万千商家帮你免费找货
0 人在求购买到急需产品
- 详细信息
- 询价记录
- 技术资料
- 供应商:
上海信裕生物科技有限公司
- 库存:
50
- 克隆性:
多克隆
- 抗原来源:
Rabbit
- 保质期:
一年
- 抗体英文名:
TNFSF10/TRAIL Rabbit Polyclonal Antibody
- 抗体名:
TNFSF10/TRAIL Rabbit Polyclonal Antibody
- 保存条件:
TNFSF10/TRAIL Rabbit Polyclonal Antibody -20ºC保存,Western一抗稀释液-20ºC或4ºC保存,一年有效。Western一抗稀释液优先推荐4ºC保存,长期不使用可以考虑-20ºC保存,但冻融可能会导致出现轻微的浑浊和少量不溶物。
WB, Western blot; IP, Immunoprecipitation; IF, Immunofluorescence; IHC, Immunohistochemistry; ICC, Immunocytochemistry; FC, Flow Cytometry; ChIP, Chromatin Immunoprecipitation Assay; ChIP-seq, ChIP-sequencing.
H, Human; M, Mouse; R, Rat; C, Chicken; Cw, Cow; Dg, Dog; Gp, Guinea pig; Hm, Hamster; Hr, Horse; Mk, Monkey; Pg, Pig; Rb, Rabbit; S, Sheep; Z, Zebrafish; All, all species expected.
配套提供了Western一抗稀释液,可以用于Western检测或其它适当用途时的一抗稀释。
建议抗体使用时的稀释比例如下(实际使用时需根据抗原水平的高低作适当调整):
| WB | IP | IF | IHC | ICC | FC | ChIP | ChIP-seq |
| 1:500-1:2000 | - | - | 1:50-1:200 | 1:50-1:200 | - | - | - |
抗体详细信息如下::
| About this Antibody | |
| Name | TNFSF10/TRAIL Rabbit Polyclonal Antibody |
| Category | Rabbit Polyclonal Antibody (pAb); Primary antibody |
| Isotype | IgG |
| Purification method | Affinity purification |
| Positive samples | Mouse kidney |
| Cellular location | Membrane, Single-pass type II membrane protein |
| Customer validation | - |
| About the Immunogen | |
| Immunogen | Recombinant fusion protein of human TNFSF10 (NP_003801.1). |
| Sequence | TNELKQMQDKYSKSGIACFLKEDDSYWDPNDEESMNSPCWQVKWQLRQLVRKMILRTSEETISTVQEKQQNISPLVRERGPQRVAAHITGTRGRSNTLSSPNSKNEKALGRKINSWESSRSGHSFLSNLHLRNGELVIHEKGFYYIYSQTYFRFQEEIKENTKNDKQMVQYIYKYTSYPDPILLMKSARNSCWSKDAEYGLYSIYQGGIFEL |
| Gene ID | 8743 |
| Swiss Prot | P50591 |
| Synonyms | TNFSF10; APO2L; Apo-2L; CD253; TL2; TNLG6A; TRAIL; TNF superfamily member 10 |
| Category | Death Receptor Signaling; NF-κB Signaling; Regulation of Apoptosis; Tumor Necrosis Factor |
| Background | Tumor necrosis factor (TNF)-related apoptosis-inducing ligand (TRAIL), also referred to as Apo2 ligand, first identified based on its sequence homology to TNF and Fas/Apo ligand is a member of the TNF family of cytokines and either exists as a type II membrane or soluble protein. TRAIL induces apoptosis in a variety of transformed cell lines and plays a role in anti-tumor and anti-viral immune surveillance. TRAIL signals via binding with death receptors DR4 (TRAIL-R1) and DR5 (TRAIL-R2) which can trigger apoptosis as well as NF-κB activation. Death domains on these receptors leads to the recruitment of a death-induced signaling complex (DISC) leading to caspase-8 and subsequent caspase-3 