相关产品推荐更多 >
万千商家帮你免费找货
0 人在求购买到急需产品
- 详细信息
- 技术资料
- 供应商:
上海钰博生物科技有限公司
- 库存:
5×105/T25
- 英文名:
人肝成纤维细胞
- 运输方式:
干冰运输
- 器官来源:
肝成纤维
- 物种来源:
人
- 组织来源:
肝成纤维
- 规格:
5×105/T25方瓶
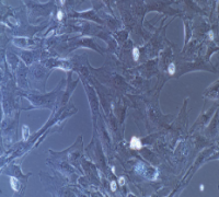
人肝成纤维细胞
细胞简介:
肝脏是身体内以代谢功能为主的一个器官,并在身体里面起着去氧化、储存肝糖、分泌性蛋白质的合成等作用。肝脏也制造消化系统中之胆汁。肝脏是尿素合成的主要器官,又是新陈代谢的重要器官。肝脏对来自体内和体外的许多非营养性物质如各种药物、毒物以及体内某些代谢产物,具有生物转化作用。通过新陈代谢将它们彻底分解或以原形排出体外。在肝中及外围有部分结缔组织,这些结缔组织是由成纤维细胞组成。
本公司生产的人肝成纤维细胞采用酶解法制备而来,细胞总量约为5×105/T25方瓶,波形蛋白(Vimentin)免疫荧光染色呈阳性,细胞纯度可达90%以上,且不含有HIV-1、 HBV、HCV、支原体、细菌、酵母和真菌等。
培养基信息:
我们推荐使用钰博生物研制的人肝成纤维细胞专用完全培养液(产品编号:YBH1006-5)作为体外培养人肝成纤维细胞的培养基。

风险提示:丁香通仅作为第三方平台,为商家信息发布提供平台空间。用户咨询产品时请注意保护个人信息及财产安全,合理判断,谨慎选购商品,商家和用户对交易行为负责。对于医疗器械类产品,请先查证核实企业经营资质和医疗器械产品注册证情况。
技术资料暂无技术资料 索取技术资料
人肝成纤维细胞
¥5660








