相关产品推荐更多 >
万千商家帮你免费找货
0 人在求购买到急需产品
- 详细信息
- 文献和实验
- 技术资料
- 规格:
1支/瓶
| 产品编号 | 产品名称 | 产品包装 | 产品价格 |
| C6725 | PANC-1 (人胰腺癌细胞) | 1支/瓶 | 1209.00元 |
| Organism | Tissue | Morphology | Culture Properties |
| Homo sapiens (Human) | Pancreas/duct | Epithelial | Adherent |
本细胞株详细信息如下:
| General Information | |
| Cell Line Name | PANC-1 (Human Pancreatic Carcinoma Cells) |
| Synonyms | Panc-1; PANC.1; Panc 1; PanC1; Panc1; PANC1; Panc-1-P |
| Organism | Homo sapiens (Human) |
| Tissue | Pancreas/duct |
| Cell Type | - |
| Morphology | Epithelial |
| Disease | Epithelioid carcinoma |
| Strain | - |
| Biosafety Level* | 1 |
| Age at Sampling | 56 years |
| Gender | Male |
| Genetics | - |
| Ethnicity | Caucasian |
| Applications | This cell line is a suitable transfection host. |
| Category | Cancer cell line |
* Biosafety classification is based on U.S. Public Health Service Guidelines, it is the responsibility of the customer to ensure that their facilities comply with biosafety regulations for their own country.
| Characteristics | |
| Karyotype | Chromosome studies indicate a modal number of 63 with 3 distinct marker chromosomes and a small ring chromosome. This is a hypertriploid human cell line. The modal chromosome number was 61, occurring in 32% of cells., However, cells with 63 chromosomes also occurred at a high frequency (22%). The rate of cells with higher ploidies was 8.5%. |
| Virus Susceptibility | - |
| Derivation | - |
| Clinical Data | 56 years; Caucasian; male |
| Antigen Expression | - |
| Receptor Expression | - |
| Oncogene | - |
| Genes Expressed | - |
| Gene expression databases | ArrayExpress: E-MTAB-2706; E-MTAB-2770; GEO: GSM206532; GSM244423; GSM472938; GSM472939; GSM621900; GSM784698; GSM887501; GSM888583; GSM923421; GSM945246; GSM945261; GSM1024411; GSM1374806; GSM1374807; GSM1374808; GSM1435699; GSM1435700; GSM1435701; GSM1588613; GSM1588625; GSM3333104; GSM3333105; GSM3333108; GSM3333109 |
