相关产品推荐更多 >
万千商家帮你免费找货
0 人在求购买到急需产品
- 详细信息
- 文献和实验
- 技术资料
- 免疫原:
interferon regulatory factor 3
- 亚型:
IgG
- 形态:
liquid
- 保存条件:
-20℃ 12月
- 克隆性:
polyclonal
- 标记物:
未标记
- 适应物种:
Human
- 保质期:
-20℃ 12月
- 抗原来源:
interferon regulatory factor 3
- 目录编号:
FNab04389
- 级别:
科研
- 库存:
100
- 供应商:
武汉菲恩生物科技有限公司
- 宿主:
Rabbit
- 应用范围:
ELISA, WB, IHC, ChIP
- 靶点:
IRF3
- 抗体英文名:
IRF3 antibody
- 抗体名:
IRF3抗体
- 规格:
50ug/100ug
| 规格: | 50ug | 产品价格: | ¥1140.0 |
|---|---|---|---|
| 规格: | 100ug | 产品价格: | ¥1900.0 |

产品介绍
| 产品名称 | IRF3 antibody |
| 中文名称 | IRF3抗体 |
| 货号 | FNab04389 |
| 规格 | 50ug/100ug |
| 宿主 | Rabbit |
| 反应种属 | Human |
| 验证应用 | ELISA, WB, IHC, ChIP |
| 状态 | liquid |
| 纯化方法 | Immunogen affinity purified |
| 纯度 | ≥95% as determined by SDS-PAGE |
| 克隆性 | polyclonal |
| 亚型 | IgG |
| 免疫原 | interferon regulatory factor 3 |
| 免疫原别称 | Interferon regulatory factor 3 (IRF-3)|IRF3 |
| Uniprot ID | Q14653 |
| 分子量 | 56 kDa |
| 建议稀释比例 | WB: 1:500 - 1:2000; IHC: 1:50 - 1:200; ChIP : 1:20 - 1:100 |
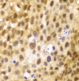
| 验证图片 |
Immunohistochemistry of paraffin-embedded human lung cancer using FNab04389(IRF3 antibody) at dilution of 1:50 IP Result of anti-IRF3 (IP:FNab04389, 3ug; Detection:FNab04389 1:1000) with Jurkat cells lysate 2400ug.
Jurkat cells were subjected to SDS PAGE followed by western blot with FNab04389(IRF3 antibody) at dilution of 1:1000 |
| 存储 | PBS with 0.02% sodium azide and 50% glycerol pH 7.3, -20℃ for 12 months (Avoid repeated freeze / thaw cycles.) |
| 注意事项 | IRF3 antibody仅供科研使用 |
菲恩生物抗体产品优势
种类齐全:有10000多种经过验证的免多抗和小鼠单抗,包括流式抗体、内参抗体、标签抗体、小分子化合物抗体、对照抗体等;
多种标记/非标记二抗:针对兔、羊、小鼠、大鼠、人等多个种属。100多种标记二抗,标记物包括HRP、Biotin、FITC、Cy3、Alexa Fluor 488、Alexa Fluor 594等,通过了蛋白质印迹、免疫荧光、免疫组织化学、流式细胞术和ELISA等免疫学相关应用的充分验证,可满足各种实验需求;
验证过多种实验:ELISA、WB、IHC、IF、IP、FC等应用,并进行了广泛的物种交叉实验。
风险提示:丁香通仅作为第三方平台,为商家信息发布提供平台空间。用户咨询产品时请注意保护个人信息及财产安全,合理判断,谨慎选购商品,商家和用户对交易行为负责。对于医疗器械类产品,请先查证核实企业经营资质和医疗器械产品注册证情况。
文献和实验三句话读懂一篇 CNS:辐射对精子 DNA 的破坏无法修复,还会遗传给后代!| 每天 2 杯咖啡,这类人群的死亡风险翻倍
免疫反应中,表观遗传调控通过多种机制起着至关重要的作用。 2022 年 12 月 20 日,中国医学科学院北京协和医学院曹雪涛等多个团队联合在 Science Signaling 杂志发表研究论文 Degradation of HDAC10 by autophagy promotes IRF3-mediated antiviral innate immune responses。 该研究发现 HDAC10(组蛋白去乙酰化酶 IIb 家族成员)是 IRF3 介导的编码 I 型 IRF 基因
PNAS:曹雪涛院士团队发现 LncRNA 调控抗病毒天然免疫和自身免疫病的新机制
感染的巨噬细胞中,Rbck1 充当靶向 IRF3 的 E3 泛素连接酶来介导其降解。 临床衔接:系统性红斑狼疮 SLE 病人中是怎样的情况?天然免疫应答的失调在许多自身免疫性疾病的发展中起关键作用。系统性红斑狼疮(SLE)是一种常见且可能致命的自身免疫性疾病,其特征是自身抗体的产生和 I 型 IFN 的高表达。作者发现与 SLE 患者的外周血单个核细胞(PBMC)中的 MALAT1 表达显著降低,而 IFNA mRNA 水平显着升高。此外,在 SLE 患者的 PBMCs 中,作者还观察到 TDP43
】EBV模板 【求助】初次做表达(流感病毒HA基因),应该从何看起呢 【求助】大鼠外周血中性粒细胞(PMN)分离 【求助】R&D的mIL-2如何计算活性单位 【求助】Sendai virus 刺激293,IRF3为什么不入核? 【求助】半年前的ACD保存的全血,可以用来测细胞因子活性和定量吗 【求助】有没有人用FITC跑过琼脂糖电泳? 【求助】有关亲和膜的问题 【求助】鱼C3的westen blot检测,可以用人的C3抗体吗? 【求助】急求:急性
技术资料暂无技术资料 索取技术资料








