相关产品推荐更多 >
万千商家帮你免费找货
0 人在求购买到急需产品
- 详细信息
- 文献和实验
- 技术资料
- 规格:
100ml/500ml
| 规格: | 100ml | 产品价格: | ¥210.0 |
|---|---|---|---|
| 规格: | 500ml | 产品价格: | ¥680.0 |
| 产品编号 | S0148 |
| 英文名称 | Cole's Hematoxylin stain |
| 中文名称 | Cole苏木素染色液 |
| 保存条件 | 室温保存,有效期24个月。 |
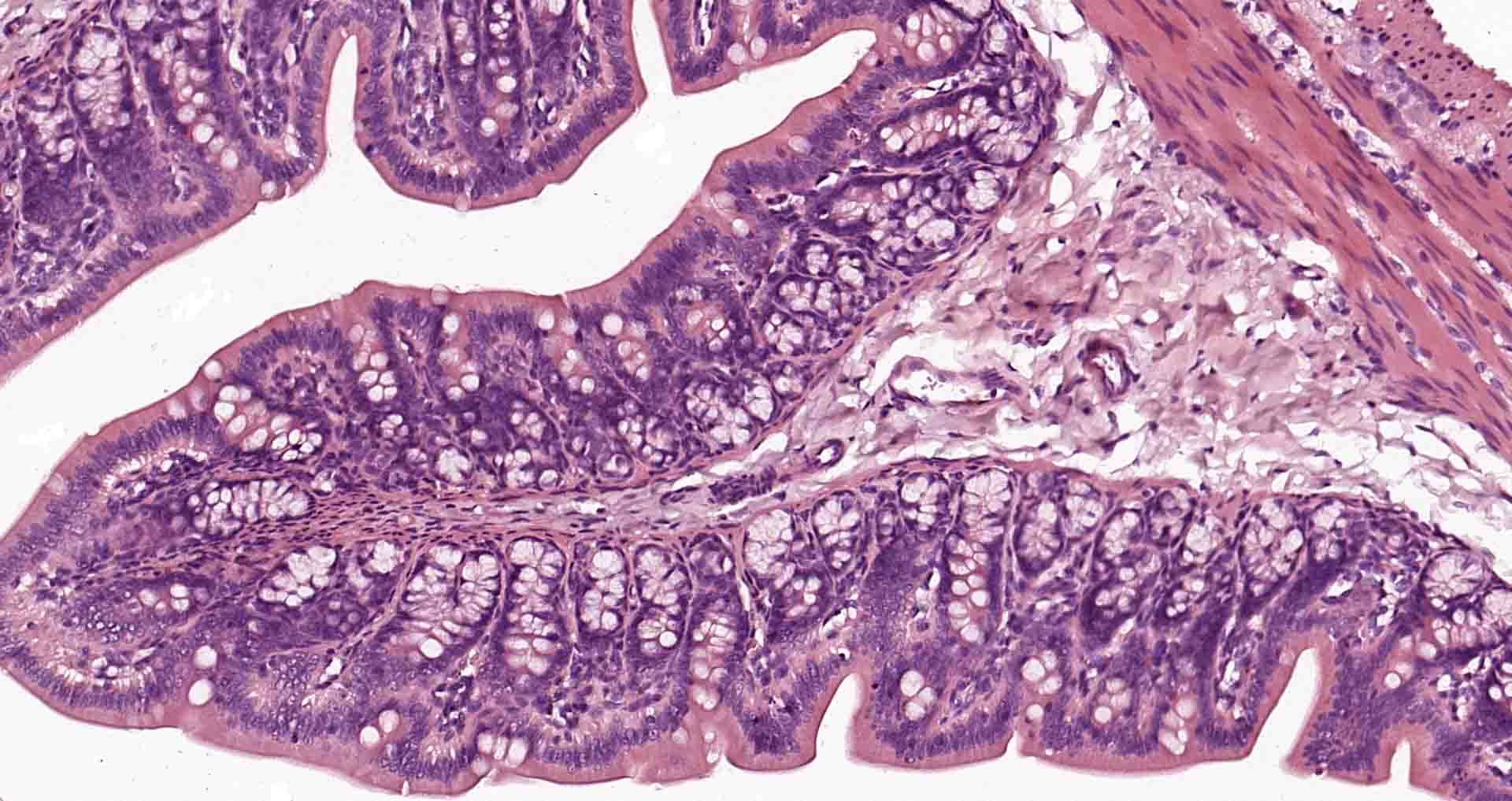
| 背景资料 | 苏木素(Hematoxylin)和伊红(Eosin)联合染色简称HE染色,是病理学和组织学最常用的一种染色方法。苏木素是组织化学和免疫组织化学中最常用的染料之一,广泛用于组织切片或培养细胞的染色。苏木精为碱性天然染料,可使细胞核着色。Cole苏木素染色液是一种化学氧化成熟的明矾苏木素,主要由苏木精、硫酸铝钾、甘油等组成。染色液中苏木精含量小,无氧化膜形成,对细胞核染色很清晰,不着染胞质和纤维成分,属进行性染色,故染色后可以不用盐酸乙醇分化,染色时间约5~10min,主要用于复染细胞核。本产品仅用于科研领域,不用于临床诊断。 |

风险提示:丁香通仅作为第三方平台,为商家信息发布提供平台空间。用户咨询产品时请注意保护个人信息及财产安全,合理判断,谨慎选购商品,商家和用户对交易行为负责。对于医疗器械类产品,请先查证核实企业经营资质和医疗器械产品注册证情况。
文献和实验Hematoxylin Stain Solutions Hematoxylin Hematoxylin 6.4g Ammonium alum 60g Ethanol 200ml Glycerol 160ml
x-S的质控图是检验主管技师考试要求掌握的内容,医学教育网搜集整理相关内容供大家参考。 后来Henry和Segalove对X-R质控图进行了修改,他们以20次质控物的单次测定结果,计算其x及标准差(s),以x±2S为警告限,以x±3S为失控限,这也就是现在广为应用的Levey—Jennings质控图,从质控图的体系来说,它属于单值质控图中的x-S质控图。这个质控图适用于质控数据取得需要较长周期或费用昂贵时,其方法比较简单,易于推广。实际上这两种质控图的检定力是不同的,原
Henry和Segalove对X-R质控图进行了修改,他们以20次质控物的单次测定结果,计算其x及标准差(s),以x±2S为警告限,以x±3S为失控限,这也就是现在广为应用的Levey-Jennings质控图,从质控图的体系来说,它属于单值质控图中的x-S质控图。这个质控图适用于质控数据取得需要较长周期或费用昂贵时,其方法比较简单,易于推广。实际上这两种质控图的检定力是不同的,原Levey-Jennings质控图优于用单次测定结果绘制的医学`教育网搜集整理质控图,且提供了更多的质量
技术资料暂无技术资料 索取技术资料







