相关产品推荐更多 >
万千商家帮你免费找货
0 人在求购买到急需产品
- 详细信息
- 文献和实验
- 技术资料
- 免疫原:
uncoupling protein 2(mitochondrial, proton carrier)
- 亚型:
IgG
- 形态:
liquid
- 保存条件:
-20℃ 12月
- 克隆性:
polyclonal
- 标记物:
未标记
- 适应物种:
Human, Mouse, Rat
- 保质期:
-20℃ 12月
- 抗原来源:
uncoupling protein 2(mitochondrial, proton carrier)
- 目录编号:
FNab09228
- 级别:
科研
- 库存:
100
- 供应商:
武汉菲恩生物科技有限公司
- 宿主:
Rabbit
- 应用范围:
ELISA, WB, IHC
- 靶点:
UCP2
- 抗体英文名:
UCP2 antibody
- 抗体名:
UCP2抗体
- 规格:
50ug/100ug
| 规格: | 50ug | 产品价格: | ¥1140.0 |
|---|---|---|---|
| 规格: | 100ug | 产品价格: | ¥1900.0 |

产品介绍
| 产品名称 | UCP2 antibody |
| 中文名称 | UCP2抗体 |
| 货号 | FNab09228 |
| 规格 | 50ug/100ug |
| 宿主 | Rabbit |
| 反应种属 | Human, Mouse, Rat |
| 验证应用 | ELISA, WB, IHC |
| 状态 | liquid |
| 纯化方法 | Immunogen affinity purified |
| 纯度 | ≥95% as determined by SDS-PAGE |
| 克隆性 | polyclonal |
| 亚型 | IgG |
| 免疫原 | uncoupling protein 2(mitochondrial, proton carrier) |
| 免疫原别称 | Dicarboxylate carrier SLC25A8|Mitochondrial uncoupling protein 2 (UCP 2)|Solute carrier family 25 member 8|UCPH|UCP2|SLC25A8 |
| Uniprot ID | P55851 |
| 分子量 | 28-33 kDa |
| 建议稀释比例 | WB: 1:500-1:2000; IHC: 1:20-1:200 |
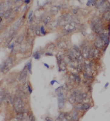
| 验证图片 | Immunohistochemistry of paraffin-embedded human colon cancer using FNab09228(UCP2 antibody) at dilution of 1:50 mouse skeletal muscle tissue were subjected to SDS PAGE followed by western blot with FNab09228(UCP2 antibody) at dilution of 1:1000 |
| 存储 | PBS with 0.02% sodium azide and 50% glycerol pH 7.3, -20℃ for 12 months(Avoid repeated freeze / thaw cycles.) |
| 注意事项 | UCP2 antibody仅供科研使用 |
菲恩生物抗体产品优势
种类齐全:有10000多种经过验证的免多抗和小鼠单抗,包括流式抗体、内参抗体、标签抗体、小分子化合物抗体、对照抗体等;
多种标记/非标记二抗:针对兔、羊、小鼠、大鼠、人等多个种属。100多种标记二抗,标记物包括HRP、Biotin、FITC、Cy3、Alexa Fluor 488、Alexa Fluor 594等,通过了蛋白质印迹、免疫荧光、免疫组织化学、流式细胞术和ELISA等免疫学相关应用的充分验证,可满足各种实验需求;
验证过多种实验:ELISA、WB、IHC、IF、IP、FC等应用,并进行了广泛的物种交叉实验。
风险提示:丁香通仅作为第三方平台,为商家信息发布提供平台空间。用户咨询产品时请注意保护个人信息及财产安全,合理判断,谨慎选购商品,商家和用户对交易行为负责。对于医疗器械类产品,请先查证核实企业经营资质和医疗器械产品注册证情况。
文献和实验抗用 HRP 标记):反应底物为过氧化物 + 鲁米诺,如遇到 HRP,即发光,可使胶片曝光,就可洗出条带。实验常见的问题指南01 参考书推荐A. 对初学者看什么资料比较好?解答:《抗体技术实验指南》和 Antibodies(a laboratory manual, wrote by Ed Harlow ,david lane)两本书不错。02 针对样品的常见问题此处内容较多,有部分答案省略,想查看更多详情,请点击【阅读原文】查看。B. 做线粒体膜 UCP2 蛋白的 Western Blot(以下简
根据问题的类型主要分成以下几类: 1. 谨言 以下资料权作参考,请勿盲目模仿 2. 针对样品的常见问题 B. 做线粒体膜UCP2蛋白的Western Blot (以下简写成Western Blot),提取线粒体后冻存(未加蛋白酶抑制剂),用的博士德的一抗,开始还有点痕迹,现在越来
实验常见的问题指南 根据问题的类型主要分成以下几类(以下资料权作参考,请勿盲目模仿!): 1. 参考书推荐 A. 对初学者看什么资料比较好? 解答:《抗体技术实验指南》和Antibodies(a laboratory manual, wrote by Ed Harlow ,david lane)两本书不错。 2. 针对样品的常见问题 B. 做线粒体膜UCP2蛋白的Western Blot (以下简写成Western Blot),提取线粒体
技术资料暂无技术资料 索取技术资料







