相关产品推荐更多 >
万千商家帮你免费找货
0 人在求购买到急需产品
- 详细信息
- 询价记录
- 文献和实验
- 技术资料
- 提供商:
北京永欣康泰科技发展有限公司
- 服务名称:
大小鼠心肌肥厚模型
一、腹主动脉缩窄致心肌肥厚模型
A:实验动物:
C57小鼠、 SD大鼠、 雄性 8-10周龄
B:手术方法:
1) 术前称重,应用小动物呼吸麻醉机将动物麻醉,待动物出现角膜反射消失、肌力下降、软瘫等麻醉反应后,仰卧于手术板固定。
3) 脱毛膏除去腹部位置的毛发,并用酒精贴布消毒。
4) 在略高于右肾动脉处进行腹主动脉暴露及分离,将6-0丝线穿过腹主动脉,并结扎在8号针头上,结扎后退出针头。造成腹主动脉环行缩窄,之后逐层缝合。术后镇痛,保温,密切观察动物状态。
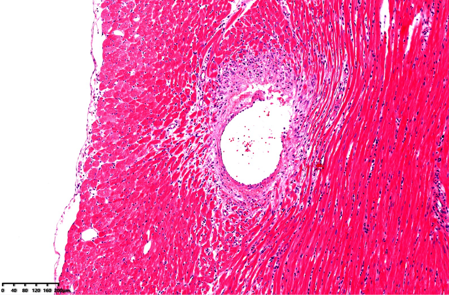
5) 经过超声心动图检测,发现在第4-5周末舒张期室壁厚度明显增加,表明造模成功。
C:评价方法:
超声
心脏组织病理
心室内测压


二、缩窄主动脉弓致心脏肥厚模型
A:实验动物:
(1) SD大鼠 雄性 4-6周龄
(2) C57小鼠 雄性 8-10周龄
B:手术方法:
1) 术前称重,应用小动物麻醉机将动物麻醉,待动物出现角膜反射消失、肌力下降、软瘫等麻醉反应后,仰卧于手术板固定。
2) 经口腔对大鼠行气管插管后连接上呼吸机。呼吸机参数设定:呼吸频率105-110 次/分钟,潮气量2-3 毫升/分钟。
3) 脱毛膏除去第二、三肋骨位置的毛发,并用酒精贴布消毒。
4) 沿胸骨左缘剪开皮肤,逐层分离皮下组织,沿胸骨左侧的第二肋骨处剪断第二肋骨,剥离暴露出升主动脉。
5) 在主动脉凸侧分支的第一和第二分支之间,将6-0丝线穿过主动脉弓并将特制的光滑不锈钢圆管沿主动脉方向与分离的主动脉弓一起 结扎,随即小心拔除该圆管,造成升主动脉环行缩窄,之后逐层缝合。
6) 术后镇痛,保温,密切观察动物状态。
C:评价方法:
超声心功能评价
病理切片
心室内测压手术

检测平台
| 服务项目 | 服务承诺 | 服务周期 | 样本种类 |
| 病理切片、免疫组化 | 染色结果照片 | 2-3周 | 组织 |
| Western blotting | 胶片 | 1-2周 | 蛋白样本或组织 |
| 流式细胞服务 | 散点图、分析数据、设备信息等 | 1-2周 | 血样、骨髓等 |
| 细胞凋亡检测 | 凋亡图、数据分析 | 细胞 | |
| RT-PCR | 扩增图 | 1-2周 | RNA或组织 |
| 血压监测(无创式) | 实时血压数据 | 大、小鼠 |
备注:以上只是常规制备的动物模型种类,如果有其他动物模型制备的需求,也可以按照方案进行定制

动物模型更新速度较慢,如店铺内模型为满足您的科研需求,请扫描二维码联系我们,定制专属服务动物模型
风险提示:丁香通仅作为第三方平台,为商家信息发布提供平台空间。用户咨询产品时请注意保护个人信息及财产安全,合理判断,谨慎选购商品,商家和用户对交易行为负责。对于医疗器械类产品,请先查证核实企业经营资质和医疗器械产品注册证情况。
- 作者
- 内容
- 询问日期
文献和实验刘梦迪,张连峰,吕 丹.心肌肥厚动物模型及代偿机制研究进展[J].中国比较医学杂志,2020,30(8):102~106.
模型 动物 模型成功率 操作难度 耗时程度 糖尿病模型 STZ诱导I型糖尿病 高脂高糖诱导II糖尿病 Ob/ob和db/db模型鼠 大小鼠 80% 简单 耗时 荷瘤鼠/裸鼠 皮下成瘤 大小鼠 90% 简单 一般 肥胖症模型 高脂高糖诱导 Ob/ob和db/db模型鼠 大小鼠 80%-90% 简单
类风湿性关节炎(rheumatoid arthritis,RA)是一种慢性、对称性、多关节病变为特征的自身免疫性疾病,主要表现为滑膜炎、软骨及骨破坏[1]。据统计,RA 每年的全球患病率为 0.5%-1%,其中女性患者多发于男性[2]。 图片来源:图虫创意 RA 发病机制尚不完全清楚,实验动物模型作为类风湿关节炎研究的重要载体,能在一定程度上模拟人类疾病,因此,选择合适的动物模型对于研究 RA 的发病机制、开发新药及制定防治方案等具有重要意义。目前,RA 动物模型主要使用啮齿类大小鼠,其优势
发展现状 骨缺损是由于严重创伤、感染、骨肿瘤切除及各种先天性疾病等原因导致的骨结构完整性破坏,是目前骨科疾病领域一大挑战。兔构建骨缺损模型是目前骨组织工程学研究的常用方法。与大小鼠等啮齿类动物不同,兔具有与人类相似的骨骼哈弗氏系统,骨架大小适中,便于手术操作,且相对于犬、小型猪等大动物成本低。 下面介绍骨缺损模型构建方法及要点: 一、实验动物选择: 实验兔年龄的选择是后期骨缺损愈合状况的一个重要因素。新西兰兔在18~20周龄时达到青春期,20周以后骨骼基本停止生长。目前大多











