相关产品推荐更多 >
万千商家帮你免费找货
0 人在求购买到急需产品
- 详细信息
- 文献和实验
- 技术资料
- 免疫原:
cell division cycle 6 homolog
- 亚型:
IgG
- 形态:
liquid
- 保存条件:
-20℃ 12月
- 克隆性:
polyclonal
- 标记物:
未标记
- 适应物种:
Human, Mouse, Rat
- 保质期:
-20℃ 12月
- 抗原来源:
cell division cycle 6 homolog
- 目录编号:
FNab01536
- 级别:
科研
- 库存:
100
- 供应商:
武汉菲恩生物科技有限公司
- 宿主:
Rabbit
- 应用范围:
ELISA, WB, IHC, IF
- 靶点:
CDC6
- 抗体英文名:
CDC6 antibody
- 抗体名:
CDC6抗体
- 规格:
50ug/100ug
| 规格: | 50ug | 产品价格: | ¥1050.0 |
|---|---|---|---|
| 规格: | 100ug | 产品价格: | ¥1750.0 |

产品介绍
| 产品名称 | CDC6 antibody |
| 中文名称 | CDC6抗体 |
| 货号 | FNab01536 |
| 规格 | 50ug/100ug |
| 宿主 | Rabbit |
| 反应种属 | Human, Mouse, Rat |
| 验证应用 | ELISA, WB, IHC, IF |
| 状态 | liquid |
| 纯化方法 | Immunogen affinity purified |
| 纯度 | ≥95% as determined by SDS-PAGE |
| 克隆性 | polyclonal |
| 亚型 | IgG |
| 免疫原 | cell division cycle 6 homolog |
| 免疫原别称 | Cell division control protein 6 homolog|CDC6-related protein|Cdc18-related protein (HsCdc18)|p62(cdc6) (HsCDC6)|CDC6|CDC18L |
| Uniprot ID | Q99741 |
| 分子量 | 63 kDa |
| 建议稀释比例 | WB: 1:500-1:2000; IHC: 1:20-1:200; IF: 1:20-1:200 |
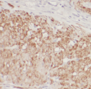
| 验证图片 | Immunohistochemistry of paraffin-embedded human colon cancer using FNab01536(CDC6 antibody) at dilution of 1:50 HeLa cells were subjected to SDS PAGE followed by western blot with FNab01536(CDC6 antibody) at dilution of 1:400 |
| 存储 | PBS with 0.02% sodium azide and 50% glycerol pH 7.3, -20℃ for 12 months(Avoid repeated freeze / thaw cycles.) |
| 注意事项 | CDC6 antibody仅供科研使用 |
菲恩生物抗体产品优势
种类齐全:有10000多种经过验证的免多抗和小鼠单抗,包括流式抗体、内参抗体、标签抗体、小分子化合物抗体、对照抗体等;
多种标记/非标记二抗:针对兔、羊、小鼠、大鼠、人等多个种属。100多种标记二抗,标记物包括HRP、Biotin、FITC、Cy3、Alexa Fluor 488、Alexa Fluor 594等,通过了蛋白质印迹、免疫荧光、免疫组织化学、流式细胞术和ELISA等免疫学相关应用的充分验证,可满足各种实验需求;
验证过多种实验:ELISA、WB、IHC、IF、IP、FC等应用,并进行了广泛的物种交叉实验。
风险提示:丁香通仅作为第三方平台,为商家信息发布提供平台空间。用户咨询产品时请注意保护个人信息及财产安全,合理判断,谨慎选购商品,商家和用户对交易行为负责。对于医疗器械类产品,请先查证核实企业经营资质和医疗器械产品注册证情况。
文献和实验Protein Expression and purification 41: 207-234 (2005) (七)古怪的CDC6 这里再给大家讲一个在大肠杆菌中表达蛋白质的例子,一个很夸张的例子,但是很有启发性。 Bruce Stillman 是冷泉港的现任主管,是一个绝对的牛人。不但科学做得很好,而且还很爱国。他是澳洲人,在美国待了N年,却从没有加入美国国籍,所以他只是外籍院士。我们的晚间报告有一个是他作的。他主要研究真核生物的DNA复制。这是一个到现在为止都没有完全
【转贴】 从纯化到星辰---冷泉港(CSHL)蛋白质纯化课侧记(全文完)后附全文doc文档
情结), 信区: Biology 标 题: 从纯化到星辰---CSH蛋白质纯化课侧记(七) 发信站: Unknown Space - 未名空间 (Thu Apr 28 18:15:35 2005) WWW-POST 本文献给YL (七)古怪的CDC6 这里再给大家讲一个在大肠杆菌中表达蛋白质的例子,一个很夸张的例子,但是很有 启发性。 Bruce Stillman 是冷泉港的现任主管,是一个绝对的牛人。不但科学做得很好,而且 还很爱 国。他是澳洲人,在美国
/ml DNase‐free RNase A (see recipe ) 10× loading buffer (see recipe ) Primary antibody against protein or epitope
技术资料暂无技术资料 索取技术资料








