相关产品推荐更多 >
万千商家帮你免费找货
0 人在求购买到急需产品
- 详细信息
- 文献和实验
- 技术资料
- 免疫原:
leprecan-like 1
- 亚型:
IgG
- 形态:
liquid
- 保存条件:
-20℃ 12月
- 克隆性:
polyclonal
- 标记物:
未标记
- 适应物种:
Human, Mouse
- 保质期:
-20℃ 12月
- 抗原来源:
leprecan-like 1
- 目录编号:
FNab04752
- 级别:
科研
- 库存:
100
- 供应商:
武汉菲恩生物科技有限公司
- 宿主:
Rabbit
- 应用范围:
ELISA, WB, IHC, IP
- 靶点:
P3H2
- 抗体英文名:
P3H2 antibody
- 抗体名:
P3H2抗体
- 规格:
50ug/100ug
| 规格: | 50ug | 产品价格: | ¥1140.0 |
|---|---|---|---|
| 规格: | 100ug | 产品价格: | ¥1900.0 |

产品介绍
| 产品名称 | P3H2 antibody |
| 中文名称 | P3H2抗体 |
| 货号 | FNab04752 |
| 规格 | 50ug/100ug |
| 宿主 | Rabbit |
| 反应种属 | Human, Mouse |
| 验证应用 | ELISA, WB, IHC, IP |
| 状态 | liquid |
| 纯化方法 | Immunogen affinity purified |
| 纯度 | ≥95% as determined by SDS-PAGE |
| 克隆性 | polyclonal |
| 亚型 | IgG |
| 免疫原 | leprecan-like 1 |
| 免疫原别称 | Prolyl 3-hydroxylase 2|Leprecan-like protein 1|Myxoid liposarcoma-associated protein 4|P3H2|LEPREL1|MLAT4 |
| Uniprot ID | Q8IVL5 |
| 分子量 | 80 kDa |
| 建议稀释比例 | WB: 1:500-1:2000; IP: 1:200-1:1000; IHC: 1:20-1:200 |
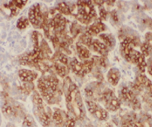
| 验证图片 |
Immunohistochemistry of paraffin-embedded human liver using FNab04752(P3H2 antibody) at dilution of 1:50 IP Result of anti-P3H2 (IP:FNab04752, 4ug; Detection:FNab04752 1:600) with mouse kidney tissue lysate 4000ug.
mouse kidney tissue were subjected to SDS PAGE followed by western blot with FNab04752(P3H2 antibody) at dilution of 1:600 |
| 存储 | PBS with 0.02% sodium azide and 50% glycerol pH 7.3, -20℃ for 12 months(Avoid repeated freeze / thaw cycles.) |
| 注意事项 | P3H2 antibody仅供科研使用 |
菲恩生物抗体产品优势
种类齐全:有10000多种经过验证的免多抗和小鼠单抗,包括流式抗体、内参抗体、标签抗体、小分子化合物抗体、对照抗体等;
多种标记/非标记二抗:针对兔、羊、小鼠、大鼠、人等多个种属。100多种标记二抗,标记物包括HRP、Biotin、FITC、Cy3、Alexa Fluor 488、Alexa Fluor 594等,通过了蛋白质印迹、免疫荧光、免疫组织化学、流式细胞术和ELISA等免疫学相关应用的充分验证,可满足各种实验需求;
验证过多种实验:ELISA、WB、IHC、IF、IP、FC等应用,并进行了广泛的物种交叉实验。
风险提示:丁香通仅作为第三方平台,为商家信息发布提供平台空间。用户咨询产品时请注意保护个人信息及财产安全,合理判断,谨慎选购商品,商家和用户对交易行为负责。对于医疗器械类产品,请先查证核实企业经营资质和医疗器械产品注册证情况。
文献和实验即肽酰tRNA位点(peptidyl-tRNA site), 又叫供位(donor site), 或肽酰基位点, 主要位于大亚基, 是肽基tRNA移交肽链后肽酰tRNA所占据的位置, 即与延伸中的肽酰tRNA结合位点。
Single Primer ("Semi-Random") P
cresol red 2. T/TS 10.5 µL EDB 1 µL Taq Polymerase (Promega) @ 5 u/µL 1 µL TaqStart antibody (CloneTech) as delivered 3. EDB 2.5 mg/ml bovine serum albumin in 10 mM Tris, pH 8.3 References 1. S.R.J.A.M. Hermann
P-纤维素 P- cellulose 即磷酸纤维素( phosphocellulose),为阳离子交换纤维素的一种。
技术资料暂无技术资料 索取技术资料








