相关产品推荐更多 >
万千商家帮你免费找货
0 人在求购买到急需产品
- 详细信息
- 文献和实验
- 技术资料
- 免疫原:
synthetic peptide containing acetyl-Lys315 of human p53
- 亚型:
IgG1
- 形态:
Liquid
- 保存条件:
Store as concentrated solution. Centrifuge briefly prior to opening vial. For short-term storage (1-2 weeks), store at 4ºC. For long-term storage, aliquot and store at -20ºC or below. Avoid multiple freeze-thaw cycles.
- 克隆性:
Monoclonal
- 标记物:
Unconjugated
- 适应物种:
Human
- 保质期:
12 months from the shipping date of the product.
- 抗原来源:
Human
- 目录编号:
GTX00675
- 级别:
Primary Antibodies
- 库存:
Available
- 供应商:
GeneTex
- 宿主:
Mouse
- 应用范围:
WB, ICC/IF, FACS, IP, ELISA
- 浓度:
1 mg/ml (Please refer to the vial label for the specific concentration.)
- 靶点:
p53 (Acetyl Lys120)
- 抗体英文名:
p53 (Acetyl Lys120) antibody [10E5]
- 抗体名:
p53 (Acetyl Lys120) 抗体 [10E5]
- 规格:
100 μg
ICC/IF analysis of HeLa cells treated with 100 nM Doxorubicin for 24 hrs using GTX00675 p53 (Acetyl Lys120) antibody [10E5].
Red : Primary antibody
Green : DAPI
Dilution : 1:1000
Fixation : 4% PFA, overnight
Permeabilization : 0.25% Triton X-100 in PBS for 10 min
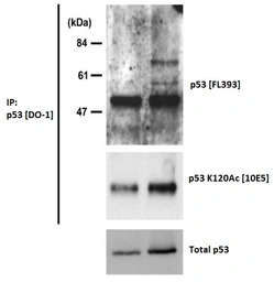
Samples are crude lysates of HCT116 cells. Left lanes are control. Right lanes are cells treated with siRNA to knockdown the expression of a Tip60 interacting protein UHRF1, which results in increase in acetylation of p53 at Lys120. Total p53 was immuno-precipitated with omnipotent GTX70214 p53 antibody [DO1] from the crude extracts and analyzed by Western blotting with anti-p53 antibody (FL393) (upper panel) or GTX00675 anti-p53 acetyl-K120 monoclonal antibody [10E5] (middle panel). The lower panel shows total p53.
IP analysis of various samples using GTX00675 p53 (Acetyl Lys120) antibody [10E5].
Left lane : H1299 cells overexpressing Myc-p53
Right lane : H1299 cells overexpressing both Myc-p53 and His-Tip60
Upper : the whole cell extracts were immuno-blotted with anti-Myc, anti-His-tag or anti-alpha-tublin antibodies.
Lower : the extracts were immuno-precipitated with anti-p53 Ac-K120 antibody [10E5] and the precipitates were immuno-blotted with anti-Myc antibody. Acetylation of p53 at K120 is dependent on Tip60 and promoted by overexpression of His-Tip60.
风险提示:丁香通仅作为第三方平台,为商家信息发布提供平台空间。用户咨询产品时请注意保护个人信息及财产安全,合理判断,谨慎选购商品,商家和用户对交易行为负责。对于医疗器械类产品,请先查证核实企业经营资质和医疗器械产品注册证情况。
文献和实验Chen CY et al., Front Oncol 2020 (PMID:32158695)
技术资料暂无技术资料 索取技术资料


![p53 (Acetyl Lys120) antibody [10E5]](https://img1.dxycdn.com/2022/0328/382/9020403700917700453-14.jpg)



![Synaptophysin antibody [GT1825]](https://img1.dxycdn.com/2022/0329/369/1753556777147020453-14.jpg!wh200)

![Peptide YY antibody [1]](https://img1.dxycdn.com/2022/0329/425/6718872313857020453-14.jpg!wh200)
![Renal Cell Carcinoma antibody [PN-15]](https://img1.dxycdn.com/2022/0328/889/5149922520290800453-14.jpg!wh200)
