相关产品推荐更多 >

Anti-human PACAP38 (Lilly patent Anti-PACAP Biosimilar)(BIO0328SM)-1mg/5mg/20mg
¥3200
Ribonuclease Inhibitor Rabbit pAb, PE-Cy5 conjugated(bs-7518R-PE-Cy5)-100ul
¥2980
phospho-Estrogen Receptor alpha (Tyr537) Rabbit pAb(bs-1643R)-50ul/100ul/200ul
¥1180
PHEX Rabbit pAb, PE-Cy5.5 conjugated(bs-12313R-PE-Cy5.5)-100ul
¥2980
S100A7 Rabbit pAb, Cy5.5 conjugated(bs-6575R-Cy5.5)-100ul
¥2980
万千商家帮你免费找货
0 人在求购买到急需产品
- 详细信息
- 文献和实验
- 技术资料
- 应用范围:
产品信息以Bioss网站为准
- 规格:
50ul/100ul/200ul
| 规格: | 50ul | 产品价格: | ¥1180.0 |
|---|---|---|---|
| 规格: | 100ul | 产品价格: | ¥1980.0 |
| 规格: | 200ul | 产品价格: | ¥2800.0 |
| 产品编号 | bs-22170R |
| 英文名称 | BNC1 Rabbit pAb |
| 中文名称 | 碱性核蛋白1/锌指蛋白basonuclin抗体 |
| 英文别名 | basonuclin; basonuclin 1; basonuclin1; basonuclin-1; BNC; BNC1_HUMAN; BSN1; HsT19447; zinc finger protein basonuclin; Zinc finger protein basonuclin-1. |
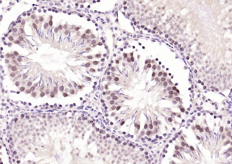
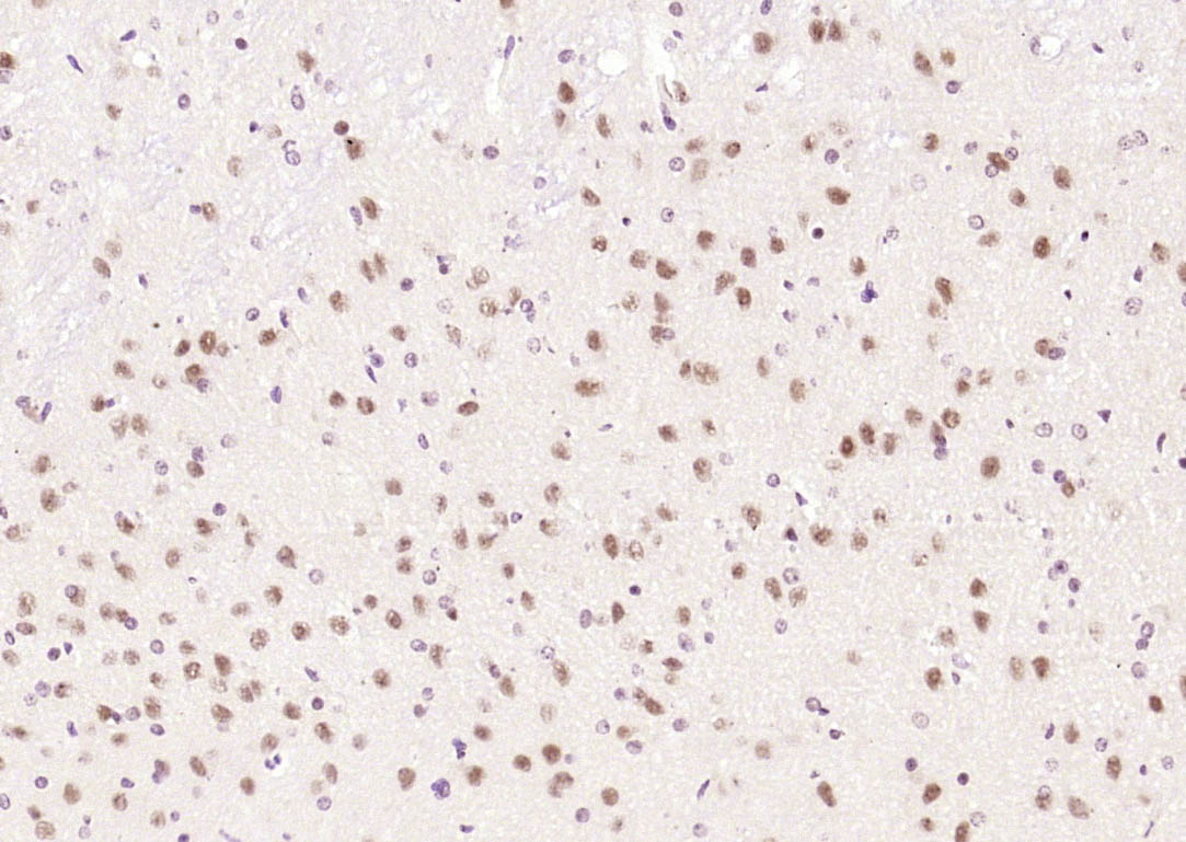
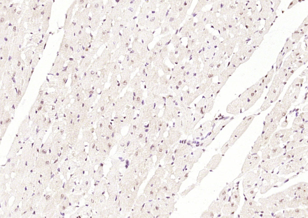
| 产品应用 | IHC-P=1:100-500, IHC-F=1:100-500, IF=1:100-500 Not yet tested in other applications. |
| 交叉反应 | Mouse, Rat (Human) |
| 抗体来源 | Rabbit |
| 免疫原 | KLH conjugated synthetic peptide derived from human BNC1 |
| 亚型 | IgG |
| 性状 | Liquid |
| 纯化方法 | affinity purified by Protein A |
| 克隆类型 | Polyclonal |
| 理论分子量 | 111 kDa |
| 浓度 | 1mg/ml |
| 储存液 | 0.01M TBS (pH7.4) with 1% BSA, 0.02% Proclin300 and 50% Glycerol. |
| 研究领域 | Cell Biology > Cell Cycle > Cell differentiation Epigenetics and Nuclear Signaling > Cell cycle > Cell Differentiation Epigenetics and Nuclear Signaling > Transcription > Domain Families > Zinc Finger Epigenetics and Nuclear Signaling > Transcription > Transcription Factors |
| 亚细胞定位 | Nucleus. Cytoplasm. Relocates to the midpiece of the flagellum during late spermiogenesis in spermatids. |
| 组织特异性 | Expressed in epidermis, testis and foreskin, and to a lower extent in thymus, spleen, mammary glands, placenta, brain and heart. |
| 翻译后修饰 | Phosphorylation on Ser-537 and Ser-541 leads to cytoplasmic localization. |
| 相似性 | Contains 6 C2H2-type zinc fingers. |
