相关产品推荐更多 >
万千商家帮你免费找货
0 人在求购买到急需产品
- 详细信息
- 技术资料
- 免疫原:
biogenesis of lysosomal organelles complex-1, subunit 1
- 亚型:
IgG
- 形态:
liquid
- 保存条件:
PBS with 0.02% sodium azide and 50% glycerol pH 7.3, -20℃ for 12 months(Avoid repeated freeze / thaw cycles.)
- 克隆性:
多克隆抗体
- 适应物种:
Human, Mouse, Rat
- 保质期:
-20℃ for 12 months(Avoid repeated freeze / thaw cycles.)
- 抗原来源:
biogenesis of lysosomal organelles complex-1, subunit 1
- 目录编号:
FNab00909
- 级别:
科研
- 库存:
100
- 供应商:
武汉菲恩生物科技有限公司
- 宿主:
Rabbit
- 应用范围:
ELISA, WB, IHC, IP
- 靶点:
biogenesis of lysosomal organelles complex-1, subunit 1
- 抗体英文名:
BLOC1S1-Specific antibody
- 抗体名:
BLOC1S1-Specific antibody
- 规格:
50μg/100μg
| 规格: | 50μg | 产品价格: | ¥1050.0 |
|---|---|---|---|
| 规格: | 100μg | 产品价格: | ¥1750.0 |

BLOC1S1-Specific antibody|BLOC1S1特异性抗体宿主来源于Rabbit,克隆性:polyclonal,适用种属:Human, Mouse, Rat,验证应用:ELISA, WB, IHC, IP
-------------------------------------------------------------------------------------------------------------------------
产品介绍
| 产品名称 | BLOC1S1-Specific antibody |
|---|---|
| 货号 | FNab00909 |
| 规格 | 50μg, 100μg |
| 纯化方法 | Immunogen affinity purified |
| 纯度 | ≥95% as determined by SDS-PAGE |
| 宿主 | Rabbit |
| 克隆性 | polyclonal |
| 亚型 | IgG |
| 存储 | PBS with 0.02% sodium azide and 50% glycerol pH 7.3, -20℃ for 12 months(Avoid repeated freeze / thaw cycles.) |
| 分子量 | 15 kDa |
| Uniprot ID | P78537 |
| 适用种属 | Human, Mouse, Rat |
| 验证应用 | ELISA, WB, IHC, IP |
| 建议稀释比例 | WB: 1:500-1:2000; IHC: 1:20-1:200 |
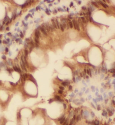
| 图片 | ![]() Immunohistochemistry of paraffin-embedded human small intestine slide using FNab00909(BLOC1S1-Specific Antibody) at dilution of 1:50 |
![]() human brain tissue were subjected to SDS PAGE followed by western blot with FNab00909(BLOC1S1-Specific antibody) at dilution of 1:1000 |
|
| 注意事项 | BLOC1S1-Specific antibody|BLOC1S1特异性抗体仅供科研使用 |

风险提示:丁香通仅作为第三方平台,为商家信息发布提供平台空间。用户咨询产品时请注意保护个人信息及财产安全,合理判断,谨慎选购商品,商家和用户对交易行为负责。对于医疗器械类产品,请先查证核实企业经营资质和医疗器械产品注册证情况。
技术资料暂无技术资料 索取技术资料