| Metastasis | - |
| Tumorigenic | - |
| Effects | - |
| Comments | Growth is inhibited by 1 unit/mL L-asparaginase. The cells will grow in soft agar. |
| Culture Method | |
| Doubling Time | 52 hrs |
| Methods for Passages | Wash by PBS once then 0.05% trypsin-EDTA solution and incubate at room temperature (or at 37ºC), observe cells under an inverted microscope until cell layer is dispersed (usually within 1 to 5 minutes) |
| Medium | 90% DMEM (high glucose)+10% FBS |
| Special Remarks | - |
| Medium Renewal | 2 to 3 times per week |
| Subcultivation Ratio | 1:2 to 1:4 |
| Growth Condition | 95% air + 5% CO2, 37ºC |
| Freeze medium | DMEM (high glucose)+20% FBS+10% DMSO,也可以订购碧云天的细胞冻存液(C0210)。 |
本细胞株经过支原体检测(Mycoplasma Test),检测结果为阴性。
本细胞株通过STR (short tandem repeats)鉴定,具体结果如下:
| AMEL | D16S539 | D7S820 |
![]() |
![]() |
![]() |
| D5S818 | THO1 | TPOX |
![]() |
![]() |
![]() |
| vWA | D13S317 | CSF1PO |
![]() |
![]() |
![]() |

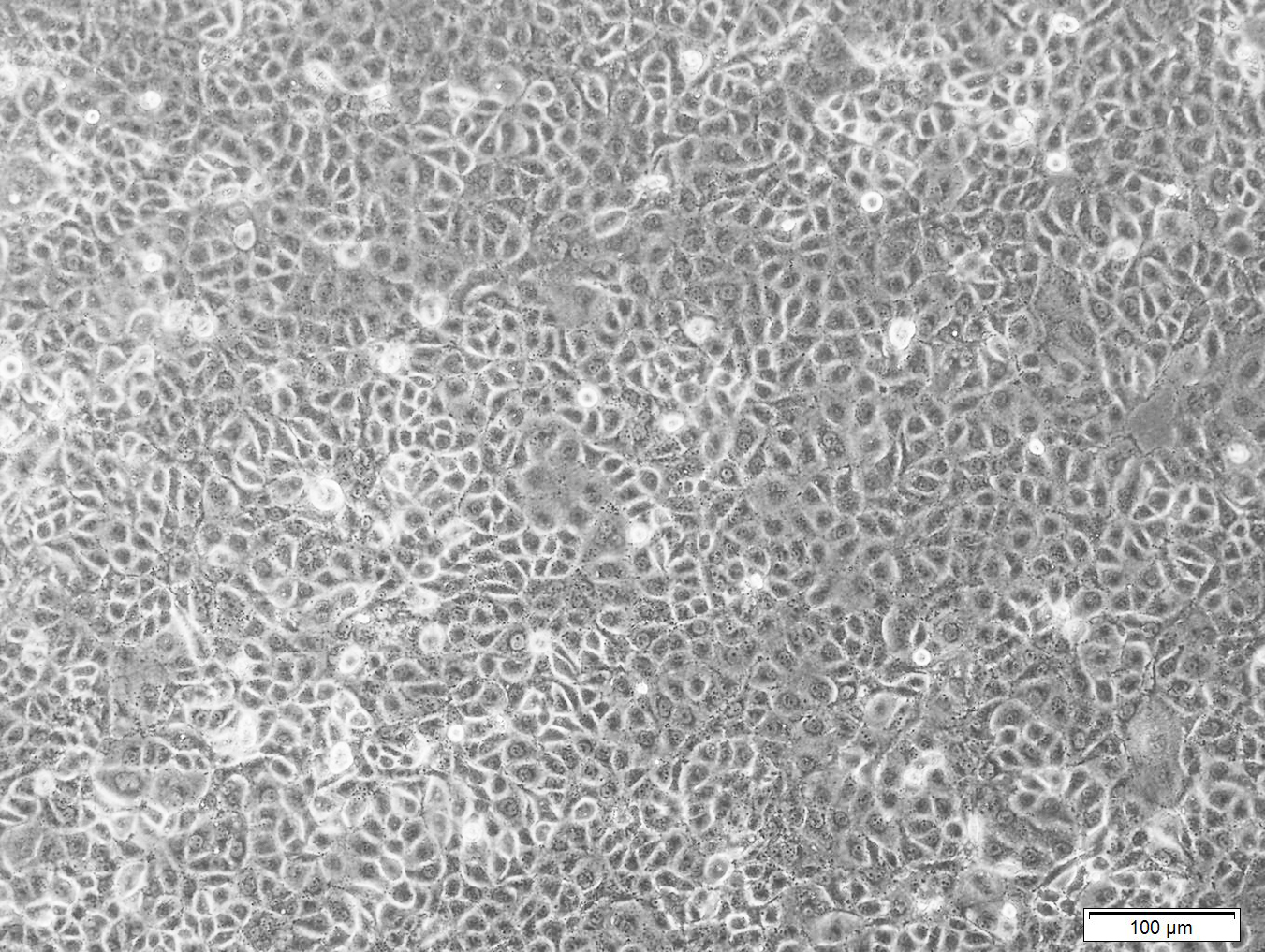
本细胞株的培养图片如下:
包装清单:
| 产品编号 | 产品名称 | 包装 |
| C6725 | PANC-1 (人胰腺癌细胞) | 1支/瓶 |
| — | 说明书 | 1份 |
保存条件:
对于细胞培养瓶或离心管运输的活细胞,室温3-5天有效。对于干冰运输的冻存细胞,液氮保存,长期有效;-80ºC保存,2个月有效。
注意事项:
本细胞株未经碧云天书面许可不得用于任何商业用途,也不得移交给订货人所在实验室外的任何个人或单位。使用者在发表研究论文或结果时,应注明细胞株的来源。
本细胞株相关资料参考ATCC (American Type Culture Collection)、DSMZ (German Collection of Microorganisms and Cell Cultures)、JCRB (Japanese Collection of Research Bioresources Cell Bank)、Cellosaurus (Swiss Institute of Bioinformatics)等网站信息,并结合碧云天实际培养信息综合而成。由于细胞培养的条件、代数等因素,实际细胞可能与本说明书提供的信息有一定的差异,具体以实际细胞为准。
STR结果可以与ATCC、DSMZ及中国国家实验细胞资源共享平台等网站的数据库进行比对,匹配度80%以上即可认为该细胞系正确。
