相关产品推荐更多 >
万千商家帮你免费找货
0 人在求购买到急需产品
- 详细信息
- 文献和实验
- 技术资料
- 免疫原:
A synthetic peptide corresponding to a sequence containing polyubiquitinated protein (K33 linkage).
- 形态:
liquid
- 保存条件:
Store at -20˚C
- 克隆性:
Polyclonal
- 适应物种:
Human;Mouse;Rat
- 保质期:
12 months
- 抗原来源:
Rabbit
- 供应商:
南京赛戈巍生物科技有限公司
- 宿主:
Rabbit
- 应用范围:
WB
- 靶点:
Uniprot:P0CG47/P0CG48/P62979/P62987/P62988
- 抗体英文名:
K33-linkage Specific Polyubiquitin pAb
- 规格:
50ul/100ul
配方:PBS with 0.02% sodium azide,50% glycerol,pH7.3.
应用详情:WB 1:500 - 1:2000
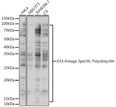
图片:

Western blot analysis of extracts of various cell lines, using K33-linkage Specific Polyubiquitin Rabbit pAb.
风险提示:丁香通仅作为第三方平台,为商家信息发布提供平台空间。用户咨询产品时请注意保护个人信息及财产安全,合理判断,谨慎选购商品,商家和用户对交易行为负责。对于医疗器械类产品,请先查证核实企业经营资质和医疗器械产品注册证情况。
文献和实验LINKAGE Programs: Linkage Analysis for Monogenic Cardiovascular Diseases
to positional cloning of some specific molecular determinants that co-segregate with disease phenotypes in the isolated samples (e.g., large and multiplex impaired pedigrees). This chapter describes model-based human genetic linkage analysis as implemented
Model-Free Linkage Analysis of a Binary Trait
Genetic linkage analysis aims to detect chromosomal regions containing genes that influence risk of specific inherited diseases. The presence of linkage is indicated when a disease or trait cosegregates through the families with genetic
Model-Based Linkage Analysis of a Binary Trait
Linkage analysis is a statistical genetics method to localize disease and trait genes to specific chromosome regions. The analysis requires pedigrees with members who vary among each other in the trait of interest and who have been genotyped
技术资料暂无技术资料 索取技术资料





![RTN4IP1 Antibody[46663]](https://img1.dxycdn.com/p/s14/2025/0923/496/0462304380155040791.jpg!wh200)
![MPP7 Polyclonal Antibody[29901]](https://img1.dxycdn.com/p/s14/2025/0923/305/2150219664296040791.jpg!wh200)
![CD4 Antibody[35486]](https://img1.dxycdn.com/p/s14/2025/0922/359/6146153295428599691.jpg!wh200)
![RPAP3 Conjugated Antibody[C35926]](https://img1.dxycdn.com/p/s14/2025/0923/278/4431488150116040791.jpg!wh200)
