相关产品推荐更多 >
万千商家帮你免费找货
0 人在求购买到急需产品
- 详细信息
- 文献和实验
- 技术资料
- 免疫原:
MHC class I polypeptide-related sequence B
- 亚型:
IgG
- 形态:
liquid
- 保存条件:
-20℃ 12月
- 克隆性:
polyclonal
- 标记物:
未标记
- 适应物种:
Human
- 保质期:
-20℃ 12月
- 抗原来源:
MHC class I polypeptide-related sequence B
- 目录编号:
FNab05180
- 级别:
科研
- 库存:
100
- 供应商:
武汉菲恩生物科技有限公司
- 宿主:
Rabbit
- 应用范围:
ELISA, IHC, WB
- 靶点:
MICB
- 抗体英文名:
MICB antibody
- 抗体名:
MICB抗体
- 规格:
50ug/100ug
| 规格: | 50ug | 产品价格: | ¥1260.0 |
|---|---|---|---|
| 规格: | 100ug | 产品价格: | ¥2100.0 |

产品介绍
| 产品名称 | MICB antibody |
| 中文名称 | MICB抗体 |
| 货号 | FNab05180 |
| 规格 | 50ug/100ug |
| 宿主 | Rabbit |
| 反应种属 | Human |
| 验证应用 | ELISA, IHC, WB |
| 状态 | liquid |
| 纯化方法 | Immunogen affinity purified |
| 纯度 | ≥95% as determined by SDS-PAGE |
| 克隆性 | polyclonal |
| 亚型 | IgG |
| 免疫原 | MHC class I polypeptide-related sequence B |
| 免疫原别称 | MHC class I polypeptide-related sequence B (MIC-B)|MICB|PERB11.2 |
| Uniprot ID | Q29980 |
| 分子量 | 43 kDa |
| 建议稀释比例 | WB: 1:500-1:2000; IHC: 1:20-1:200 |
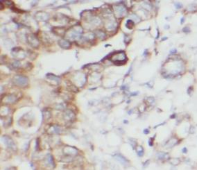
| 验证图片 | Immunohistochemistry of paraffin-embedded human breast cancer tissue slide using FNab05180(MICB Antibody) at dilution of 1:50 Transfected HEK-293 cells were subjected to SDS PAGE followed by western blot with FNab05180(MICB Antibody) at dilution of 1:3000 |
| 存储 | PBS with 0.02% sodium azide and 50% glycerol pH 7.3, -20℃ for 12 months(Avoid repeated freeze / thaw cycles.) |
| 注意事项 | MICB antibody仅供科研使用 |
菲恩生物抗体产品优势
种类齐全:有10000多种经过验证的免多抗和小鼠单抗,包括流式抗体、内参抗体、标签抗体、小分子化合物抗体、对照抗体等;
多种标记/非标记二抗:针对兔、羊、小鼠、大鼠、人等多个种属。100多种标记二抗,标记物包括HRP、Biotin、FITC、Cy3、Alexa Fluor 488、Alexa Fluor 594等,通过了蛋白质印迹、免疫荧光、免疫组织化学、流式细胞术和ELISA等免疫学相关应用的充分验证,可满足各种实验需求;
验证过多种实验:ELISA、WB、IHC、IF、IP、FC等应用,并进行了广泛的物种交叉实验。
风险提示:丁香通仅作为第三方平台,为商家信息发布提供平台空间。用户咨询产品时请注意保护个人信息及财产安全,合理判断,谨慎选购商品,商家和用户对交易行为负责。对于医疗器械类产品,请先查证核实企业经营资质和医疗器械产品注册证情况。
文献和实验Nature:癌症疫苗新突破!调动 T 细胞与 NK 细胞的双重攻击,全面杀灭癌细胞
-巨噬细胞集落刺激因子(GM-CSF)和佐剂 CpG ODN 1826 都被整合到该疫苗设计中。 图片来源:Nature 对转移性肿瘤的疗效 后续的实验结果表明,MICB α3 域疫苗(MICB-vax)可诱导高滴度的抗体,同时还能诱导 CD4+ T 细胞的增殖和增强 CD8+ T 细胞对 MICB 的反应。在体内,MICB-vax 可明显抑制 MICB 的脱落,并大大增加了细胞表面密度 MICB 的水平以及抗肿瘤作用。 图片来源:Nature 为了评估 MICB-vax 诱导的免疫记忆,在初次
αβT细胞的攻击。 相比之下,γδT细胞是固有免疫系统中的效应细胞,这些细胞以MHC不受限制的方式发挥作用,使它们成为癌症免疫治疗的理想介质。最近的研究表明,γδT细胞对各种类型的癌细胞具有强大的细胞毒性作用。然而,γδT细胞仅占循环淋巴细胞的一小部分,临床效益并不令人满意。目前,如何在体外获得数量充足且功能强大的γδT细胞正在成为研究的热点,一些改进方法,如双特异性抗体和CAR-γδT可能突破γδT细胞的局限性,提高抗肿瘤效果。 γδT细胞的激活 人类外周血γδT细胞主要表达Vδ2链
技术资料暂无技术资料 索取技术资料








