隆性:
单克隆
- 适应物种:
Human Mouse Rat
- 目录编号:
27294
- 库存:
999
- 供应商:
北京索莱宝科技有限公司
- 宿主:
Rabbit
- 应用范围:
IHC
- 靶点:
DHDH
- 抗体英文名:
Anti-DHDH Polyclonal Antibody
- 抗体名:
DHDH
- 规格:
50ml/100ml
| 规格: | 50ml | 产品价格: | ¥960.0 |
|---|---|---|---|
| 规格: | 100ml | 产品价格: | ¥1600.0 |
产品简介
备注:
以上数据均来自公开文献, Solarbio暂未进行独立验证, 仅供参考。
These protocols are for reference only. Solarbio does not independently validate these methods.
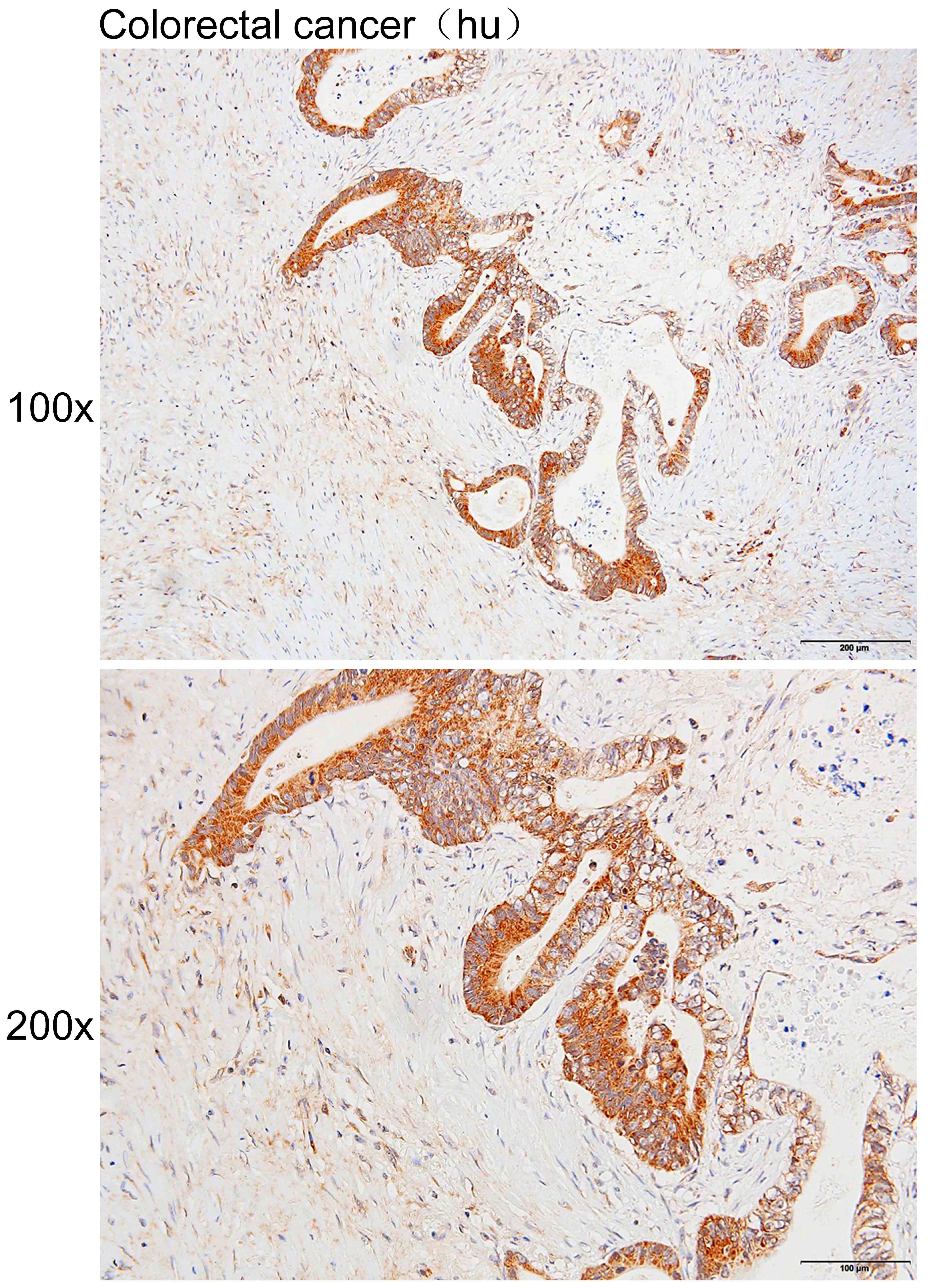
实验图
| 英文名称 | Anti-DHDH Polyclonal Antibody |
| 宿主 | Rabbit |
| 别名 | DHDH;2DD;HUM2DD;dihydrodiol dehydrogenase |
| 稀释比例 | IHC 1:25-100. |
| 蛋白分子量 | 36kDa |
| Gene ID | 27294 |
| 保存 | Store at -20°C. Avoid freeze / thaw cycles. |
| 储存液 | Buffer: PBS with 0.03% Proclin300, 50% glycerol, pH7.3. |
| 纯化方法 | Affinity purification |
| 亚型 | IgG |
| 免疫原 | Recombinant protein of human DHDH |
| 亚细胞定位 | Cytoplasm |
| Swiss Prot | Q9UQ10 |
| 背景资料 | This gene encodes an enzyme that belongs to the family of dihydrodiol dehydrogenases, which exist in multiple forms in mammalian tissues and are involved in the metabolism of xenobiotics and sugars. These enzymes catalyze the NADP1-linked oxidation of transdihydrodiols of aromatic hydrocarbons to corresponding catechols. This enzyme is a dimeric dihydrodiol dehydrogenase, and it differs from monomeric dihydrodiol dehydrogenases in its high substrate specificity for trans-dihydrodiols of aromatic hydrocarbons in the oxidative direction. |
| Public Immunogen Range | 1-334aa |
| 克隆类型 | Polyclonal Antibody |
| 交叉反应 | Human Rat Mouse |
| 应用 | IHC |
| 规格 | 50ul 100ul |
备注:
以上数据均来自公开文献, Solarbio暂未进行独立验证, 仅供参考。
These protocols are for reference only. Solarbio does not independently validate these methods.
实验图
风险提示:丁香通仅作为第三方平台,为商家信息发布提供平台空间。用户咨询产品时请注意保护个人信息及财产安全,合理判断,谨慎选购商品,商家和用户对交易行为负责。对于医疗器械类产品,请先查证核实企业经营资质和医疗器械产品注册证情况。
技术资料暂无技术资料 索取技术资料
Anti-DHDH Polyclonal Antibody
¥960 - 1600









