相关产品推荐更多 >
万千商家帮你免费找货
0 人在求购买到急需产品
- 详细信息
- 文献和实验
- 技术资料
- 免疫原:
Carrier-protein conjugated synthetic peptide encompassing a sequence within the center region of human Caspase 6 (cleaved Asp162). The exact sequence is proprietary.
- 亚型:
IgG
- 形态:
Liquid
- 保存条件:
Store as concentrated solution. Centrifuge briefly prior to opening vial. For short-term storage (1-2 weeks), store at 4ºC. For long-term storage, aliquot and store at -20ºC or below. Avoid multiple freeze-thaw cycles.
- 克隆性:
Polyclonal
- 标记物:
Unconjugated
- 适应物种:
Human, Mouse, Rat
- 保质期:
12 months from the shipping date of the product.
- 抗原来源:
Human
- 目录编号:
GTX134362
- 级别:
Primary Antibodies
- 库存:
Available
- 供应商:
GeneTex
- 宿主:
Rabbit
- 应用范围:
WB, IHC-P
- 浓度:
1.2 mg/ml (Please refer to the vial label for the specific concentration.)
- 靶点:
Caspase 6 (cleaved Asp162)
- 抗体英文名:
Caspase 6 (cleaved Asp162) antibody
- 抗体名:
Caspase 6 (cleaved Asp162) 抗体
- 规格:
100 μl/25 μl
| 规格: | 100 μl | 产品价格: | ¥4000.0 |
|---|---|---|---|
| 规格: | 25 μl | 产品价格: | ¥1700.0 |
Untreated (–) and treated (+) Jurkat whole cell extracts (30 μg) were separated by 12% SDS-PAGE, and the membrane was blotted with Caspase 6 (cleaved Asp162) antibody (GTX134362) diluted at 1:1000. The HRP-conjugated anti-rabbit IgG antibody (GTX213110-01) was used to detect the primary antibody, and the signal was developed with Trident ECL plus-Enhanced.
Caspase 6 (cleaved Asp162) antibody detects Caspase 6 (cleaved Asp162) protein at cytoplasm by immunohistochemical analysis.
Sample: Paraffin-embedded mouse liver.
Caspase 6 (cleaved Asp162) stained by Caspase 6 (cleaved Asp162) antibody (GTX134362) diluted at 1:1000.
Antigen Retrieval: Citrate buffer, pH 6.0, 15 min
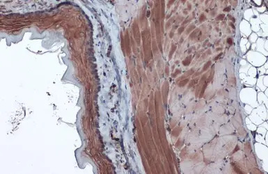
Caspase 6 (cleaved Asp162) antibody detects Caspase 6 (cleaved Asp162) protein at cytoplasm by immunohistochemical analysis.
Sample: Paraffin-embedded rat esophagus.
Caspase 6 (cleaved Asp162) stained by Caspase 6 (cleaved Asp162) antibody (GTX134362) diluted at 1:1000.
Antigen Retrieval: Citrate buffer, pH 6.0, 15 min
风险提示:丁香通仅作为第三方平台,为商家信息发布提供平台空间。用户咨询产品时请注意保护个人信息及财产安全,合理判断,谨慎选购商品,商家和用户对交易行为负责。对于医疗器械类产品,请先查证核实企业经营资质和医疗器械产品注册证情况。
文献和实验【求助】caspase-3抗体与激活型caspase-3抗体
环佩从容 要做下一步实验啦,这两个抗体选哪个呀,目前研究有没有区分哪一个更好点啊 ronaldo_zj 楼主您好。 1. 楼主需要知道Pro caspase-3以及Cleaved caspase-3的功能以及检测手段,不是说哪个好那个不好的问题,而是根据你的课题需要检测何种片段的问题。请楼主先具体查阅关于caspase活化的文献后再定好实验计划; 2. 目前多数研究均认为Cleaved
或 C6 cells 作为 cleaved caspase-3 的阳性参照。更多靶点的阳性对照,请登陆CST网站——研究——靶标的阳性对照处理。图二 蛋白质印迹分析(图源自CST Caspase-3 Antibody #9662 抗体说明书)为什么所有的实验都要设置对照?无论是初高中刚接触生物学实验设计还是上研究生后发表 SCI 文章,老师们以及 reviewer 都会敲着「黑板」强调强调再强调,每一个实验都必须有对照!因为设置适当的阴性、阳性甚至空白对照对于实验结果的准确、有效阐释至关重要!阅历丰富
Neoepitope Antibodies Against MMP-Cleaved and Aggrecanase-Cleaved Aggrecan
in studies determining the contribution of matrix metalloproteinases (MMPs) and aggrecanases to aggrecanolysis. In particular, an antibody to the A374 RGSV N terminus was instrumental in the landmark discovery of the aggrecanases, ADAMTS-4 and ADAMTS-5
技术资料暂无技术资料 索取技术资料







![Prostaglandin E Receptor EP2 antibody [GT1308]](https://img1.dxycdn.com/2022/0328/915/6535858889140800453-14.jpg!wh200)

![eNOS (phospho Ser1177) antibody [BDI250]](https://img1.dxycdn.com/2022/0328/073/2576206382234400453-14.jpg!wh200)

