相关产品推荐更多 >
万千商家帮你免费找货
0 人在求购买到急需产品
- 详细信息
- 询价记录
- 文献和实验
- 技术资料
- 免疫原:
gasdermin D
- 亚型:
IgG
- 形态:
liquid
- 保存条件:
-20℃ 12月
- 克隆性:
polyclonal
- 标记物:
未标记
- 适应物种:
Human, Mouse, Rat
- 保质期:
-20℃ 12月
- 抗原来源:
gasdermin D
- 目录编号:
FNab03670
- 级别:
科研
- 库存:
100
- 供应商:
武汉菲恩生物科技有限公司
- 宿主:
Rabbit
- 应用范围:
ELISA, WB, IHC, IF
- 靶点:
GSDMD
- 抗体英文名:
GSDMD antibody
- 抗体名:
GSDMD抗体
- 规格:
50ug/100ug
| 规格: | 50ug | 产品价格: | ¥1260.0 |
|---|---|---|---|
| 规格: | 100ug | 产品价格: | ¥2100.0 |

产品介绍
| 产品名称 | GSDMD antibody |
| 中文名称 | GSDMD抗体 |
| 货号 | FNab03670 |
| 规格 | 50ug/100ug |
| 宿主 | Rabbit |
| 反应种属 | Human, Mouse, Rat |
| 验证应用 | ELISA, WB, IHC, IF |
| 状态 | liquid |
| 纯化方法 | Immunogen affinity purified |
| 纯度 | ≥95% as determined by SDS-PAGE |
| 克隆性 | polyclonal |
| 亚型 | IgG |
| 免疫原 | gasdermin D |
| 免疫原别称 | Gasdermin-D|Gasdermin domain-containing protein 1|Gasdermin-D, C-terminal (GSDMD-CT, hGSDMD-CTD)|Gasdermin-D, p13|Gasdermin-D, 13 kDa (13 kDa GSDMD)|Gasdermin-D, p40|GSDMD|DFNA5L|GSDMDC1 |
| Uniprot ID | P57764 |
| 分子量 | 50-53 kDa |
| 建议稀释比例 | WB: 1:200-1:2000; IHC: 1:20-1:200; IF: 1:10-1:100 |
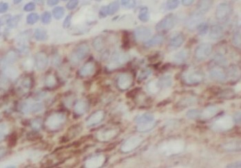
| 验证图片 | Immunohistochemistry of paraffin-embedded human skin using FNab03670(GSDMD antibody) at dilution of 1:50 Jurkat cells were subjected to SDS PAGE followed by western blot with FNab03670(GSDMD Antibody) at dilution of 1:500 |
| 存储 | PBS with 0.02% sodium azide and 50% glycerol pH 7.3, -20℃ for 12 months(Avoid repeated freeze / thaw cycles.) |
| 注意事项 | GSDMD antibody仅供科研使用 |
菲恩生物抗体产品优势
种类齐全:有10000多种经过验证的免多抗和小鼠单抗,包括流式抗体、内参抗体、标签抗体、小分子化合物抗体、对照抗体等;
多种标记/非标记二抗:针对兔、羊、小鼠、大鼠、人等多个种属。100多种标记二抗,标记物包括HRP、Biotin、FITC、Cy3、Alexa Fluor 488、Alexa Fluor 594等,通过了蛋白质印迹、免疫荧光、免疫组织化学、流式细胞术和ELISA等免疫学相关应用的充分验证,可满足各种实验需求;
验证过多种实验:ELISA、WB、IHC、IF、IP、FC等应用,并进行了广泛的物种交叉实验。
风险提示:丁香通仅作为第三方平台,为商家信息发布提供平台空间。用户咨询产品时请注意保护个人信息及财产安全,合理判断,谨慎选购商品,商家和用户对交易行为负责。对于医疗器械类产品,请先查证核实企业经营资质和医疗器械产品注册证情况。
- 作者
- 内容
- 询问日期
文献和实验JCI 重磅:王福生院士团队发现 HIV 感染者体内 T 细胞损耗元凶!
-1 和 caspase-3 激活形式的抗体进行胞内染色。 随后,研究人员纳入了 80 例 Viremic HIV-1-Infected 患者(VIR),41 例进行了成功的抗逆转录病毒治疗的患者(ART),7 例病毒得到严格控制的患者(EC)以及 19 例健康对照。纳入人群的详细临床特征如下表所示。 图片来源:JCI 首先,研究人员比较了四组人群中 CD4+ T 细胞表达活化的 caspase-1 和 caspase-3 的情况,结果发现,无论是 caspase-1,还是 caspase-3,其活化比例均在 VIR
Caspase-1 活化实现其功能:(1)Caspase-1 剪切细胞因子 pro-IL-1β 和 pro-IL-18 使其成熟并释放到胞外介导炎症的级联反应,启动宿主免疫反应;(2)Caspase-1 还可通过 GasderminD(GSDMD)介导细胞焦亡(pyroptosis)[6, 7],表现为细胞膜崩解,胞质内毒素分子释放,从而趋化炎症细胞并促进其释放细胞因子,这一过程是经典的细胞焦亡激活过程。通过对细胞焦亡的研究的不断深入,一些新的分子机制被发现,比如一些新的 Caspase(如 Caspase
盘点 2020 年中国学者的十大免疫学研究成果,有的已经被写进高考题?!
的 caspase 3 可切割活化 GSDME(GSDME 是在 B 白血病和其他靶细胞中高表达的一种打孔蛋白,是细胞焦亡的执行蛋白之一),进而导致大面积的细胞焦亡的发生。细胞焦亡释放的因子会激活巨噬细胞中的 caspase 1,进而切割活化 GSDMD,从而导致细胞因子的释放和随后的 CRS 的发生。 2. 发烧是如何影响机体免疫反应的?发烧是一种在感染和损伤时产生的生理反应。通常认为适当程度的发烧有助于提高生物体抵抗病原体的能力,提高存活率。然而发烧也是许多自身免疫性疾病的共同临床症状,临床上有大约 20
技术资料暂无技术资料 索取技术资料