| 功能 | Likely to be a transcription factor specific for squamous epithelium and for the constituent keratinocytes at a stage either prior to or at the very beginning of terminal differentiation. May play a role in the differentiation of spermatozoa and oocytes. |
| 保存条件 | Shipped at 4℃. Store at -20℃ for one year. Avoid repeated freeze/thaw cycles. |
| 注意事项 | This product as supplied is intended for research use only, not for use in human, therapeutic or diagnostic applications. |
| 背景资料 | The zinc finger protein, basonuclin, is a putative rDNA transcription factor with highly restricted tissue distribution. Basonuclin is abundantly expressed in keratinocytes of the basal layer of the epidermis, the outer sheath of hair follicles and in the germ cells of the testis and ovary. Although basonuclin is associated with chromatin throughout the cell cycle, including mitosis, it disappears when cells become post-mitotic. In the epidermis, basonuclin, which is mainly localized to the cytoplasm, translocates to basal cell nuclei during different stages of keratinocyte growth. Basonuclin may enhance rRNA synthesis by elevating transcription from an rDNA promoter and inhibiting RNA polymerase I transcription through its zinc finger domain. Therefore, basonuclin may be a cell-type-specific transcription factor for rDNA transcription. |
| 应用 | 推荐稀释比例 |
| {IHC-P} | {1:100-500} |
| {IHC-F} | {1:100-500} |
| {IF} | {1:100-500} |



风险提示:丁香通仅作为第三方平台,为商家信息发布提供平台空间。用户咨询产品时请注意保护个人信息及财产安全,合理判断,谨慎选购商品,商家和用户对交易行为负责。对于医疗器械类产品,请先查证核实企业经营资质和医疗器械产品注册证情况。
文献和实验= NAL), appears to form upon oxidative cyclization of the nonfluorescent 2:1 lysine-HNE Michael adduct-Schiff base cross-link (Scheme 1). Polyclonal antibody (PAb) to the NAL-HNE fluorophore was raised in rabbit and found to be highly specific
GE Healthcare Benzamidine Sepharose™ 6B is p-aminobenzamidine covalently attached to Sepharose 6B by the epoxy coupling method. p-Aminobenzamidine (PAB), is a synthetic inhibitor of trypsin-like serine protease. Trypsin and trypsin
Nucleic Acid Programmable Protein Arrays: Versatile Tools for Array‐Based Functional Protein Studies
.g., Sigma) 50 mg/ml bis‐sulfosuccinimdylsuberate (BS3 ;Pierce, cat. no. PI 21580) in dimethylsulfoxide (DMSO) 5 mg/ml
技术资料暂无技术资料 索取技术资料





