相关产品推荐更多 >
万千商家帮你免费找货
0 人在求购买到急需产品
- 详细信息
- 文献和实验
- 技术资料
- 库存:
50
- 英文名:
Recombinant 16-Tag Protein
- 保质期:
一年
- 供应商:
上海信裕生物科技有限公司
- 保存条件:
-20℃或更低温度保存,至少一年有效。由于蛋白的每次冻融均会引起部分失活,所以首次配制成相应浓度的储存液后(请根据产品简介中Reconstitution一栏的信息配制储存液),须分装后-20℃或更低温度冻存,以避免反复冻融。
- 规格:
200μg;1mg
信裕生物生产的Recombinant 16-Tag Protein (重组16标签蛋白)是通过大肠杆菌表达的带有His、HA、AU1、T7、E、VSV-G、V5、AU5、S、HSV、FLAG、LUMINO、GluGlu、Myc、GST和EGFP共16种常见标签的大小为68.5kD的重组蛋白,可以被16种相应的标签抗体特异性识别,常用作16种标签中的任何一种标签融合表达蛋白的Western blot检测时的阳性对照。
本产品也常被称作多标签重组蛋白(Multiple-tag recombinant protein, multi-tag recombinant protein),Western标签蛋白阳性对照(Tag protein positive control for Western blot),标签蛋白标准(Tag protein marker/Tagged protein marker)或标签蛋白对照(Tag protein control/Tagged protein control)等。
本产品带有的标签从N端开始依次为His、HA、AU1、T7、E、VSV-G、V5、AU5、S、HSV、FLAG、LUMINO、GluGlu、Myc、GST以及EGFP。GST与EGFP标签分别含有218和239个氨基酸,可从PubMed等处查询到其对应的蛋白序列,其余各标签的氨基酸序列信息见下表。
| 标签名称 | 氨基酸序列 |
| His | HHHHHH |
| HA | YPYDVPDYA |
| AU1 | DTYRYI |
| T7 | MASMTGGQQMG |
| E | GAPVPYPDPLEPR |
| VSV-G | YTDIEMNRLGK |
| V5 | GKPIPNPLLGLDST |
| AU5 | TDFYLK |
| S | KETAAAKFERQHMDS |
| HSV | SQPELAPEDPED |
| FLAG | DYKDDDDK |
| LUMINO | CCPGCC |
| GluGlu | CEEEEYMPME |
| Myc | EQKLISEEDL |
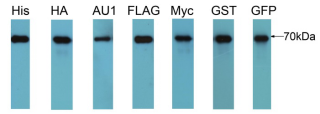
本产品已经配制在SDS-PAGE蛋白上样缓冲液(1X)中,浓度约为1ng/μl,室温融化后取约5μl直接上样,最后即可获得比较清晰的Western Blot检测条带。本产品经12% SDS-PAGE电泳后,使用信裕生物部分标签抗体的Western Blot检测效果如图1所示。
图1. 本产品使用信裕生物7种标签抗体的Western Blot检测结果图。Recombinant 16-Tag Protein上样量均为5μl,电泳结束后采用湿法电转膜,将样品转移至PVDF膜上;封闭后PVDF膜分别采用信裕生物生产的一抗产品His-tag抗体(小鼠单抗) (AH367)、HA抗体(小鼠单抗) (AH158)、AU1-tag Mouse Monoclonal Antibody (AF0051)、Flag抗体(小鼠单抗) (AF519)、Myc抗体(小鼠单抗) (AM926)、GST抗体(小鼠单抗) (AG768)与GFP抗体(小鼠单抗) (AG281)于4℃孵育过夜,洗涤后PVDF膜用辣根过氧化物酶标记山羊抗小鼠lgG(H+L)(A0216)孵育1h,一抗与二抗均使用相应稀释液按1:1000稀释后使用;最后发光检测时采用BeyoECL Star (P0018A),曝光时间为10秒。注意:使用不同的一抗、二抗和化学发光试剂,会有不同的检测灵敏度,最佳的上样量须在实际使用时适当调节。
包装清单:
| 产品编号 | 产品名称 | 包装 |
| XY-0059-200μl | Recombinant 16-Tag Protein | 200μl |
| — | 说明书 | 1份 |
保存条件:
-20℃保存,一年有效。避免过多的反复冻融,可以适当分装后-20℃保存。如果希望保存更长时间,可以适当分装后-80℃保存。
注意事项:
本产品如果过多地反复冻融,可能导致蛋白降解,从而影响最终的检测效果。
本产品仅限于专业人员的科学研究用,不得用于临床诊断或治疗,不得用于食品或药品,不得存放于普通住宅内。
为了您的安全和健康,请穿实验服并戴一次性手套操作。
使用说明:
1.进行Western blot实验时,本产品融化后直接取5μl作为阳性对照与待检测蛋白样品一起分别上样进行SDS-PAGE凝胶电泳。如果最后检测发现本产品检测出来的蛋白条带信号太强,可适当减少上样量或使用SDS-PAGE上样缓冲液(1X)将本产品适当稀释后使用。本产品已经经过煮沸处理,使用前无须煮沸,融化后即可直接使用。
2. 由于实际检测时使用的一抗、二抗和化学发光试剂会有所不同,检测灵敏度也会有所不同,最佳的上样量可以在实际使用时适当调节。
风险提示:丁香通仅作为第三方平台,为商家信息发布提供平台空间。用户咨询产品时请注意保护个人信息及财产安全,合理判断,谨慎选购商品,商家和用户对交易行为负责。对于医疗器械类产品,请先查证核实企业经营资质和医疗器械产品注册证情况。
文献和实验One-Step Purification of Recombinant Proteins with the 6xHis Tag and Ni-NTA Resin
The 6xHis/Ni-NTA system is a fast and versatile tool for the affinity purification of recombinant proteins and antigenic peptides. It is based on the high-affinity binding of six consecutive histidine residues (the 6xHis tag) to immobilized
Recombinant DNA Engineering, Or Cloning Genes In Plasmids
and thus fusion proteins. For example there might be sequence for a fluorescent protein such as GFP or a peptide tag such as HA upstream of MCS (and downstream of promoter) so that an insert in frame will lead to the generation of a fusion protein, an N-terminal
Recombinant Protein Production in Yeasts
Recombinant protein production is a multibillion-dollar market. The development of a new product begins with the choice of a production host. While one single perfect host for every protein does not exist, several expression systems ranging
技术资料暂无技术资料 索取技术资料








