相关产品推荐更多 >
万千商家帮你免费找货
0 人在求购买到急需产品
- 详细信息
- 文献和实验
- 技术资料
- 免疫原:
ATP synthase, H+ transporting, mitochondrial F1 complex, gamma polypeptide 1
- 亚型:
IgG
- 形态:
liquid
- 保存条件:
-20℃ 12月
- 克隆性:
polyclonal
- 标记物:
未标记
- 适应物种:
Human, Mouse, Rat
- 保质期:
-20℃ 12月
- 抗原来源:
ATP synthase, H+ transporting, mitochondrial F1 complex, gamma polypeptide 1
- 目录编号:
FNab00704
- 级别:
科研
- 库存:
100
- 供应商:
武汉菲恩生物科技有限公司
- 宿主:
Rabbit
- 应用范围:
ELISA, WB, IHC
- 靶点:
ATP5F1C
- 抗体英文名:
ATP5F1C antibody
- 抗体名:
ATP5F1C抗体
- 规格:
50ug/100ug
| 规格: | 50ug | 产品价格: | ¥900.0 |
|---|---|---|---|
| 规格: | 100ug | 产品价格: | ¥1500.0 |

产品介绍
| 产品名称 | ATP5F1C antibody |
| 中文名称 | ATP5F1C抗体 |
| 货号 | FNab00704 |
| 规格 | 50ug/100ug |
| 宿主 | Rabbit |
| 反应种属 | Human, Mouse, Rat |
| 验证应用 | ELISA, WB, IHC |
| 状态 | liquid |
| 纯化方法 | Immunogen affinity purified |
| 纯度 | ≥95% as determined by SDS-PAGE |
| 克隆性 | polyclonal |
| 亚型 | IgG |
| 免疫原 | ATP synthase, H+ transporting, mitochondrial F1 complex, gamma polypeptide 1 |
| 免疫原别称 | ATP synthase subunit gamma, mitochondrial|ATP synthase F1 subunit gamma|F-ATPase gamma subunit|ATP5F1C|ATP5C|ATP5C1|ATP5CL1 |
| Uniprot ID | P36542 |
| 分子量 | 35 kDa |
| 建议稀释比例 | WB: 1:500-1:2000; IHC: 1:100-1:500 |
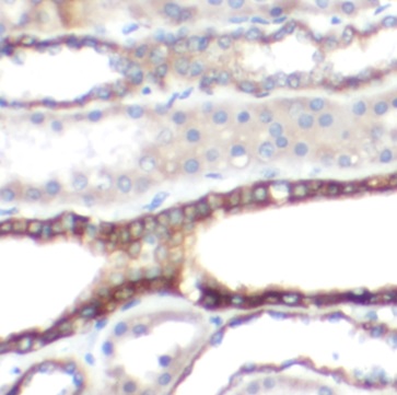
| 验证图片 | Immunohistochemistry of paraffin-embedded human kidney tissue slide using FNab00704( ATP5C1 Antibody) at dilution of 1:100 LO2 cells were subjected to SDS PAGE followed by western blot with FNab00704(ATP5C1 antibody) at dilution of 1:1001 |
| 存储 | PBS with 0.02% sodium azide and 50% glycerol pH 7.3, -20℃ for 12 months(Avoid repeated freeze / thaw cycles.) |
| 注意事项 | ATP5F1C antibody仅供科研使用 |
菲恩生物抗体产品优势
种类齐全:有10000多种经过验证的免多抗和小鼠单抗,包括流式抗体、内参抗体、标签抗体、小分子化合物抗体、对照抗体等;
多种标记/非标记二抗:针对兔、羊、小鼠、大鼠、人等多个种属。100多种标记二抗,标记物包括HRP、Biotin、FITC、Cy3、Alexa Fluor 488、Alexa Fluor 594等,通过了蛋白质印迹、免疫荧光、免疫组织化学、流式细胞术和ELISA等免疫学相关应用的充分验证,可满足各种实验需求;
验证过多种实验:ELISA、WB、IHC、IF、IP、FC等应用,并进行了广泛的物种交叉实验。
风险提示:丁香通仅作为第三方平台,为商家信息发布提供平台空间。用户咨询产品时请注意保护个人信息及财产安全,合理判断,谨慎选购商品,商家和用户对交易行为负责。对于医疗器械类产品,请先查证核实企业经营资质和医疗器械产品注册证情况。
文献和实验的既有鼠源成分,又有人源成分的抗体称为人源化抗体(humanized antibody)。人源化 抗体是通过基因工程制备的,所以又可称为基因工程抗体(genetically engineered antibody)。人源化抗体 的优越性主要表现在于其不会激起快速的抗球蛋白反应。由于Fc 段来源于人,其能更有效的与人体免疫 系统协同发挥作用。 嵌合抗体 由于90%的HAMA 是针对抗体C 区的,设计从分泌鼠McAb 的杂交瘤细胞基因组中分离功能性IgV 区基因,然后与人C 区基因按一定方式拼接
, or as often as necessary to decrease the background. Pellet cells. Save antibody supernatant, which is now diluted 1:5 from its initial concentration. These antibodies can be stored at 4o C for several weeks or at -70o C for longer periods. Solutions
基因工程抗体(genetically engineered antibody)
。由于受细胞内蛋白质加工、修饰能力的限制,大肠 杆菌不适合表达完整的抗体分子。在表达产物末端加入一个标签序列(tag sequence)是一种通用的方法,由此可方便地用ELISA 等常规 方法对表达产物定量检测,以及用亲和层析方法予以纯化。标签位点通常置于产物的C -末端,这样既不 影响抗体的活性,又不影响标签的特异性。常用的标签是由6 个组氨酸与Ni2 +、Zn2 +及Co2 +等阳离子组 成的组氨酸串。 酵母(yeast)是一类单细胞真核生物,不产生毒素,遗传背景清晰。在表达抗体时具有
技术资料暂无技术资料 索取技术资料








