相关产品推荐更多 >
万千商家帮你免费找货
0 人在求购买到急需产品
- 详细信息
- 文献和实验
- 技术资料
- 供应商:
上海晅科生物科技有限公司
- 库存:
100
- 英文名:
CV-1
- 生长状态:
贴壁细胞
- 年限:
详见说明书
- 运输方式:
常温运输/干冰运输
- 物种来源:
猴
- 组织来源:
肾
- 规格:
株
| 产品名称 | 产品规格 | 细胞类型 | 产品价格 |
| 非洲绿猴肾细胞,CV-1 | 5*10^5 | 细胞系 | 详询 |
订购说明:
1)欢迎客户来到本页面,我司专业主营细胞株、生物菌种、ELISA试剂盒、抗体、血清以及生化试剂等各种产品,可联系我司了解更多产品详情;
2)客户可咨询我司电话,也可在线留言,留言时请留下您的姓名、联系方式、产品名称以及产品数量,我们看到了会主动联系您;
3)产品为国内外知名品牌,质量有保证;
4)价格实惠,大批量订购可享受更多优惠活动;
5)我司拥有一批专业的技术人员,有技术困难可联系我司获取技术帮助。
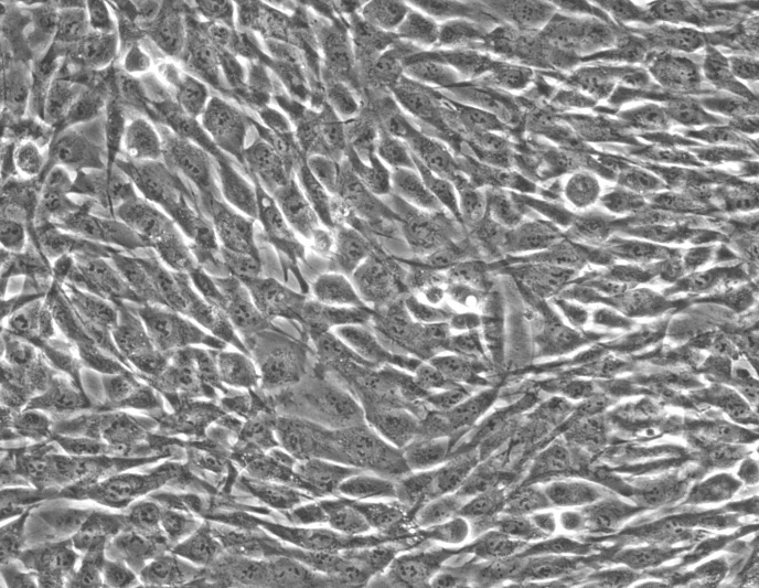
非洲绿猴肾细胞,CV-1细胞特性:
1)来源:肾;SV40转化;雄性
2)种属:非洲绿猴
3)状态:贴壁
4)污染:支原体、细菌、酵母和真菌检测为阴性
5)规格:T25瓶或者1mL冻存管包装
非洲绿猴肾细胞,CV-1培养需要用到的设备有二氧化碳细胞培养箱,其性能特点有:
1.液晶智能化控制,显示方式为双屏高亮度液晶屏显示,示值准确直观;
2.具有超温声光报警功能;
3.内部配置消毒紫外灯杀菌,可有效杀灭细菌、霉菌、支原体等微生物;
4.采用进口红外浓度传感器,二氧化碳浓度检测反应灵敏精确度高;
5.采用芯片自动抑制控制,可有效避免培养过程中打开箱门造成内腔温度波动度大;
6.温度控制具有超温声光报警功能,具备两套控制系统,当主控系统失效时,副控系统起监控作用;
7.采用门加热控制系统,可有效避免内玻璃门结露现象;
8.采用高效过滤器,对于直径大于等于0.3µm的颗粒,过滤器效果可达99.998%;
9.合理的风道结构,使培养箱加热升温快且均匀性好;
更多产品:
| 小鼠骨髓单核细胞 | MBMMC |
| 小鼠淋巴单核细胞 | CD1 MLMC |
| 小鼠肝巨噬细胞 | CD1 MHMa |
| 小鼠脾细胞 | CD1 MS |
| 小鼠脾巨噬细胞 | CD1 MSMa |
| 大鼠巨噬细胞 | RMa-bm |
| 大鼠淋巴单核细胞 | RLMC |
| 大鼠肝巨噬细胞 | RHMa |
| 大鼠脾细胞 | RS |
| 大鼠巨噬细胞 | RSMa |
风险提示:丁香通仅作为第三方平台,为商家信息发布提供平台空间。用户咨询产品时请注意保护个人信息及财产安全,合理判断,谨慎选购商品,商家和用户对交易行为负责。对于医疗器械类产品,请先查证核实企业经营资质和医疗器械产品注册证情况。
文献和实验传代步骤比较传统:倒掉培养液->PBS洗2遍->胰酶0.25%消化->倒掉胰酶->加培养基->用吸管吹打均匀->分瓶->放置37度,5%CO2孵箱。我的体会是:1、消化时间和实验环境温度也有很大关系,我们实验室条件比较差,不能维持恒温(不过我想大部分实验室目前也还是做不到的)。夏天的时候,消化特别快。但是到了冬天,就很慢,要用手捂老半天。2、消化到什么程度可以,经验很重要,如果每瓶消化都要通过显微镜观察来判断,首先效率太低,而且还很容易消化过头。对光观察培养瓶,当感觉到有些泛白,瓶角有少许细胞
地鼠肾BS-C-1 非注洲绿猴肾C2C12 小鼠成肌细胞C3H 10T1/2 2A6 小鼠成纤维细胞CHOdhfr 二氢叶酸缺陷型中国仓鼠卵巢细胞CHO-K1 中国仓鼠卵巢细胞COS-1 非洲绿肾COS-7 非洲绿猴肾细胞 CV-1 猴肾细胞 FDC-P1 小鼠正常骨髓细胞 IAR20 小鼠肝细胞 IEC-6 大鼠小肠隐窝上皮细胞 LL-PK1 猪肾细胞 MC3T3-E1 小鼠胚胎成骨细胞 MDCK 狗肾细胞 MEF 小鼠
元 CNE TCHu 13 人 鼻咽癌细胞 400元 COLO 205 TCHu102 人 结肠癌细胞 800元 COLO-320 TCHu 14 人 结肠腺癌细胞 450元 COS-1 GNO 1 非洲绿猴 SV40转化的非洲绿猴肾细胞 400元 COS-7 GNO 2 非洲绿猴 SV40转化的非洲绿猴肾细胞 400元 CRFK GNO16 猫 猫肾细胞 400元 CTLL-2 GNM 4 小鼠 T细胞 450元 CV-1
技术资料暂无技术资料 索取技术资料










