相关产品推荐更多 >
万千商家帮你免费找货
0 人在求购买到急需产品
- 详细信息
- 文献和实验
- 技术资料
- 免疫原:
Synthetic peptides containing conserved N-terminal sequence, GLFG, of Nup98 protein of Tetrahymena thermophila. <br>Peptide 1; 1-MFGNTGGGGLFGNTQTQQTGGGLFGQPQQ-29 <br>Peptide 2; 646-SNPTQGGGLFGAANPGLGG-664 <br>Epitope determined: GLF
- 亚型:
IgG1
- 形态:
Liquid
- 保存条件:
Store as concentrated solution. Centrifuge briefly prior to opening vial. For short-term storage (1-2 weeks), store at 4ºC. For long-term storage, aliquot and store at -20ºC or below. Avoid multiple freeze-thaw cycles.
- 克隆性:
Monoclonal
- 标记物:
Unconjugated
- 适应物种:
Human, Mouse, Saccharomyces cerevisiae, Schizosaccharomyces pombe, Tetrahymena
- 保质期:
12 months from the shipping date of the product.
- 抗原来源:
Tetrahymena
- 目录编号:
GTX00695
- 级别:
Primary Antibodies
- 库存:
Available
- 供应商:
GeneTex
- 宿主:
Mouse
- 应用范围:
WB, ICC/IF
- 浓度:
1 mg/ml (Please refer to the vial label for the specific concentration.)
- 靶点:
For WB application, it works on S. cerevisiae and S. pombe nut may be not suitbale for human, T. etrahymena and yeasts. Recommend GTX00693 NUP98 antibody [13C2] on human, T. etrahymena and yeasts samples.
- 抗体英文名:
NUP98 antibody [21A10]
- 抗体名:
NUP98 抗体 [21A10]
- 规格:
100 μg
WB analysis of S. cereviciae celll extracts using GTX00693 NUP98 antibody [13C2], GTX00695 NUP98 antibody [21A10], or GTX00697 NUP98 antibody [2H10].
Dilution :
13C2 or 21A10 : 1:10
2H10 : 20 μg/ml
WB analysis of Tetrahymena themophila cells or Tetrahymena themophila cells overexpressing GFP-MacNup98A using GTX00693 NUP98 antibody [13C2], GTX00695 NUP98 antibody [21A10], or GTX00697 NUP98 antibody [2H10].
Diamonds and asterisks represent uncharacterized proteins.
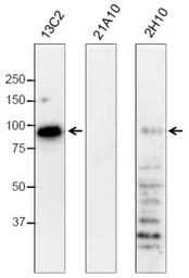
WB analysis of HeLa whole cell lysate using GTX00693 NUP98 antibody [13C2], GTX00695 NUP98 antibody [21A10], or GTX00697 NUP98 antibody [2H10].
Dilution : 0.4 μg/ml
Summary of the suitability of GTX00693 NUP98 antibody [13C2], GTX00695 NUP98 antibody [21A10], or GTX00697 NUP98 antibody [2H10] for immunological applications.
ICC/IF analysis of S. pombe cells using GTX00693 NUP98 antibody [13C2], GTX00695 NUP98 antibody [21A10], or GTX00697 NUP98 antibody [2H10].
Green : Primary antibody
Violet : DAPI
Fixation : 4% PFA for 10 min, treated with 0.6 mg/ml Zymolyase 100T at 3 degree C for 70 min
Permeabilization : 1% Triton X-100 for 1 min
ICC/IF analysis of Tetrahymena themophila cells using GTX00693 NUP98 antibody [13C2], GTX00695 NUP98 antibody [21A10], or GTX00697 NUP98 antibody [2H10]. 13C2 mAb was highly specific to the macronucleus. In contrast, in addition to clear macronuclear staining, 21A10 mAb also stained the micronuclear periphery. This indicates that 21A10 mAb recognizes Nups localizing to the micronucleus such as Nup308 in addition to MacNup98A. Neither mABs 2H10 nor 414 could stain nuclear periphery of Tetrahymena.
Green : Primary antibody
Violet : DAPI
Dilution : 0.5 μg/ml
Fixation : Cold Methanol (-30 degree C) for 30 min
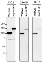
WB analysis of S. pombe cell l extracts using GTX00693 NUP98 antibody [13C2], GTX00695 NUP98 antibody [21A10], or GTX00697 NUP98 antibody [2H10]. Left and right lanes represent specimens from a wild type strain and an S. pombe strain in which Nup98 was chromosomally replaced with Nup98-GFP, respectively.
Dilution :
13C2 or 21A10 : 1:10
2H10 : 1 μg/ml
ICC/IF analysis of HeLa cells using GTX00693 NUP98 antibody [13C2], GTX00695 NUP98 antibody [21A10], or GTX00697 NUP98 antibody [2H10]. The signal at the nuclear periphery with 21A10 mAb was much higher and the background lower than that of 2H10 and 13C2 antibodies.
Green : Primary antibody
Violet : DAPI
Dilution : 0.5 μg/ml
Fixation : Cold Methanol (-30 degree C) for 30 min
ICC/IF analysis of S. cereviciae cells using GTX00693 NUP98 antibody [13C2], GTX00695 NUP98 antibody [21A10], or GTX00697 NUP98 antibody [2H10].
Green : Primary antibody
Violet : DAPI
Dilution :
13C2 or 21A10 : 1:10
2H10 : 10 μg/ml
风险提示:丁香通仅作为第三方平台,为商家信息发布提供平台空间。用户咨询产品时请注意保护个人信息及财产安全,合理判断,谨慎选购商品,商家和用户对交易行为负责。对于医疗器械类产品,请先查证核实企业经营资质和医疗器械产品注册证情况。
文献和实验Iwamoto M et al., Monoclon Antib Immunodiagn Immunother. 2013 (PMID:23607342)
上海西唐生物科技有限公司 021-55229872, 65333639 www.westang.com 人白介素-21 (IL-21)ELISA 试剂盒 ( 用于血清、血浆、细胞培养上清液和其它生物体液内 ) 原理 本实验采用双抗体夹心 ABC-ELISA 法。用抗人 IL-21 单抗包被于酶标板上,标准品和样品中的 IL-21与单抗结合,加入生物素化的抗人 IL
上海西唐生物科技有限公司 021-55229872, 65333639 www.westang.com 小鼠白介素-21 (IL-21)ELISA 试剂盒 ( 用于血清、血浆、细胞培养上清液和其它生物体液内 ) 原理 本实验采用双抗体夹心 ABC-ELISA 法。用抗小鼠 IL-21 单抗包被于酶标板上,标准品和样品中的 IL-21与单抗结合,加入生物素化的抗小鼠
人成纤维生长因子-21(FGF-21)ELISA试剂盒 说明书
人成纤维生长因子-21 ( FGF-21 )ELISA 试剂盒 ( 用于血清、血浆、细胞培养上清液和其它生物体液内 ) 原理 本实验采用双抗体夹心 ABC-ELISA 法。用抗人 FGF-21 单抗包被于酶标板上,标准品和样品中的 FGF-21与单抗结合,加入生物素化的抗人 FGF-21 ,形成免疫复合物连接在板上,辣根过氧化物酶标记的 Streptavidin 与生物素结合,加入底物工作液显蓝
技术资料暂无技术资料 索取技术资料









![CD44 antibody [IM7]](https://img1.dxycdn.com/2022/0328/917/2273212763895500453-14.jpg!wh200)

