相关产品推荐更多 >
万千商家帮你免费找货
0 人在求购买到急需产品
- 详细信息
- 技术资料
- 免疫原:
Recombinant protein
- 亚型:
IgG
- 形态:
Liquid
- 保存条件:
Store as concentrated solution. Centrifuge briefly prior to opening vial. For short-term storage (1-2 weeks), store at 4ºC. For long-term storage, aliquot and store at -20ºC or below. Avoid multiple freeze-thaw cycles.
- 克隆性:
Monoclonal
- 标记物:
Unconjugated
- 适应物种:
Human, Rat
- 保质期:
12 months from the shipping date of the product.
- 抗原来源:
Human
- 目录编号:
GTX01058
- 级别:
Primary Antibodies
- 库存:
Available
- 供应商:
GeneTex
- 宿主:
Rabbit
- 应用范围:
WB, ICC/IF, IHC-P
- 浓度:
1 mg/ml (Please refer to the vial label for the specific concentration.)
- 靶点:
CD46
- 抗体英文名:
CD46 antibody [JB25-49]
- 抗体名:
CD46 抗体 [JB25-49]
- 规格:
100 μl
Various whole cell extracts (30 μg) were separated by 10% SDS-PAGE, and the membrane was blotted with CD46 antibody [JB25-49] (GTX01058) diluted at 1:500. The HRP-conjugated anti-rabbit IgG antibody (GTX213110-01) was used to detect the primary antibody.
IHC-P analysis of human placenta tissue section using GTX01058 CD46 antibody [JB25-49].
ICC/IF analysis of PFA-fixed PC-3M cells using GTX01058 CD46 antibody [JB25-49].
Green : primary antibody
Blue : DAPI
Permeabilization : 0.25% Triton X-100 in PBS
ICC/IF analysis of PFA-fixed HUVEC cells using GTX01058 CD46 antibody [JB25-49].
Green : primary antibody
Blue : DAPI
Permeabilization : 0.25% Triton X-100 in PBS
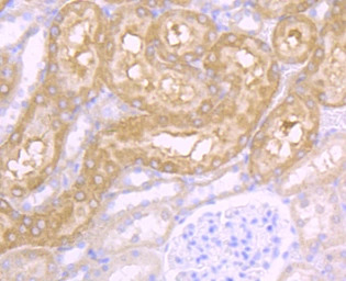
IHC-P analysis of rat kidney tissue section using GTX01058 CD46 antibody [JB25-49].
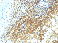
IHC-P analysis of human colon cancer tissue section using GTX01058 CD46 antibody [JB25-49].
IHC-P analysis of human breast tissue section using GTX01058 CD46 antibody [JB25-49].
风险提示:丁香通仅作为第三方平台,为商家信息发布提供平台空间。用户咨询产品时请注意保护个人信息及财产安全,合理判断,谨慎选购商品,商家和用户对交易行为负责。对于医疗器械类产品,请先查证核实企业经营资质和医疗器械产品注册证情况。
技术资料暂无技术资料 索取技术资料


![CD46 antibody [JB25-49]](https://img1.dxycdn.com/2022/0328/565/1201884501566700453-14.jpg)



![CD44v4 antibody [CD44v4/1219]](https://img1.dxycdn.com/2022/0328/133/6846809624589600453-14.jpg!wh200)

![Glypican 4 antibody [AT51E3]](https://img1.dxycdn.com/2022/0328/496/9691305430357300453-14.jpg!wh200)
![RECK antibody [9G19]](https://img1.dxycdn.com/2022/0328/167/5209441279389400453-14.jpg!wh200)
