相关产品推荐更多 >
万千商家帮你免费找货
0 人在求购买到急需产品
- 详细信息
- 技术资料
- 免疫原:
Recombinant fusion protein of human SELP (NP_002996.2).
- 形态:
liquid
- 保存条件:
Store at -20˚C
- 克隆性:
Polyclonal
- 适应物种:
Human;Rat
- 保质期:
12 months
- 抗原来源:
Rabbit
- 供应商:
南京赛戈巍生物科技有限公司
- 宿主:
Rabbit
- 应用范围:
WB,IHC
- 靶点:
Uniprot:P16109
- 抗体英文名:
SELP Polyclonal Antibody
- 规格:
50ul/100ul
别名:SELP; CD62; CD62P; GMP140; GRMP; LECAM3; PADGEM; PSEL; P-selectin
计算分子量:115kDa
配方:Avoid freeze / thaw cycles.|Buffer: PBS with 50% glycerol, pH7.4.
应用详情:WB 1:500 - 1:2000
IHC 1:50 - 1:200
图片:
计算分子量:115kDa
配方:Avoid freeze / thaw cycles.|Buffer: PBS with 50% glycerol, pH7.4.
应用详情:WB 1:500 - 1:2000
IHC 1:50 - 1:200
图片:

Western blot analysis of extracts of various cell lines, using SELP antibody.
,

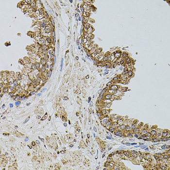
Immunohistochemistry of paraffin-embedded human prostate using SELP antibody.
,

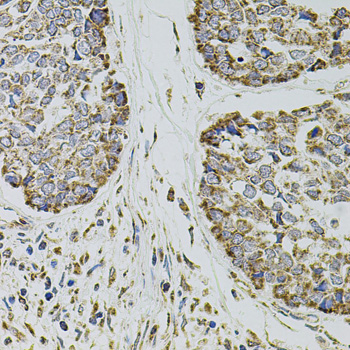
Immunohistochemistry of paraffin-embedded human esophageal cancer using SELP antibody.
,

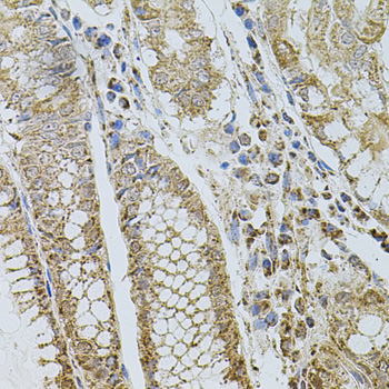
Immunohistochemistry of paraffin-embedded human stomach using SELP antibody.
风险提示:丁香通仅作为第三方平台,为商家信息发布提供平台空间。用户咨询产品时请注意保护个人信息及财产安全,合理判断,谨慎选购商品,商家和用户对交易行为负责。对于医疗器械类产品,请先查证核实企业经营资质和医疗器械产品注册证情况。
技术资料暂无技术资料 索取技术资料
SELP Polyclonal Antibody[28466]
询价


![SELP Polyclonal Antibody[28466]](https://img1.dxycdn.com/p/s14/2025/0923/305/2150219664296040791.jpg)


![ureB Polyclonal Antibody[42581]](https://img1.dxycdn.com/p/s14/2025/0922/568/0046652811090600791.jpg!wh200)
![TPH1 antibody[38257]](https://img1.dxycdn.com/p/s14/2025/0922/359/6146153295428599691.jpg!wh200)
![RAD23A Conjugated Antibody[C56693]](https://img1.dxycdn.com/p/s14/2025/0922/632/2321321568067599691.jpg!wh200)
![VCP Conjugated Antibody[C49469]](https://img1.dxycdn.com/p/s14/2025/0923/305/2150219664296040791.jpg!wh200)
