相关产品推荐更多 >
万千商家帮你免费找货
0 人在求购买到急需产品
- 详细信息
- 询价记录
- 文献和实验
- 技术资料
- 品系:
详询
- 供应商:
上海晅科生物科技有限公司
- 库存:
56
- 英文名:
HSkMC
- 生长状态:
贴壁/悬浮
- 年限:
详见说明书
- 运输方式:
常温运输/干冰运输
- 规格:
5ml-500ml
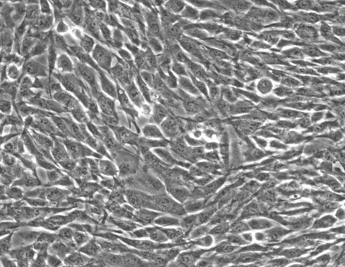
1.产品名称:人骨骼肌细胞 HSkMC
2.组织来源:人
3.产品规格:5×10^5cells/T25培养瓶
T25操作说明
T25收货:
1.收货后拆开包装,不打开封口膜,75%酒精消毒T25瓶表面;
2.显微镜下观察细胞并拍照,放入37度培养箱平衡2h;
3.细胞密度80%以上即可吸走培养基消化传代;若密度低于80%可以吸走多余培养基,留8ml左右继续培养至细胞密度80%以上。
Tips:
1.若收货当天没有时间处理细胞,T25瓶可以不开封,放至37度培养箱过夜;
2.若细胞出现漂浮,T25瓶不开封,放至37度培养箱过夜,若细胞贴壁即说明活性正常,按正常操作消化传代即可;若未贴壁,收集细胞培养基离心后,将细胞重悬接种到新的培养瓶中,同时原瓶还贴壁的细胞加培养基继续培养;
3.若T25瓶出现漏液或者破碎,及时拍照联系客服。
人骨骼肌细胞 HSkMC常见问题
▲倍增和代数有什么区别?
倍增是培养物中细胞总数的翻倍,通常是指细胞指数或对数生长期。代数是指细胞群从培养瓶中移出,传代培养过程的次数,传代培养的目的,是使细胞处于低密度以刺激其进一步生长。
▲接收到的冻存细胞该如何处理?
收到包装箱后,立即将冻存细胞从干冰移入液氮中冻存。此过程尽量快,以避免升温。不要将细胞储存在-80℃,这样会对细胞造成不可挽回的伤害。
▲冻存的细胞该如何开始培养?
(1) 将一管细胞从液氮罐中取出,注意保护手和眼睛。
(2) 将冻存管快速的放入37℃水浴中,轻轻握住并旋转,直到管内物体完全融化。
(3) 将冻存管立即从水浴中拿出,擦干,转入无菌环境。
(4) 用70%的酒精冲洗冻存管,然后擦去多余酒精。
(5) 打开盖子,注意手指不要碰到里面的螺纹(注意,由于冻存管有负压,开盖时可能会有少量溢出,这是正常现象)。
(6) 用多聚赖氨酸(或参照说明书)包被培养瓶。多数细胞推荐的接种密度为每平方厘米5000个细胞。
(7) 盖好培养瓶的盖子,轻轻摇晃培养瓶以使细胞分布均匀。若需要气体交换可打开盖子。
(8) 将培养瓶放入培养箱中(37℃,5%CO2,95%空气)。
(9) 放入培养箱后第6-16小时更换一次培养基,以去除残留的二甲基亚枫和未贴壁的细胞。
▲细胞培养过程中,多久更换一次培养基?
这取决于细胞生长的速度。一般而言2-3天更换一次培养基,许多细胞培养实验室通常在周一,周三,周五更换培养基。
注意:冻存细胞复苏后,在6-16小时内更换培养基,以去除残留的二甲基亚枫和死亡的细胞。
▲培养瓶中应该加入多少体积的培养基?
我们推荐的用量为:T-25培养瓶5ml,T-75培养瓶15ml,T-150培养瓶30ml。
更多人骨骼肌细胞 HSkMC敬请咨询!
风险提示:丁香通仅作为第三方平台,为商家信息发布提供平台空间。用户咨询产品时请注意保护个人信息及财产安全,合理判断,谨慎选购商品,商家和用户对交易行为负责。对于医疗器械类产品,请先查证核实企业经营资质和医疗器械产品注册证情况。
- 作者
- 内容
- 询问日期
文献和实验佚名 骨骼肌细胞在结构上最突出之点,是含有大量的肌原纤维和丰富的肌管系统,且其排列高度规则有序。肌细胞是体内耗能作功,完成机体多种机械运动的功能单位。 (一)肌原纤维和肌小节 每个肌纤维含有大量直径1~2μm的纤维状结构,称为肌原纤维,它们平行排列,纵贯肌纤维全长,在一个细胞中可达上千条之多(图2-20)。每条肌原纤维的全长都呈现规则的明、暗
试剂盒(南京建成生物工程研究所) ;吖啶橙(AO) 、溴乙啶( EB )(FLUKA ,Switzerland) ;酶标仪(BIO-RAD ,USA) ;荧光显微镜(OLYPUS ,Japan) ; 激光共聚焦显微镜(BIO-RAD 公司MRC-1024 型,USA) 。SD 大鼠(南京中医药大学,动物合格证号:SCXK(苏) 2002-0012) 。 2 骨骼肌细胞原代培养 取出生1d 的SD 大鼠四肢肌肉,切碎后用37 ℃的消化液(0. 05 %胶原酶和0. 25 %的胰蛋白酶) 消化
PromoCell的人类心肌细胞的来源PromoCell的人类心肌细胞(HCM)分离自成人心脏的心室,该组织来源于正在进行心脏移植的患者的外植心脏。a)当一个大样本的心肌进行了灌注和不完全消化时,会分离得到的杆状的心肌 细胞。其中一些细胞会自发进行常规的收缩,而其它一些只有受到刺激时才会收缩。由于其收缩功能,它们通常能用于生理研究。然而,有规律的肌节排布,会阻止大多数的细胞附着到TC培养皿上,因此,它们在体外是无法生长的。b)而另外一种情况下,当成人心肌进行的是完全消化,则可以分离和培养
技术资料暂无技术资料 索取技术资料








