研选同类产品更多 >
万千商家帮你免费找货
0 人在求购买到急需产品
- 详细信息
- 用户评价
- 文献和实验
- 技术资料
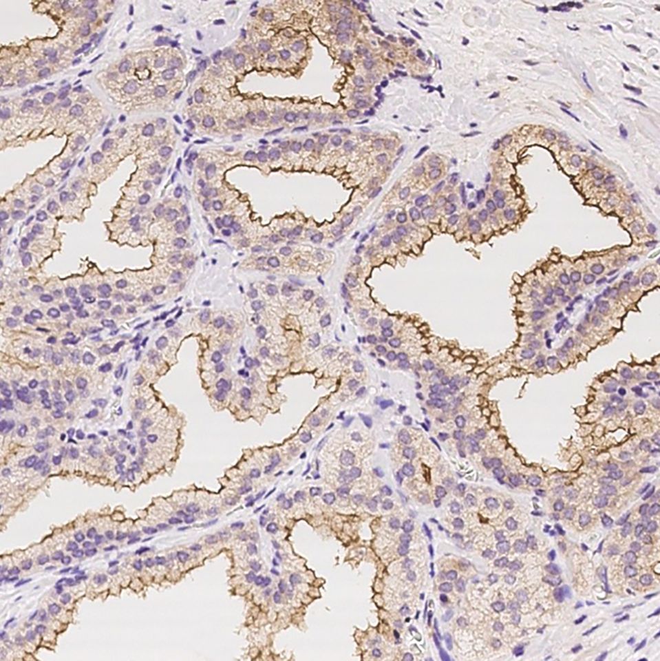
- 免疫原:
E. coli-derived Human TMPRSS2 fragment
- 亚型:
Rabbit IgG
- 形态:
液体
- 保存条件:
-20℃ to -80℃
- 克隆性:
兔多抗
- 适应物种:
Human
- 保质期:
12个月
- 目录编号:
204314-T08
- 级别:
免疫学试剂
- 库存:
99
- 供应商:
北京义翘神州科技股份有限公司
- 宿主:
Rabbit
- 应用范围:
IHC-P
- 浓度:
IHC-P: 1:50-1:200
- 靶点:
TMPRSS2
- 抗体英文名:
TMPRSS2 Antibody, Rabbit PAb, Antigen Affinity Purified
- 抗体名:
TMPRSS2 Antibody, Rabbit PAb, Antigen Affinity Purified
- 规格:
20 µL/100 µL
| 规格: | 20 µL | 产品价格: | ¥600.0 |
|---|---|---|---|
| 规格: | 100 µL | 产品价格: | ¥1699.0 |
TMPRSS2 兔多抗 (抗原亲和纯化)(产品说明)
抗体种属:Human
抗体靶点:TMPRSS2
抗体应用:IHC-P
抗原描述:E. coli-derived Human TMPRSS2 fragment
抗体宿主:Rabbit
抗体Ig类型:Rabbit IgG
抗体纯化方法:Protein A & Antigen Affinity
抗体制备:Produced in rabbits immunized with E. coli-derived Human TMPRSS2 fragment, and purified by antigen affinity chromatography.
抗体特异性:Human TMPRSS2
抗体保存:This antibody can be stored at 2℃-8℃ for one month without detectable loss of activity. Antibody products are stable for twelve months from date of receipt when stored at -20℃ to -80℃. Avoid repeated freeze-thaw cycles.
风险提示:丁香通仅作为第三方平台,为商家信息发布提供平台空间。用户咨询产品时请注意保护个人信息及财产安全,合理判断,谨慎选购商品,商家和用户对交易行为负责。对于医疗器械类产品,请先查证核实企业经营资质和医疗器械产品注册证情况。
用户评价
暂无用户评价
文献和实验1, Unali G, et al. Interferon-inducible phospholipids govern IFITM3-dependent endosomal antiviral immunity.The EMBO journal, PubMed ID: 36970857
Antigen Design Sera Purification Tech Sheet
generation has secondary structure similar to the epitope and/or if the protein epitope has enough continuous sequence for the antibody to bind with a lower affinity. When examining a protein sequence for potential antigenic epitopes, it is important
Antigen Design Sera Purification Tech Sheet
generation has secondary structure similar to the epitope and/or if the protein epitope has enough continuous sequence for the antibody to bind with a lower affinity. When examining a protein sequence for potential antigenic epitopes
Mapping Protein Distributions on Polytene Chromosomes by Immunostaining
Reagents Ammonium sulfate (50% [w/v]) (optional, see Step 23) Antibodies, primary Affinity-purified primary antibodies are diluted in PBS containing 1% BSA. The dilutions must be adjusted for each individual primary antibody. Typical
技术资料暂无技术资料 索取技术资料