activation. In addition, TRAIL binds with decoy receptors DcR1 (TRAIL-R3) and DcR2 (TRAIL-R4, TRUNDD) which lack the functional cytoplasmic death domain antagonizing TRAIL-induced apoptosis. Osteoprotegerin (OPG) has also been identified as receptor capable of inhibiting TRAIL-induced apoptosis. The selectivity of soluble TRAIL at triggering apoptosis in transformed cells as compared to normal cells has led to its investigation as a potential cancer therapeutic. |
包装清单:
| 产品编号 | 产品名称 | 包装 |
| XY-8205 | TNFSF10/TRAIL Rabbit Polyclonal Antibody | 50μl |
| XY-050 | Western一抗稀释液 | 50ml |
| — | 说明书 | 1份 |
保存条件:
TNFSF10/TRAIL Rabbit Polyclonal Antibody -20ºC保存,Western一抗稀释液-20ºC或4ºC保存,一年有效。Western一抗稀释液优先推荐4ºC保存,长期不使用可以考虑-20ºC保存,但冻融可能会导致出现轻微的浑浊和少量不溶物。
注意事项:
如果本抗体用于Western blot (WB)、免疫荧光(IF)、免疫细胞化学(ICC)等实验,请注意回收使用过的稀释抗体。回收的抗体通常至少可以重复使用5-10次。稀释后的抗体,包括已经使用过的稀释抗体,请4℃保存。
回收后重复使用的抗体,使用方法同新鲜稀释的抗体。如果在重复使用过程中发现抗体出现轻微混浊现象,可以10,000g离心1-3分钟,取上清用于后续检测。如果回收的抗体出现明显的絮状物或长霉长菌等情况,则可以考虑废弃该抗体。
提供的Western一抗稀释液也可以用于免疫荧光(IF)、免疫组化(IHC)、免疫细胞化学(ICC)等适当用途。如果希望获得最佳的检测效果,请考虑使用上述检测专用的一抗稀释液。
本产品仅限于专业人员的科学研究用,不得用于临床诊断或治疗,不得用于食品或药品,不得存放于普通住宅内。
为了您的安全和健康,请穿实验服并戴一次性手套操作。
使用说明:
请根据抗体的实际用途选择相应的使用方法。
1. Western检测:
a. 按照推荐的稀释比例用信裕生物提供的Western一抗稀释液稀释抗体。
b. 把经过封闭的蛋白膜与稀释好的一抗4℃缓慢摇动过夜或室温缓慢摇动2小时,确保稀释的抗体至少能在摇动的瞬间覆盖蛋白膜。
c. 回收稀释的一抗,4℃保存以备下次继续使用。
d. 按照Western的实验步骤进行后续的洗涤、二抗孵育、洗涤和检测等操作。
2. 免疫染色:
可以使用信裕生物生产的免疫染色一抗稀释液(P0103)稀释抗体,使用后注意回收稀释好的一抗,
3. 其它实验操作请自行参考适当的protocol进行。
4. 代表性图片:
![]() |
![]() |
| Fig. 1. Western blot analysis of extracts of mouse kidney, using TNFSF10 antibody at 1:1000 dilution. Secondary antibody: HRP-labeled Goat Anti-Rabbit IgG(H+L) (A0208) at 1:1000 dilution. Lysates/proteins: 25µg per lane. Blocking buffer: QuickBlock™ Blocking Buffer (P0231). Detection: BeyoECL Star (P0018A). Exposure time:1s. | Fig. 2. Western blot analysis of extracts of various cell lines, using TNFSF10 antibody at 1:1000 dilution. Secondary antibody: HRP-labeled Goat Anti-Rabbit IgG(H+L) (A0208) at 1:1000 dilution. Lysates/proteins: 25µg per lane. Blocking buffer: QuickBlock™ Blocking Buffer (P0231). Detection: BeyoECL Star (P0018A). Exposure time:1s. |
![]() |
![]() |
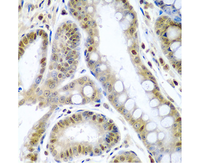
| Fig. 3. Immunohistochemistry of paraffin-embedded human colon carcinoma using TNFSF10 antibody at dilution of 1:200 (40x lens). | Fig. 4. Immunohistochemistry of paraffin-embedded human prostate using TNFSF10 antibody at dilution of 1:200 (40x lens). |
风险提示:丁香通仅作为第三方平台,为商家信息发布提供平台空间。用户咨询产品时请注意保护个人信息及财产安全,合理判断,谨慎选购商品,商家和用户对交易行为负责。对于医疗器械类产品,请先查证核实企业经营资质和医疗器械产品注册证情况。
- 作者
- 内容
- 询问日期
技术资料暂无技术资料 索取技术资料









