相关产品推荐更多 >
万千商家帮你免费找货
0 人在求购买到急需产品
- 详细信息
- 文献和实验
- 技术资料
- 免疫原:
KLH conjugated synthetic peptide derived from human metallothionein (15-55 a.a.).
- 亚型:
IgG
- 形态:
Liquid
- 保存条件:
Store as concentrated solution. Centrifuge briefly prior to opening vial. For short-term storage (1-2 weeks), store at 4ºC. For long-term storage, aliquot and store at -20ºC or below. Avoid multiple freeze-thaw cycles.
- 克隆性:
Polyclonal
- 标记物:
Unconjugated
- 适应物种:
Mouse, Rat
- 保质期:
12 months from the shipping date of the product.
- 抗原来源:
Human
- 目录编号:
GTX00824
- 级别:
Primary Antibodies
- 库存:
Available
- 供应商:
GeneTex
- 宿主:
Rabbit
- 应用范围:
WB, IHC-P
- 浓度:
1 mg/ml (Please refer to the vial label for the specific concentration.)
- 靶点:
Metallothionein
- 抗体英文名:
Metallothionein antibody
- 抗体名:
Metallothionein 抗体
- 规格:
100 μl
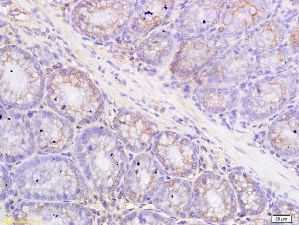
IHC-P analysis of mouse colon tissue using GTX00824 Metallothionein antibody.
Dilution : 1:200
WB analysis of various sample lysates using GTX00824 Metallothionein antibody.
Lane 1 : Rat kidney
Lane 2 : Rat Brain
Dilution : 1:200
风险提示:丁香通仅作为第三方平台,为商家信息发布提供平台空间。用户咨询产品时请注意保护个人信息及财产安全,合理判断,谨慎选购商品,商家和用户对交易行为负责。对于医疗器械类产品,请先查证核实企业经营资质和医疗器械产品注册证情况。
文献和实验Quantification of Oxidized Metallothionein by a Cd-Saturation Method
One of the most prominent characteristics of metallothionein (MT) is its high cysteine content of 30%. The sulfhydryl groups, normally involved in metal binding, render the protein particularly sensitive towards oxidation. Oxidation
Metallothionein Determination by Isocratic HPLC with Fluorescence Derivatization
Metallothionein (MT) is reported as having an intensive affinity to a number of heavy metal ions such as Zn2+ , Cd2+ , Cu2+ , and Hg2+ , which suggests a relation with zinc and copper homeostasis (1 ). The structural uniqueness of MT
Generation of Antibody Molecules Through Antibody Engineering
been overcome to a large extent using genetic-engineering techniques to produce chimeric mouse/human and completely human antibodies. Such an approach is particularly suitable because of the domain structure of the antibody molecule ( 2 ), where functional
技术资料暂无技术资料 索取技术资料





![Phosphothreonine antibody [18F6]](https://img1.dxycdn.com/2022/0328/770/3367034909398300453-14.jpg!wh200)

![CD80 antibody [MEM-233] (PE)](https://img1.dxycdn.com/2022/0329/472/4435777754626020453-14.jpg!wh200)
![SorLA antibody [7D7B11]](https://img1.dxycdn.com/2022/0328/966/5195611469577500453-14.jpg!wh200)
![Emerin antibody [4G5]](https://img1.dxycdn.com/2022/0328/583/1086152878428700453-14.png!wh200)

