相关产品推荐更多 >
万千商家帮你免费找货
0 人在求购买到急需产品
- 详细信息
- 技术资料
- 供应商:
上海信裕生物科技有限公司
- 库存:
50
- 英文名:
伊红染色液
- 规格:
100ml
信裕生物生产的伊红染色液(Eosin Staining Solution)操作简单,不使用汞、甲醇等有毒试剂,可以用于组织切片或培养细胞的染色。
伊红(eosin)是一种化学合成的酸性染料,在水中解离成带负电荷的阴离子,可以和蛋白质氨基上带正电荷的阳离子结合,从而使细胞胞浆染成不同程度的红色或粉红色,与苏木素染色液染色形成的蓝色细胞核形成鲜明对比,从而使苏木素伊红(HE)染色成为病理组织切片中最广泛使用的一种常规染色方法。
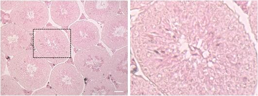
本伊红染色液染色后细胞浆呈粉红色或红色,本产品用于石蜡切片染色的效果图参考图1。
图1. 本产品用于小鼠睾丸石蜡切片的染色效果图。右图为左图局部放大图片。图中可见非常清晰的细胞浆着色。本图仅作参考,不同的样品不同的检测条件,实际获得的结果可能有所差别。Scale bar, 100μm。
本染色液可以重复使用,直至认为效果不佳时再换用新的染色液。一个包装的本染色液至少可以染色200个样品。
包装清单:
| 产品编号 | 产品名称 | 包装 |
| XY-0109 | 伊红染色液 | 100ml |
| — | 说明书 | 1份 |
保存条件:
室温保存,至少一年有效。
注意事项:
染色液可以重复使用多次,认为效果不佳时再更换新的染色液。
样品数量很多时,可以使用信裕生物生产的染色架和染色缸,便于操作。
第一次使用本试剂盒时建议先取1-2个样品做预实验。
本产品仅限于专业人员的科学研究用,不得用于临床诊断或治疗,不得用于食品或药品,不得存放于普通住宅内。
为了您的安全和健康,请穿实验服并戴一次性手套操作。
使用说明:
1. 需要用户自己准备的试剂
a. 固定液:信裕生物的免疫染色固定液(P0098),或4%固定液(P0099)。
b. 分化液(信裕生物的盐酸乙醇分化液(C0161、C0163、C0165)或5%的乙酸溶液或0.5%的盐酸乙醇);
c. 如果需要脱水、透明和封片处理,还需自备二甲苯,和封片剂(如信裕生物的C0185 PVP封片液、P0126 抗荧光淬灭封片液或中性树胶等其它封片剂),及80%乙醇、90%乙醇、无水乙醇;
d. 70%乙醇。
2. 样品处理
a. 对于石蜡切片:
二甲苯中脱蜡5-10分钟。
换用新鲜的二甲苯,再脱蜡5-10分钟。
无水乙醇5分钟。
90%乙醇2分钟。
80%乙醇2分钟
70%乙醇2分钟。
蒸馏水2分钟。
b. 对于冰冻切片:
固定液固定10分钟以上。
蒸馏水2分钟。
c. 对于培养细胞:
固定液固定10分钟以上。
蒸馏水洗涤2分钟。
换用新鲜的蒸馏水,再洗涤2分钟。
3. 伊红染色
对于上述处理好的样品:
伊红染色液染色30秒-2分钟(可以根据染色结果和要求调整时间)。
此时,如果需要直接观察,可以用70%乙醇洗涤2次。如需脱水、透明后封片按后续步骤进行,70%乙醇洗涤后仍可按照后续步骤进行脱水、透明和封片处理。
注:如果用于免疫组化等染色后的复染,可以参考上述步骤在其它染色完成后直接进行伊红染色。
4. 脱水、透明、封片或进行其它染色
a. 脱水、透明、封片:
70%乙醇10秒,80%乙醇10秒,90%乙醇10秒,无水乙醇10秒。
二甲苯透明5分钟。
换用新鲜的二甲苯,再透明5分钟。
用中性树胶或其它封片剂封片。
显微镜下观察,细胞浆呈粉红色或红色。
b. 进行其它染色:
如果进行免疫荧光染色,或进行Hoechst等荧光染料的染色,在伊红染色液染色后:
70%乙醇洗涤2次,每次2分钟。
PBS或生理盐水或TBS或TBST等用于免疫染色或荧光染料染色的溶液浸泡5分钟。
然后就可以进行免疫荧光染色或其它荧光染料的染色了。如果免疫荧光染色效果不佳,可能染料对抗体结合有影响,请单独染色。
风险提示:丁香通仅作为第三方平台,为商家信息发布提供平台空间。用户咨询产品时请注意保护个人信息及财产安全,合理判断,谨慎选购商品,商家和用户对交易行为负责。对于医疗器械类产品,请先查证核实企业经营资质和医疗器械产品注册证情况。
技术资料暂无技术资料 索取技术资料









