相关产品推荐更多 >
万千商家帮你免费找货
0 人在求购买到急需产品
- 详细信息
- 技术资料
- 供应商:
上海泽叶生物科技有限公司
- 库存:
大量
- 靶点:
详见说明书
- 级别:
高
- 目录编号:
ZY-346Ab
- 克隆性:
多克隆
- 抗原来源:
多抗制备
- 保质期:
2年
- 抗体英文名:
Polyclonal Antibody to Ghrelin (GHRL)
- 抗体名:
MTLRP; Growth Hormone-Releasing Peptide
- 标记物:
无标记物
- 宿主:
兔
- 适应物种:
Sus scrofa; Porcine (Pig,猪)
- 免疫原:
详见说明书
- 亚型:
详见说明书
- 形态:
液体
- 应用范围:
WB; IHC; ICC; IP. 如果抗体需用于流式细胞术,请参见流式抗体
- 浓度:
0.5mg/ml
- 保存条件:
-20°C
- 规格:
支
饥饿素(GHRL)多克隆抗体
1、制备抗原。
2、选择实验动物。
3、动物免疫。
4、试取血进行测试,看看是否成功免疫。
5、如果成功免疫,杀死实验动物,采集全部血清。
6、纯化出抗体。
7、鉴定抗体。包括纯度以及特异性。
本公司的所有产品仅可用于科研实验,严禁用于临床医疗及其他非科研用途!
Polyclonal Antibody to Ghrelin (GHRL)
MTLRP; Growth Hormone-Releasing Peptide
- 物种Homo sapiens (Human,人) 相同的名称,不同的物种。
- 来源多抗制备
- 宿主兔
- 效价-
- Ig类型IgG
- 纯化方式抗原特异性亲和纯化
- 标记物无标记物
- 免疫原-饥饿素(GHRL)重组蛋白
- 缓冲液成份磷酸盐缓冲液(pH7.4,含有0.02% NaN3和50%甘油)
- 性状液体
- 浓度0.5mg/ml
- 且适物种Sus scrofa; Porcine (Pig,猪)
- 应用WB; IHC; ICC; IP.
如果抗体需用于流式细胞术,请参见流式抗体。 - 规格20µl100µl 200µl 1ml 10ml

特异性
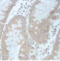
该抗体是针对GHRL的兔多克隆抗体。在免疫组织化学染色和免疫印迹实验中能识别GHRL。
用法
Western blotting: 0.5-2µg/mL;1:250-1000
Immunohistochemistry: 5-20µg/mL;1:25-100
Immunocytochemistry: 5-20µg/mL;1:25-100
Optimal working dilutions must be determined by end user.
储存
经常使用则4°C保存。-20°C保存不超过两年。避免反复冻融。
稳定性
热稳定性以损失率显示。损失率是由加速降解试验决定,具体方法如下:在37°C孵育48小时,没有显著的降解或者沉淀产生。保质期内,在适当的条件下存储,损失率低于5%。
多克隆抗体的制备一般包括以下几个步骤:1、制备抗原。
2、选择实验动物。
3、动物免疫。
4、试取血进行测试,看看是否成功免疫。
5、如果成功免疫,杀死实验动物,采集全部血清。
6、纯化出抗体。
7、鉴定抗体。包括纯度以及特异性。
本公司的所有产品仅可用于科研实验,严禁用于临床医疗及其他非科研用途!
风险提示:丁香通仅作为第三方平台,为商家信息发布提供平台空间。用户咨询产品时请注意保护个人信息及财产安全,合理判断,谨慎选购商品,商家和用户对交易行为负责。对于医疗器械类产品,请先查证核实企业经营资质和医疗器械产品注册证情况。
技术资料暂无技术资料 索取技术资料
饥饿素(GHRL)多克隆抗体
¥569 - 18960









