相关产品推荐更多 >

5HT1F Receptor Rabbit pAb, Biotin conjugated(bs-12048R-Bio)-100ul
¥2980
NUMA1 Rabbit pAb, AP conjugated(bs-3512R-AP)-100ul
¥2980
SDHB Rabbit pAb, Cy5 conjugated(bs-6650R-Cy5)-100ul
¥2980
phospho-IKB alpha (Ser36) Rabbit pAb, PE-Cy5.5 conjugated(bs-18129R-PE-Cy5.5)-100ul
¥2980
SLC17A9 Rabbit pAb(bs-21203R)-50ul/100ul/200ul
¥1180
万千商家帮你免费找货
0 人在求购买到急需产品
- 详细信息
- 技术资料
- 应用范围:
产品信息以Bioss网站为准
- 规格:
3ml/6ml
| 规格: | 3ml | 产品价格: | ¥360.0 |
|---|---|---|---|
| 规格: | 6ml | 产品价格: | ¥640.0 |
| 产品编号 | BH0008 |
| 英文名称 | Cytokeratin 8(Ready to use) Mouse mAb |
| 中文名称 | 人细胞角蛋白8单克隆抗体(即用型) |
| 英文别名 | card2; Cardiac autoantigen 2 120kD; CK 8; CK8; CK-8; ck8; Cyk 8; cyk8; CYKER; Cytokeratin endo A; Cytokeratin-8; Cytokeratin8; DreK8; EndoA; k0; CYK8; k2c8; K2C8_HUMAN; k8; Keratin 8; Keratin type ii cytoskeletal 8; Keratin, type II cytoskeletal 8; Keratin-8; Keratin8; KO; Krt 2.8; Krt 8; krt8; KRT-8; MGC118110; MGC174782; MGC53564; MGC85764; sb:cb186; Type-II keratin Kb8. |
| 产品应用 | IHC-P, IHC-F, IF Not yet tested in other applications. |
| 交叉反应 | (Human) |
| 抗体来源 | Mouse |
| 免疫原 | KLH conjugated synthetic peptide derived from human Cytokeratin 8 |
| 亚型 | IgG |
| 性状 | Liquid |
| 纯化方法 | affinity purified by Protein A |
| 克隆类型 | Monoclonal |
| 理论分子量 | 53 kDa |
| 储存液 | 0.01M PBS (pH7.4) with 1% BSA and 0.02% Proclin300. |
| 研究领域 | Signal Transduction > Cytoskeleton / ECM > Cytoskeleton > Intermediate Filaments > Class I > Cytokeratins |
| 亚基 | Heterotetramer of two type I and two type II keratins. KRT8 associates with KRT18. Associates with KRT20. Interacts with HCV core protein and PNN. When associated with KRT19, interacts with DMD. Interacts with TCHP. Interacts with APEX1. |
| 亚细胞定位 | Cytoplasm. Nucleus, nucleoplasm. Nucleus matrix. |
| 组织特异性 | Observed in muscle fibers accumulating in the costameres of myoplasm at the sarcolemma membrane in structures that contain dystrophin and spectrin. Expressed in gingival mucosa and hard palate of the oral cavity. |
| 翻译后修饰 | Phosphorylation on serine residues is enhanced during EGF stimulation and mitosis. Ser-74 phosphorylation plays an important role in keratin filament reorganization.
O-glycosylated. O-GlcNAcylation at multiple sites increases solubility, and decreases stability by inducing proteasomal degradation. O-glycosylated (O-GlcNAcylated), in a cell cycle-dependent manner. |
| 相似性 | Belongs to the intermediate filament family. |
| 功能 | Together with KRT19, helps to link the contractile apparatus to dystrophin at the costameres of striated muscle. |
| 保存条件 | Store at 2-8℃ for one year. Avoid repeated freeze/thaw cycles. |
| 注意事项 | This product as supplied is intended for research use only, not for use in human, therapeutic or diagnostic applications. |
| 背景资料 | This gene is a member of the type II keratin family clustered on the long arm of chromosome 12. Type I and type II keratins heteropolymerize to form intermediate-sized filaments in the cytoplasm of epithelial cells. The product of this gene typically dimerizes with keratin 18 to form an intermediate filament in simple single-layered epithelial cells. This protein plays a role in maintaining cellular structural integrity and also functions in signal transduction and cellular differentiation. Mutations in this gene cause cryptogenic cirrhosis. Alternatively spliced transcript variants have been found for this gene. [provided by RefSeq, Jan 2012]. |
| 应用 | 推荐稀释比例 |

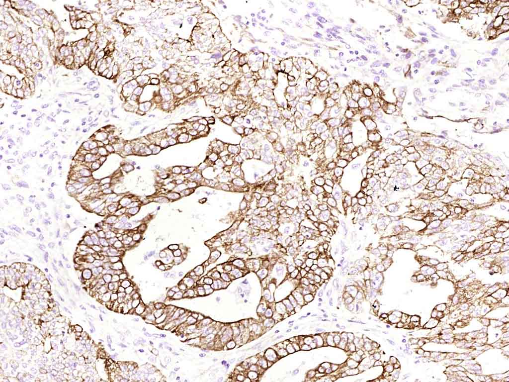
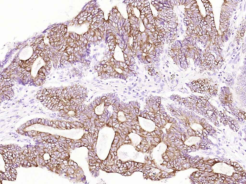
Paraformaldehyde-fixed, paraffin embedded (Ovarian tumor(cysticadenocarcinoma)); Antigen retrieval by boiling in sodium citrate buffer (pH6.0) for 15min; Block endogenous peroxidase by 3% hydrogen peroxide for 20 minutes; Blocking buffer (normal goat serum) at 37°C for 30min; Antibody incubation with (Cytokeratin 8(Ready to use)) Monoclonal Antibody, Unconjugated (BH0008) overnight at 4°C, followed by operating according to SP Kit(Mouse)(sp-0024) instructionsand DAB staining.

Paraformaldehyde-fixed, paraffin embedded (Human colon adenocarcinoma); Antigen retrieval by boiling in sodium citrate buffer (pH6.0) for 15min; Block endogenous peroxidase by 3% hydrogen peroxide for 20 minutes; Blocking buffer (normal goat serum) at 37°C for 30min; Antibody incubation with (Cytokeratin 8(Ready to use)) Monoclonal Antibody, Unconjugated (BH0008) overnight at 4°C, followed by operating according to SP Kit(Mouse)(sp-0024) instructionsand DAB staining.

Paraformaldehyde-fixed, paraffin embedded (Human Paratracheal lymph nodes
); Antigen retrieval by boiling in sodium citrate buffer (pH6.0) for 15min; Block endogenous peroxidase by 3% hydrogen peroxide for 20 minutes; Blocking buffer (normal goat serum) at 37°C for 30min; Antibody incubation with (Cytokeratin 8(Ready to use)) Monoclonal Antibody, Unconjugated (BH0008) overnight at 4°C, followed by operating according to SP Kit(Mouse)(sp-0024) instructionsand DAB staining.
风险提示:丁香通仅作为第三方平台,为商家信息发布提供平台空间。用户咨询产品时请注意保护个人信息及财产安全,合理判断,谨慎选购商品,商家和用户对交易行为负责。对于医疗器械类产品,请先查证核实企业经营资质和医疗器械产品注册证情况。
技术资料暂无技术资料 索取技术资料
Cytokeratin 8(Ready to use) Mouse mAb(BH0008)-3ml/6ml
¥360 - 640





