相关产品推荐更多 >
万千商家帮你免费找货
0 人在求购买到急需产品
- 详细信息
- 询价记录
- 文献和实验
- 技术资料
- 免疫原:
glucose phosphate isomerase
- 亚型:
IgG
- 形态:
liquid
- 保存条件:
-20℃ 12月
- 克隆性:
polyclonal
- 标记物:
未标记
- 适应物种:
Human, Mouse, Rat
- 保质期:
-20℃ 12月
- 抗原来源:
glucose phosphate isomerase
- 目录编号:
FNab03582
- 级别:
科研
- 库存:
100
- 供应商:
武汉菲恩生物科技有限公司
- 宿主:
Rabbit
- 应用范围:
ELISA, WB, IHC, IF
- 靶点:
GPI
- 抗体英文名:
GPI antibody
- 抗体名:
GPI抗体
- 规格:
50ug/100ug
| 规格: | 50ug | 产品价格: | ¥900.0 |
|---|---|---|---|
| 规格: | 100ug | 产品价格: | ¥1500.0 |

产品介绍
| 产品名称 | GPI antibody |
| 中文名称 | GPI抗体 |
| 货号 | FNab03582 |
| 规格 | 50ug/100ug |
| 宿主 | Rabbit |
| 反应种属 | Human, Mouse, Rat |
| 验证应用 | ELISA, WB, IHC, IF |
| 状态 | liquid |
| 纯化方法 | Immunogen affinity purified |
| 纯度 | ≥95% as determined by SDS-PAGE |
| 克隆性 | polyclonal |
| 亚型 | IgG |
| 免疫原 | glucose phosphate isomerase |
| 免疫原别称 | Glucose-6-phosphate isomerase (GPI)|Autocrine motility factor (AMF)|Neuroleukin (NLK)|Phosphoglucose isomerase (PGI)|Phosphohexose isomerase (PHI)|Sperm antigen 36 (SA-36)|GPI |
| Uniprot ID | P06744 |
| 分子量 | 56 kDa |
| 建议稀释比例 | WB: 1:500 - 1:2000; IHC: 1:50 - 1:200; IF: 1:50 - 1:200 |
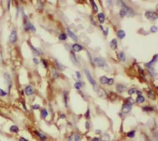
| 验证图片 | Immunohistochemistry of paraffin-embedded rat kidney using FNab03582( GPI Antibody) at dilution of 1:200 Immunofluorescence analysis of U2OS cells using FNab03582( GPI Antibody) Blue: DAPI for nuclear staining. PC-3 cells were subjected to SDS PAGE followed by western blot with FNab03582(GPI antibody) at dilution of 1:1000 |
| 存储 | PBS with 0.02% sodium azide and 50% glycerol pH 7.3, -20℃ for 12 months (Avoid repeated freeze / thaw cycles.) |
| 注意事项 | GPI antibody仅供科研使用 |
菲恩生物抗体产品优势
种类齐全:有10000多种经过验证的免多抗和小鼠单抗,包括流式抗体、内参抗体、标签抗体、小分子化合物抗体、对照抗体等;
多种标记/非标记二抗:针对兔、羊、小鼠、大鼠、人等多个种属。100多种标记二抗,标记物包括HRP、Biotin、FITC、Cy3、Alexa Fluor 488、Alexa Fluor 594等,通过了蛋白质印迹、免疫荧光、免疫组织化学、流式细胞术和ELISA等免疫学相关应用的充分验证,可满足各种实验需求;
验证过多种实验:ELISA、WB、IHC、IF、IP、FC等应用,并进行了广泛的物种交叉实验。
风险提示:丁香通仅作为第三方平台,为商家信息发布提供平台空间。用户咨询产品时请注意保护个人信息及财产安全,合理判断,谨慎选购商品,商家和用户对交易行为负责。对于医疗器械类产品,请先查证核实企业经营资质和医疗器械产品注册证情况。
- 作者
- 内容
- 询问日期
文献和实验饥饿的 HeLa 和 NIH 3T3 癌细胞系获得的裂解物中的磷酸化蛋白特异性。图示:从复杂生物样品中富集高纯度磷蛋白。用 theThermo Scientific Pierce 磷酸化蛋白富集试剂盒进行 Weste blot 分析,根据试剂盒说明书制备细胞裂解液,富集磷酸化蛋白。利用识别生长因子信号传导相关关键调控蛋白的磷酸化特异性抗体实现蛋白检测。细胞色素 C (pI 9.6) 和 p15Ink4b (pI 5.5) 作为非磷酸化蛋白非特异性结合的阴性对照。FT = 流穿馏分,W = 合并洗脱馏分,E
Laboratory Tests for the Antiphospholipid Syndrome
), anticardiolipin (aCL) antibody, and/or anti‐β2 glycoprotein I (aβ2 GPI) antibody assays. These aPL, considered to be diagnostic markers and pathogenic drivers of APS, are a heterogeneous group of antibodies directed against anionic phospholipids, phospholipid
部分突变是点突变,保留部分活性,可以合成少部分的 GPI 锚蛋白。这种突变细胞表达部分 GPI 锚蛋白( II 类细胞)。由于 pig-a 基因位于 X 染色体,每个细胞只有一个功能性 pig-a 基因(女性 X 染色体失活),因此,单一突变会造成 GPI 缺失表型。相反,每个细胞中都有两个具有活性的常染色体 pig 基因,只有常染色体上两个等位基因都发生突变,才会产生 PNH 症状。 (四)流式细胞仪分析 使用分子生物学已经成功发现了 PNH 的基因缺陷,而使用单克隆抗体
技术资料暂无技术资料 索取技术资料








