相关产品推荐更多 >
万千商家帮你免费找货
0 人在求购买到急需产品
- 详细信息
- 技术资料
- 供应商:
江西江蓝纯生物试剂有限公司
- 库存:
41
- 克隆性:
单克隆
- 保质期:
1年
- 抗体英文名:
Ubiquitin
- 抗体名:
泛素蛋白单克隆抗体
- 适应物种:
人/动物/植物
- 应用范围:
WB,ELISA等
- 浓度:
1mg/ml
- 保存条件:
-20 °
- 规格:
50ul/100ul
| 规格: | 50ul | 产品价格: | ¥860.0 |
|---|---|---|---|
| 规格: | 100ul | 产品价格: | ¥1580.0 |
产品货号 : jlcR33443
英文名称 : Ubiquitin
中文名称 : 泛素蛋白单克隆抗体
别 名 : FLJ25987; MGC8385; RPS27A; RPS 27A; UBA52; UBA 52; UBA80; UBA 80; UBB; UBC; UB; UBCEP1; UBCEP2; UBCEP 1; UBCEP 2; UBCEP-1; UBCEP-2; Ubiquitin; ubiquitin B; UBC_HUMAN; UBB_HUMAN; RS27A_HUMAN; HMG20; Ubiquitin carboxyl extension protein 80; Ubiquitin; Polyubiquitin-C; Polyubiquitin-B.
研究领域 : 肿瘤 细胞生物 神经生物学 细胞凋亡 泛素
抗体来源 : Mouse
克隆类型 : Monoclonal
克 隆 号 : 2A5
交叉反应 : Human, Mouse, Rat,
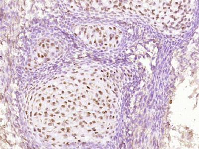
产品应用 : IHC-P=1:400-800 IHC-F=1:400-800 ICC=1:100-500 IF=1:100-500 (石蜡切片需做抗原修复)
not yet tested in other applications.
optimal dilutions/concentrations should be determined by the end user.
细胞定位 : 细胞核 细胞浆
性 状 : Lyophilized or Liquid
浓 度 : 1mg/ml
免 疫 原 : KLH conjugated synthetic peptide derived from human Ubiquitin:
亚 型 : IgG1
纯化方法 : affinity purified by Protein A
储 存 液 : 0.01M TBS(pH7.4) with 1% BSA, 0.03% Proclin300 and 50% Glycerol.
保存条件 : Store at -20 °C for one year. Avoid repeated freeze/thaw cycles. The lyophilized antibody is stable at room temperature for at least one month and for greater than a year when kept at -20°C. When reconstituted in sterile pH 7.4 0.01M PBS or diluent of antibody the antibody is stable for at least two weeks at 2-4 °C.
PubMed : PubMed
产品介绍 : This gene encodes ubiquitin, one of the most conserved proteins known. Ubiquitin has a major role in targeting cellular proteins for degradation by the 26S proteosome. It is also involved in the maintenance of chromatin structure, the regulation of gene expression, and the stress response. Ubiquitin is synthesized as a precursor protein consisting of either polyubiquitin chains or a single ubiquitin moiety fused to an unrelated protein. This gene consists of three direct repeats of the ubiquitin coding sequence with no spacer sequence. Consequently, the protein is expressed as a polyubiquitin precursor with a final amino acid after the last repeat. An aberrant form of this protein has been detected in patients with Alzheimer's disease and Down syndrome. Pseudogenes of this gene are located on chromosomes 1, 2, 13, and 17. Alternative splicing results in multiple transcript variants. [provided by RefSeq, Aug 2013]
Function:
Ubiquitin exists either covalently attached to another protein, or free (unanchored). When covalently bound, it is conjugated to target proteins via an isopeptide bond either as a monomer (monoubiquitin), a polymer linked via different Lys residues of the ubiquitin (polyubiquitin chains) or a linear polymer linked via the initiator Met of the ubiquitin (linear polyubiquitin chains). Polyubiquitin chains, when attached to a target protein, have different functions depending on the Lys residue of the ubiquitin that is linked: Lys-6-linked may be involved in DNA repair; Lys-11-linked is involved in ERAD (endoplasmic reticulum-associated degradation) and in cell-cycle regulation; Lys-29-linked is involved in lysosomal degradation; Lys-33-linked is involved in kinase modification; Lys-48-linked is involved in protein degradation via the proteasome; Lys-63-linked is involved in endocytosis, DNA-damage responses as well as in signaling processes leading to activation of the transcription factor NF-kappa-B. Linear polymer chains formed via attachment by the initiator Met lead to cell signaling. Ubiquitin is usually conjugated to Lys residues of target proteins, however, in rare cases, conjugation to Cys or Ser residues has been observed. When polyubiquitin is free (unanchored-polyubiquitin), it also has distinct roles, such as in activation of protein kinases, and in signaling.
Subcellular Location:
Cytoplasm. Nucleus.
