相关产品推荐更多 >
万千商家帮你免费找货
0 人在求购买到急需产品
- 详细信息
- 文献和实验
- 技术资料
- 免疫原:
chromosome 18 open reading frame 21
- 亚型:
IgG
- 形态:
liquid
- 保存条件:
-20℃ 12月
- 克隆性:
polyclonal
- 标记物:
未标记
- 适应物种:
Human
- 保质期:
-20℃ 12月
- 抗原来源:
chromosome 18 open reading frame 21
- 目录编号:
FNab01043
- 级别:
科研
- 库存:
100
- 供应商:
武汉菲恩生物科技有限公司
- 宿主:
Rabbit
- 应用范围:
ELISA, IHC, WB
- 靶点:
C18orf21
- 抗体英文名:
C18orf21 antibody
- 抗体名:
C18orf21抗体
- 规格:
50ug/100ug
| 规格: | 50ug | 产品价格: | ¥1050.0 |
|---|---|---|---|
| 规格: | 100ug | 产品价格: | ¥1750.0 |

产品介绍
| 产品名称 | C18orf21 antibody |
| 中文名称 | C18orf21抗体 |
| 货号 | FNab01043 |
| 规格 | 50ug/100ug |
| 宿主 | Rabbit |
| 反应种属 | Human |
| 验证应用 | ELISA, IHC, WB |
| 状态 | liquid |
| 纯化方法 | Immunogen affinity purified |
| 纯度 | ≥95% as determined by SDS-PAGE |
| 克隆性 | polyclonal |
| 亚型 | IgG |
| 免疫原 | chromosome 18 open reading frame 21 |
| 免疫原别称 | UPF0711 protein C18orf21|HBV X-transactivated gene 13 protein|HBV XAg-transactivated protein 13|C18orf21|XTP13 |
| Uniprot ID | Q32NC0 |
| 分子量 | 25-28 kDa |
| 建议稀释比例 | WB: 1:500-1:2000; IHC: 1:20-1:200 |
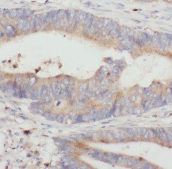
| 验证图片 | Immunohistochemistry of paraffin-embedded human colon cancer tissue slide using FNab01043(C18orf21 Antibody) at dilution of 1:50 COLO 320 cells were subjected to SDS PAGE followed by western blot with FNab01043(C18orf21 Antibody) at dilution of 1:600 |
| 存储 | PBS with 0.02% sodium azide and 50% glycerol pH 7.3, -20℃ for 12 months(Avoid repeated freeze / thaw cycles.) |
| 注意事项 | C18orf21 antibody仅供科研使用 |
菲恩生物抗体产品优势
种类齐全:有10000多种经过验证的免多抗和小鼠单抗,包括流式抗体、内参抗体、标签抗体、小分子化合物抗体、对照抗体等;
多种标记/非标记二抗:针对兔、羊、小鼠、大鼠、人等多个种属。100多种标记二抗,标记物包括HRP、Biotin、FITC、Cy3、Alexa Fluor 488、Alexa Fluor 594等,通过了蛋白质印迹、免疫荧光、免疫组织化学、流式细胞术和ELISA等免疫学相关应用的充分验证,可满足各种实验需求;
验证过多种实验:ELISA、WB、IHC、IF、IP、FC等应用,并进行了广泛的物种交叉实验。
风险提示:丁香通仅作为第三方平台,为商家信息发布提供平台空间。用户咨询产品时请注意保护个人信息及财产安全,合理判断,谨慎选购商品,商家和用户对交易行为负责。对于医疗器械类产品,请先查证核实企业经营资质和医疗器械产品注册证情况。
文献和实验个内源性表达的细胞周期基因。为此我们使用LightCycler® 480实时荧光定量PCR仪和RealTime ready细胞周期检测预制多孔板。用特异抗体和流式细胞术测定天冬氨酸特异性半胱氨酸蛋白酶-3的激活。在这个分析中,我们发现C24ORF17和BARD1基因下调后,天冬氨酸特异性半胱氨酸蛋白酶-3的激活增加了。为了确定编码蛋白在凋亡诱导中的作用,在本研究中我们使用RealTime ready凋亡检测预制多孔板和LightCycler® 480仪器,通过qRT-PCR分析了当通过RNAi而表达
三句话读懂一篇 CNS:辐射对精子 DNA 的破坏无法修复,还会遗传给后代!| 每天 2 杯咖啡,这类人群的死亡风险翻倍
and germline development。 该研究系统性地揭示了从小鼠早期胚胎发育至生殖细胞发生过程中 5hmC 的全基因组分布与分子调控特征,揭示了父本和母本基因组之间在 5hmC 的产生以及分布上的异同,为理解早期胚胎发育过程中的表观遗传调控提供了新视角。 图 1:来源 Nature Genetics 2. Nature:辐射损伤永久伤害精子 DNA,且可遗传给后代 男性辐射暴露是否会对后代造成负面影响,目前仍存在长期争议。 2022 年 12 月 21 日,德国科隆衰老及衰老
.cn/bbs/post/view?bid=65&id=6757173&sty=1&tpg=21&age=0 【求助】请问ELISA的抗体可以用来做western和免疫组化吗? http://www.dxy.cn/bbs/post/view?bid=65&id=6759956&sty=1&tpg=21&age=0 【求助】蛋白表达量非常非常低,高手们有什么好的建议吗?不胜感激! http://www.dxy.cn/bbs/post/view?bid=65&id=6760858&sty
技术资料暂无技术资料 索取技术资料








