相关产品推荐更多 >
万千商家帮你免费找货
0 人在求购买到急需产品
- 详细信息
- 技术资料
- 免疫原:
IgG
- 亚型:
Affinity purification
- 形态:
液体
- 保存条件:
Store at -20°C. Avoid freeze / thaw cycles.
- 克隆性:
单克隆
- 适应物种:
Human Mouse Rat
- 目录编号:
10898
- 库存:
999
- 供应商:
北京索莱宝科技有限公司
- 宿主:
Rabbit
- 应用范围:
IHC
- 靶点:
CPSF4
- 抗体英文名:
Anti-CPSF4 Polyclonal Antibody
- 抗体名:
CPSF4
- 规格:
50ml/100ml
| 规格: | 50ml | 产品价格: | ¥960.0 |
|---|---|---|---|
| 规格: | 100ml | 产品价格: | ¥1600.0 |
产品简介
备注:
以上数据均来自公开文献, Solarbio暂未进行独立验证, 仅供参考。
These protocols are for reference only. Solarbio does not independently validate these methods.
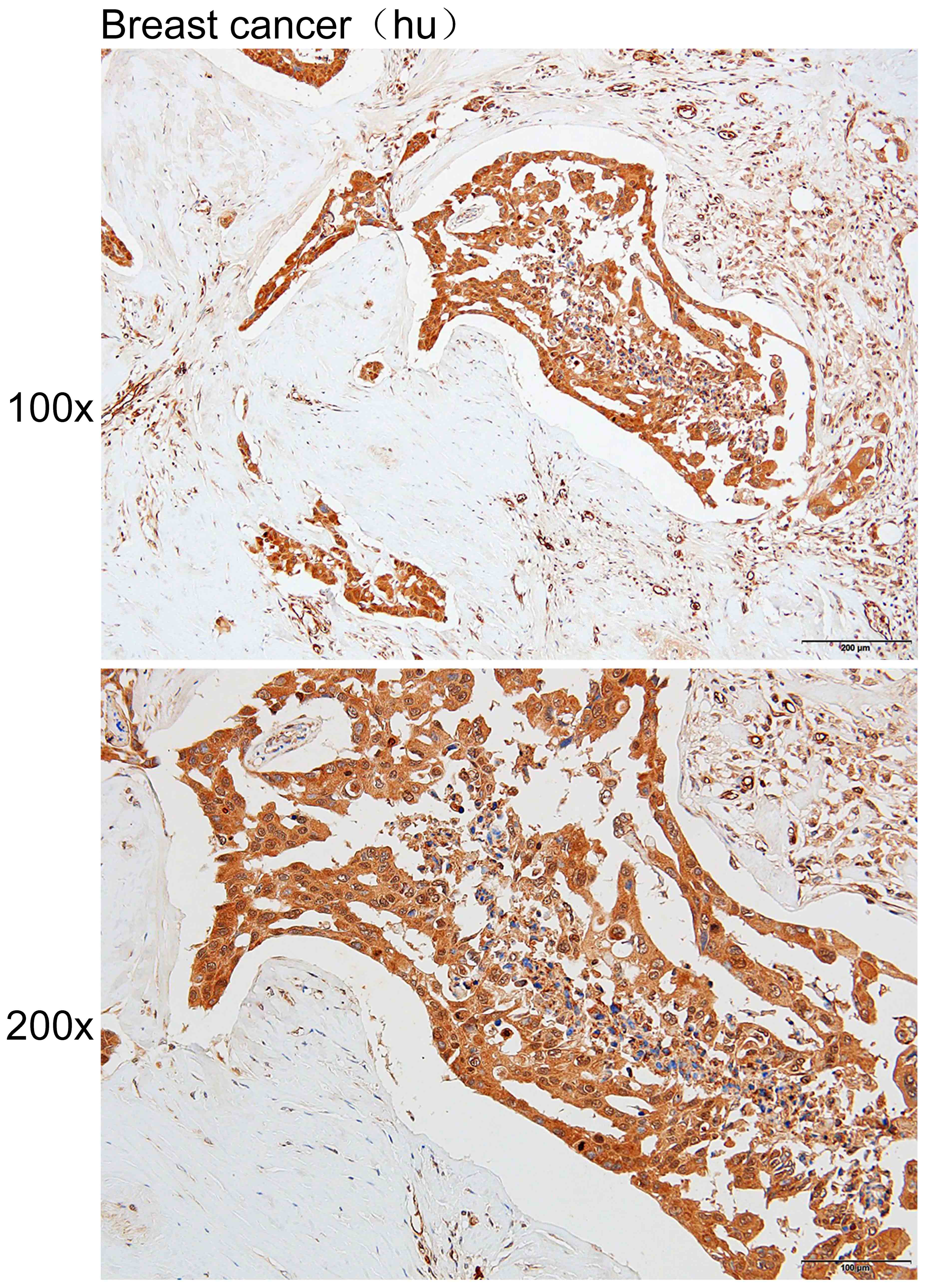
实验图
| 英文名称 | Anti-CPSF4 Polyclonal Antibody |
| 宿主 | Rabbit |
| 别名 | CPSF4;CPSF30;NAR;NEB-1;NEB1;cleavage and polyadenylation specific factor 4 |
| 稀释比例 | IHC 1:25-100. |
| 蛋白分子量 | 27/30kDa |
| Gene ID | 10898 |
| 保存 | Store at -20°C. Avoid freeze / thaw cycles. |
| 储存液 | Buffer: PBS with 0.03% Proclin300, 50% glycerol, pH7.3. |
| 纯化方法 | Affinity purification |
| 亚型 | IgG |
| 免疫原 | Recombinant protein of human CPSF4 |
| 亚细胞定位 | Nucleus Cytoplasm |
| Swiss Prot | O95639 |
| 背景资料 | Inhibition of the nuclear export of poly(A)-containing mRNAs caused by the influenza A virus NS1 protein requires its effector domain. The NS1 effector domain functionally interacts with the cellular 30 kDa subunit of cleavage and polyadenylation specific factor 4, an essential component of the 3' end processing machinery of cellular pre-mRNAs. In influenza virus-infected cells, the NS1 protein is physically associated with cleavage and polyadenylation specific factor 4, 30kD subunit. Binding of the NS1 protein to the 30 kDa protein in vitro prevents CPSF binding to the RNA substrate and inhibits 3' end cleavage and polyadenylation of host pre-mRNAs. Thus the NS1 protein selectively inhibits the nuclear export of cellular, and not viral, mRNAs. Multiple alternatively spliced transcript variants that encode different isoforms have been described for this gene. |
| Public Immunogen Range | 1-269aa |
| 克隆类型 | Polyclonal Antibody |
| 交叉反应 | Human Rat Mouse |
| 应用 | IHC |
| 规格 | 50ul 100ul |
备注:
以上数据均来自公开文献, Solarbio暂未进行独立验证, 仅供参考。
These protocols are for reference only. Solarbio does not independently validate these methods.
实验图
风险提示:丁香通仅作为第三方平台,为商家信息发布提供平台空间。用户咨询产品时请注意保护个人信息及财产安全,合理判断,谨慎选购商品,商家和用户对交易行为负责。对于医疗器械类产品,请先查证核实企业经营资质和医疗器械产品注册证情况。
技术资料暂无技术资料 索取技术资料
Anti-CPSF4 Polyclonal Antibody
¥960 - 1600