Similarity:
Belongs to the ubiquitin family.
Contains 9 ubiquitin-like domains.
SWISS:
P0CG48
Gene ID:
7314
Important Note:
This product as supplied is intended for research use only, not for use in human, therapeutic or diagnostic applications.
产品图片
英文名称 : Ubiquitin
中文名称 : 泛素蛋白单克隆抗体
别 名 : FLJ25987; MGC8385; RPS27A; RPS 27A; UBA52; UBA 52; UBA80; UBA 80; UBB; UBC; UB; UBCEP1; UBCEP2; UBCEP 1; UBCEP 2; UBCEP-1; UBCEP-2; Ubiquitin; ubiquitin B; UBC_HUMAN; UBB_HUMAN; RS27A_HUMAN; HMG20; Ubiquitin carboxyl extension protein 80; Ubiquitin; Polyubiquitin-C; Polyubiquitin-B.
研究领域 : 肿瘤 细胞生物 神经生物学 细胞凋亡 泛素
抗体来源 : Mouse
克隆类型 : Monoclonal
克 隆 号 : 2A5
交叉反应 : Human, Mouse, Rat,
产品应用 : IHC-P=1:400-800 IHC-F=1:400-800 ICC=1:100-500 IF=1:100-500 (石蜡切片需做抗原修复)
not yet tested in other applications.
optimal dilutions/concentrations should be determined by the end user.
细胞定位 : 细胞核 细胞浆
性 状 : Lyophilized or Liquid
浓 度 : 1mg/ml
免 疫 原 : KLH conjugated synthetic peptide derived from human Ubiquitin:
亚 型 : IgG1
纯化方法 : affinity purified by Protein A
储 存 液 : 0.01M TBS(pH7.4) with 1% BSA, 0.03% Proclin300 and 50% Glycerol.
保存条件 : Store at -20 °C for one year. Avoid repeated freeze/thaw cycles. The lyophilized antibody is stable at room temperature for at least one month and for greater than a year when kept at -20°C. When reconstituted in sterile pH 7.4 0.01M PBS or diluent of antibody the antibody is stable for at least two weeks at 2-4 °C.
PubMed : PubMed
产品介绍 : This gene encodes ubiquitin, one of the most conserved proteins known. Ubiquitin has a major role in targeting cellular proteins for degradation by the 26S proteosome. It is also involved in the maintenance of chromatin structure, the regulation of gene expression, and the stress response. Ubiquitin is synthesized as a precursor protein consisting of either polyubiquitin chains or a single ubiquitin moiety fused to an unrelated protein. This gene consists of three direct repeats of the ubiquitin coding sequence with no spacer sequence. Consequently, the protein is expressed as a polyubiquitin precursor with a final amino acid after the last repeat. An aberrant form of this protein has been detected in patients with Alzheimer's disease and Down syndrome. Pseudogenes of this gene are located on chromosomes 1, 2, 13, and 17. Alternative splicing results in multiple transcript variants. [provided by RefSeq, Aug 2013]
Function:
Ubiquitin exists either covalently attached to another protein, or free (unanchored). When covalently bound, it is conjugated to target proteins via an isopeptide bond either as a monomer (monoubiquitin), a polymer linked via different Lys residues of the ubiquitin (polyubiquitin chains) or a linear polymer linked via the initiator Met of the ubiquitin (linear polyubiquitin chains). Polyubiquitin chains, when attached to a target protein, have different functions depending on the Lys residue of the ubiquitin that is linked: Lys-6-linked may be involved in DNA repair; Lys-11-linked is involved in ERAD (endoplasmic reticulum-associated degradation) and in cell-cycle regulation; Lys-29-linked is involved in lysosomal degradation; Lys-33-linked is involved in kinase modification; Lys-48-linked is involved in protein degradation via the proteasome; Lys-63-linked is involved in endocytosis, DNA-damage responses as well as in signaling processes leading to activation of the transcription factor NF-kappa-B. Linear polymer chains formed via attachment by the initiator Met lead to cell signaling. Ubiquitin is usually conjugated to Lys residues of target proteins, however, in rare cases, conjugation to Cys or Ser residues has been observed. When polyubiquitin is free (unanchored-polyubiquitin), it also has distinct roles, such as in activation of protein kinases, and in signaling.
Subcellular Location:
Cytoplasm. Nucleus.
Similarity:
Belongs to the ubiquitin family.
Contains 9 ubiquitin-like domains.
SWISS:
P0CG48
Gene ID:
7314
Important Note:
This product as supplied is intended for research use only, not for use in human, therapeutic or diagnostic applications.
产品图片
风险提示:丁香通仅作为第三方平台,为商家信息发布提供平台空间。用户咨询产品时请注意保护个人信息及财产安全,合理判断,谨慎选购商品,商家和用户对交易行为负责。对于医疗器械类产品,请先查证核实企业经营资质和医疗器械产品注册证情况。
泛素蛋白单克隆抗体
¥860 - 1580