本产品会根据细胞是否正在培养、目的地距离等因素确定运输方式:冷冻的细胞冻存管(干冰)、一小瓶贴壁培养的细胞或一小瓶/管悬浮培养的细胞(常温)。为了更好地耐受长途运输和环境温度等变化,对于正常贴壁培养的细胞,也可能会以悬浮的形式培养在细胞培养瓶或离心管中进行运输。
对于干冰运输的冻存细胞,若干冰已经完全融化,请立即将细胞复苏培养,切勿再次低温冻存;若尚留有干冰,请直接复苏培养或立即将含有细胞的冻存管放入液氮中保存待用,切不可将细胞置于高温环境。
收到冻存的细胞后请尽快复苏细胞进行培养,以确认细胞活力、状态并保种。如暂时不进行复苏操作,冻存细胞可在-80ºC条件下保存2个月。
每支冻存管约含1×106个细胞,体积为0.5-1ml,预期存活率60-90%,建议复苏至1个6cm培养皿中。如果复苏后存活率较低,可以消化后转移至3.5cm培养皿中,这样细胞生长会更好。
如果本产品是常温运输,并且是培养瓶中充满完全培养液的贴壁细胞,收到细胞后请在显微镜下观察细胞生长状态,如果细胞密度超过85%请尽快进行传代操作;如果悬浮的细胞较多,请将培养瓶置于培养箱中静置过夜以使悬浮的细胞再次贴壁。如果收到的是常温运输的离心管装的悬浮细胞,可以直接取出转移至培养皿或培养瓶中培养。若培养液颜色正常则保留培养液继续培养,并且在首次更换培养液时,保留一半原培养液,并加入一半新鲜培养液,这样可以尽量避免由于培养液或血清差异导致细胞生长的不适应,确保细胞良好的生长状态。
细胞培养请在生物安全柜台中进行操作,并严格遵守无菌操作。
请在培养液中加入适量青霉素-链霉素溶液以防止可能的细菌污染,如碧云天的青霉素-链霉素溶液(100X) (C0222)。
理论上永生化细胞可无限传代,但为了保证细胞的良好状态,建议最早培养的几代细胞就冻存一批,并每培养一段时间后复苏早期冻存的细胞进行培养。
接收、处理、保存、丢弃及使用细胞的时候要遵守相关法律法规,充分考虑可能存在的风险和责任,采取适当的安全和处理措施尽量降低对健康或环境的危害。
本产品仅限于专业人员的科学研究用,不得用于临床诊断或治疗,不得用于食品或药品,不得存放于普通住宅内。
为了您的安全和健康,请穿实验服并戴一次性手套操作。
风险提示:丁香通仅作为第三方平台,为商家信息发布提供平台空间。用户咨询产品时请注意保护个人信息及财产安全,合理判断,谨慎选购商品,商家和用户对交易行为负责。对于医疗器械类产品,请先查证核实企业经营资质和医疗器械产品注册证情况。
文献和实验目的 建立荷人胰腺癌裸小鼠模型,研究其生物学特性,观察8988 胰腺癌细胞株在移植前后的形态学变化。方法 将人胰腺癌细胞株8988 接种于裸鼠腋窝处皮下,每周测量肿瘤大小,第42d 处死小鼠。肿瘤组织及相关脏器送病理及电镜检查,放射免疫法检测相关抗原。皮下肿瘤组织细胞及细胞株培养,HE 染色。结果 肿瘤生长较快,成功率高,病理及电镜检查符合人胰腺癌细胞特征。肿瘤组织细胞及培养细胞形态学未见显著差异。结论 荷人胰腺癌细胞株8988 裸小鼠模型建立方法较简便,细胞形态无明显差异,且保持了人胰腺癌
细胞治疗是细胞和基因治疗的重要组成部分,它通过使用特定类型的细胞来修复、替换或调节受损的组织和器官。在细胞治疗中,不同类型的细胞因其独特的生物学特性而被广泛应用于多种疾病的治疗。以下是一些常用的细胞类型及其在细胞治疗中的应用。 (1)免疫细胞 免疫细胞是细胞治疗中最重要且研究最多的细胞类型之一,主要包括 T 细胞、自然杀伤细胞(NK 细胞)和树突状细胞(DC 细胞)。 T 细胞:T 细胞是人体免疫系统的核心细胞,具有强大的抗肿瘤能力。CAR-T 细胞疗法是目前最成功的免疫细胞治疗技术
简介 细胞增殖/细胞毒性测定是涉及培养细胞的研究中最常用的测试之一。 其是检查用于治疗的药物浓度的基本初步测试,也是确定各种研究领域(如肿瘤学和细胞死亡)药物疗效和安全性的非常重要的测试。 传统上,WST-8 或 ATP 检测(使用代谢活性作为指标)和 BrdU 或胸腺嘧啶核苷检测(使用 DNA 合成水平作为指标)已用于细胞生长特性的定量评估。 尽管这些检测由于其简易性和吞吐量而对我们有益,但这些检测都是间接评估方法,因此结果可能与实际细胞数无关。 在许多情况下,这些检测是终点评估,有时会
技术资料暂无技术资料 索取技术资料




















