相关产品推荐更多 >
万千商家帮你免费找货
0 人在求购买到急需产品
- 详细信息
- 文献和实验
- 技术资料
- 免疫原:
v-rel reticuloendotheliosis viral oncogene homolog B
- 亚型:
IgG
- 形态:
liquid
- 保存条件:
-20℃ 12月
- 克隆性:
polyclonal
- 标记物:
未标记
- 适应物种:
Human
- 保质期:
-20℃ 12月
- 抗原来源:
v-rel reticuloendotheliosis viral oncogene homolog B
- 目录编号:
FNab07234
- 级别:
科研
- 库存:
100
- 供应商:
武汉菲恩生物科技有限公司
- 宿主:
Rabbit
- 应用范围:
ELISA, IF, IHC, IP, WB
- 靶点:
RELB
- 抗体英文名:
RELB antibody
- 抗体名:
RELB抗体
- 规格:
50ug/100ug
| 规格: | 50ug | 产品价格: | ¥1260.0 |
|---|---|---|---|
| 规格: | 100ug | 产品价格: | ¥2100.0 |

产品介绍
| 产品名称 | RELB antibody |
| 中文名称 | RELB抗体 |
| 货号 | FNab07234 |
| 规格 | 50ug/100ug |
| 宿主 | Rabbit |
| 反应种属 | Human |
| 验证应用 | ELISA, IF, IHC, IP, WB |
| 状态 | liquid |
| 纯化方法 | Immunogen affinity purified |
| 纯度 | ≥95% as determined by SDS-PAGE |
| 克隆性 | polyclonal |
| 亚型 | IgG |
| 免疫原 | v-rel reticuloendotheliosis viral oncogene homolog B |
| 免疫原别称 | Transcription factor RelB|I-Rel|RELB |
| Uniprot ID | Q01201 |
| 分子量 | 62 kDa |
| 建议稀释比例 | WB: 1:500-1:5000; IP: 1:200-1:1000; IHC: 1:20-1:200; IF: 1:10-1:100 |
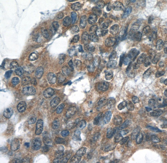
| 验证图片 |
Immunohistochemistry of paraffin-embedded human colon cancer tissue slide using FNab07234(RELB Antibody) at dilution of 1:50
Immunofluorescent analysis of HeLa cells using FNab07234 (RELB Antibody) at dilution of 1:25 and Rhodamine-Goat anti-Rabbit IgG IP Result of anti-RELB (IP:FNab07234, 3ug; Detection:FNab07234 1:300) with Raji cells lysate 2500ug.
Raji cells were subjected to SDS PAGE followed by western blot with FNab07234(RELB Antibody) at dilution of 1:1000 |
| 存储 | PBS with 0.02% sodium azide and 50% glycerol pH 7.3, -20℃ for 12 months(Avoid repeated freeze / thaw cycles.) |
| 注意事项 | RELB antibody仅供科研使用 |
菲恩生物抗体产品优势
种类齐全:有10000多种经过验证的免多抗和小鼠单抗,包括流式抗体、内参抗体、标签抗体、小分子化合物抗体、对照抗体等;
多种标记/非标记二抗:针对兔、羊、小鼠、大鼠、人等多个种属。100多种标记二抗,标记物包括HRP、Biotin、FITC、Cy3、Alexa Fluor 488、Alexa Fluor 594等,通过了蛋白质印迹、免疫荧光、免疫组织化学、流式细胞术和ELISA等免疫学相关应用的充分验证,可满足各种实验需求;
验证过多种实验:ELISA、WB、IHC、IF、IP、FC等应用,并进行了广泛的物种交叉实验。
风险提示:丁香通仅作为第三方平台,为商家信息发布提供平台空间。用户咨询产品时请注意保护个人信息及财产安全,合理判断,谨慎选购商品,商家和用户对交易行为负责。对于医疗器械类产品,请先查证核实企业经营资质和医疗器械产品注册证情况。
文献和实验激活-核转运检测试剂盒仅染色p65,不染色RelB、C-Rel、p50和p52。使用本试剂盒染色后NF-κB呈红色荧光,细胞核呈蓝色荧光.思考信号转导和检测的理论 我做了这样的回答(个人意见.大家可以讨论!): 这种理论上来讲可行,但是实际操作可能拿不到你想要得结果,原因很简单,凭染色来判断是很难区分程度上的差异的,就比如做WB实验,经典的还是化学发光的方法,显色的方法只能得到信号比较强的蛋白,遇到信号比较弱的蛋白就误差很大了, 第二点,并不是所有能进核的蛋白都有结合DNA
是否被激活.本NF-κB激活-核转运检测试剂盒仅染色p65,不染色RelB、C-Rel、p50和p52。使用本试剂盒染色后NF-κB呈红色荧光,细胞核呈蓝色荧光.思考信号转导和检测的理论我做了这样的回答(个人意见.大家可以讨论!): 这种理论上来讲可行,但是实际操作可能拿不到你想要得结果,原因很简单,凭染色来判断是很难区分程度上的差异的,就比如做WB实验,经典的还是化学发光的方法,显色的方法只能得到信号比较强的蛋白,遇到信号比较弱的蛋白就误差很大了, 第二点,并不是所有能进核的蛋白都有结合DNA
。但随后在非B-细胞的细胞质中被发现,形成NF-kB和IkB的复合物。最初在DNA结合蛋白复合物中分离的NF-kB是由p65(RelA)和p50构成的异源双聚体。其他分离的单体包括p49(也可称为p52),p75(c-Rel),p68(RelB)。p65,p68,p75单体起反式激活作用。p50,p49(p52)单体具有DNA结合活力,但只具有微量的反式激活作用。据报道p49和NF-kB的单体p65形成具有转录活力的异源双体,类似于p50/ p65异源双体。p49/ p65和p50/ p65异源双体在细胞
技术资料暂无技术资料 索取技术资料








