相关产品推荐更多 >
万千商家帮你免费找货
0 人在求购买到急需产品
- 详细信息
- 询价记录
- 文献和实验
- 技术资料
- 提供商:
中科光华(西安)智能生物科技有限公司
- 服务名称:
组织芯片
组织芯片(tissu microarray,TMA)与基因芯片、蛋白质芯片及细胞芯片等一样,属于一种特殊、新型的生物芯片,是一种新型的高通量、多样本的研究工具。它将数十个甚至上千个不同个体的组织标本集成在一张固相载体上,为医学分子生物学提供了一种高通量、大样本以及快速的分子水平的分析工具。研究者一次可有效利用成百上千份自然或出于疾病状态下的组织标本来研究特定基因及其所表达的蛋白质与疾病之间的相关关系,对于疾病的分子诊断,预后指标和治疗靶点的定位,抗体和药物的筛选等方面均有十分重要的实用价值。




| 芯片编号: | F561101 | ||||||||||||||
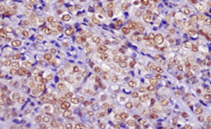
| 芯片名称: | 乳腺癌组织芯片,附TNM、临床分期及病理分级 | ||||||||||||||
| 芯片说明: | 含非特殊性浸润性乳腺癌56例,每例一点 | ||||||||||||||
| 取样方式: | 一例一点 | ||||||||||||||
| 点数: | 56 | ||||||||||||||
| 例数: | 56 | ||||||||||||||
| 点样直径: | 1.5mm | ||||||||||||||
| 检测片库存: | 20 | ||||||||||||||
| 预实验片库存: | 20 | ||||||||||||||
| H&E染色片库存: | 20 | ||||||||||||||
| 组织固定方式: | 福尔马林固定24h | ||||||||||||||
| QA/QC: | HE染色和IHC染色 | ||||||||||||||
| 应用: |
常规组织学操作包括免疫组织化学(IHC)和原位杂交(ISH), 可以在我们的技术支持页面找到操作流程。 |
||||||||||||||
| 注意事项: |
1.收到产品后请在4°保存,并在3个月内使用; 2.请在实验前60°烤片30分钟; 3.请选择温和的修复方式,以免造成组织脱落。 |
||||||||||||||
风险提示:丁香通仅作为第三方平台,为商家信息发布提供平台空间。用户咨询产品时请注意保护个人信息及财产安全,合理判断,谨慎选购商品,商家和用户对交易行为负责。对于医疗器械类产品,请先查证核实企业经营资质和医疗器械产品注册证情况。
- 作者
- 内容
- 询问日期
文献和实验ROTORS Table F.1. Rotor Characteristics Figure F.1. Cross section of Sorvall SS-34 rotor. Rotors for a centrifuge are either fixed angles , swinging buckets , continuous flow, or zonal, depending upon whether the sample is held
P=0.05 (双侧) r r(较大均方的自由度) n 2 2 3 4 5 6 7 8 9 10 12 15 20 30 60 00 1 799 364 899 922 937 948 957 963 969 977 985 993 1001 1010 1018 1 2 39.0 39.2 39.2 39.3 39.3 39.3 39.4 39.4 39.4 39.4 39.4 39.4 39.5 39.5 39.5 2 3 10.0 15.4 15
指在大肠杆菌等细菌细胞中具有能和染色体分开进行独立复制的 F因子的雄性菌株。具有 F纤毛,通过与雌性菌株接合,可以高的频率进行 F因子的传递,同时也以低频率雄性菌的染色体向雌性菌传递。 F 菌株群体中有时有的细菌会失去 F因子而变为 F- 菌,但这种频率是很低的(约为 0.1%)。通过在含有适当浓度的吖啶色素的培养基中培养等方法,由于仅 F因子的复制受特异的抑制,所以可以很高的频率获得 F-菌株。










