相关产品推荐更多 >
万千商家帮你免费找货
0 人在求购买到急需产品
- 详细信息
- 询价记录
- 文献和实验
- 技术资料
- 免疫原:
erythropoietin receptor
- 亚型:
IgG
- 形态:
liquid
- 保存条件:
-20℃ 12月
- 克隆性:
polyclonal
- 标记物:
未标记
- 适应物种:
Human, Mouse, Rat
- 保质期:
-20℃ 12月
- 抗原来源:
erythropoietin receptor
- 目录编号:
FNab02816
- 级别:
科研
- 库存:
100
- 供应商:
武汉菲恩生物科技有限公司
- 宿主:
Rabbit
- 应用范围:
ELISA, WB, IHC
- 靶点:
EPOR
- 抗体英文名:
EPOR antibody
- 抗体名:
EPOR抗体
- 规格:
50ug/100ug
| 规格: | 50ug | 产品价格: | ¥1260.0 |
|---|---|---|---|
| 规格: | 100ug | 产品价格: | ¥2100.0 |

产品介绍
| 产品名称 | EPOR antibody |
| 中文名称 | EPOR抗体 |
| 货号 | FNab02816 |
| 规格 | 50ug/100ug |
| 宿主 | Rabbit |
| 反应种属 | Human, Mouse, Rat |
| 验证应用 | ELISA, WB, IHC |
| 状态 | liquid |
| 纯化方法 | Immunogen affinity purified |
| 纯度 | ≥95% as determined by SDS-PAGE |
| 克隆性 | polyclonal |
| 亚型 | IgG |
| 免疫原 | erythropoietin receptor |
| 免疫原别称 | Erythropoietin receptor (EPO-R)|EPOR |
| Uniprot ID | P19235 |
| 分子量 | 53 kDa |
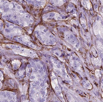
| 建议稀释比例 | WB: 1:500 - 1:2000; IHC: 1:50 - 1:200 |
| 验证图片 | Immunohistochemistry of paraffin-embedded human prostate using FNab02816(EPOR antibody) at dilution of 1:100 HepG2 cells were subjected to SDS PAGE followed by western blot with FNab02816( EPOR Antibody) at dilution of 1:1000 |
| 存储 | PBS with 0.02% sodium azide and 50% glycerol pH 7.3, -20℃ for 12 months (Avoid repeated freeze / thaw cycles.) |
| 注意事项 | EPOR antibody仅供科研使用 |
菲恩生物抗体产品优势
种类齐全:有10000多种经过验证的免多抗和小鼠单抗,包括流式抗体、内参抗体、标签抗体、小分子化合物抗体、对照抗体等;
多种标记/非标记二抗:针对兔、羊、小鼠、大鼠、人等多个种属。100多种标记二抗,标记物包括HRP、Biotin、FITC、Cy3、Alexa Fluor 488、Alexa Fluor 594等,通过了蛋白质印迹、免疫荧光、免疫组织化学、流式细胞术和ELISA等免疫学相关应用的充分验证,可满足各种实验需求;
验证过多种实验:ELISA、WB、IHC、IF、IP、FC等应用,并进行了广泛的物种交叉实验。
风险提示:丁香通仅作为第三方平台,为商家信息发布提供平台空间。用户咨询产品时请注意保护个人信息及财产安全,合理判断,谨慎选购商品,商家和用户对交易行为负责。对于医疗器械类产品,请先查证核实企业经营资质和医疗器械产品注册证情况。
- 作者
- 内容
- 询问日期
文献和实验310、GM-CSFRβ链和IL-2Rγ链。 1.gp130/LIFR 为IL-6R、单抗MT18在骨髓瘤细胞系U266共沉淀中得到一种130kDa的糖蛋白,命名为gp130。1990年Hibi克隆成功,gp130,属于造血因子受体家族。IL-6、IL-11均能刺激IL-6信赖的小鼠浆细胞瘤系T1165的增殖,能在IL-3、GM-CSF的作用下缩短骨髓多能干细胞的Go期,增强IL-3依赖的人和小鼠的巨核细胞集落的形成,促进体内、体外的特异性抗体反应,诱导肝细胞急性期蛋白的产生。抗gp130
) ELISA 48T/96T 2000/3000 进口分装 F10051 小鼠抗线粒体抗体 (mouse AMA) ELISA 48T/96T 2000/3000 进口分装 F10052 小鼠抗核抗体 (mouse ANA) ELISA 48T/96T 2000/3000 进口分装 F10060 小鼠血管紧张素 II(mouse ANG II) ELISA 48T/96T 2000/3000 进口分装 F10061 小鼠血管生成素 -2(mouse Angiopoietin
促红细胞生成素 (rat EPO) ELISA 48T/96T 2000/3000 进口分装 F15341 大鼠红细胞生成素受体 (rat EPOR) ELISA 48T/96T 2000/3000 进口分装 F15342 大鼠弹性蛋白酶 (rat Elastase) ELISA 48T/96T 2000/3000 进口分装 F15343 大鼠血管内皮抑素 (rat Endostatin) ELISA 48T/96T 2000/3000 进口分装 F15344 大鼠内皮
技术资料暂无技术资料 索取技术资料









