相关产品推荐更多 >
万千商家帮你免费找货
0 人在求购买到急需产品
- 详细信息
- 文献和实验
- 技术资料
- 免疫原:
interleukin 18(interferon-gamma-inducing factor)
- 亚型:
IgG
- 形态:
liquid
- 保存条件:
-20℃ 12月
- 克隆性:
polyclonal
- 标记物:
未标记
- 适应物种:
Human, RAT
- 保质期:
-20℃ 12月
- 抗原来源:
interleukin 18(interferon-gamma-inducing factor)
- 目录编号:
FNab06764
- 级别:
科研
- 库存:
100
- 供应商:
武汉菲恩生物科技有限公司
- 宿主:
Rabbit
- 应用范围:
ELISA, WB, IP, IHC, IF
- 靶点:
Pre-IL18
- 抗体英文名:
Pre-IL18 antibody
- 抗体名:
Pre-IL18抗体
- 规格:
50ug/100ug
| 规格: | 50ug | 产品价格: | ¥1260.0 |
|---|---|---|---|
| 规格: | 100ug | 产品价格: | ¥2100.0 |

产品介绍
| 产品名称 | Pre-IL18 antibody |
| 中文名称 | Pre-IL18抗体 |
| 货号 | FNab06764 |
| 规格 | 50ug/100ug |
| 宿主 | Rabbit |
| 反应种属 | Human, RAT |
| 验证应用 | ELISA, WB, IP, IHC, IF |
| 状态 | liquid |
| 纯化方法 | Immunogen affinity purified |
| 纯度 | ≥95% as determined by SDS-PAGE |
| 克隆性 | polyclonal |
| 亚型 | IgG |
| 免疫原 | interleukin 18(interferon-gamma-inducing factor) |
| 免疫原别称 | Interleukin-18 (IL-18)|Iboctadekin|Interferon gamma-inducing factor (IFN-gamma-inducing factor)|Interleukin-1 gamma (IL-1 gamma)|IL18|IGIF|IL1F4 |
| Uniprot ID | Q14116 |
| 分子量 | 24 kDa |
| 建议稀释比例 | WB: 1:500-1:2000; IP: 1:500-1:5000 ; IHC: 1:50-1:500; IF: 1:10-1:100 |
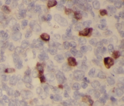
| 验证图片 |
Immunohistochemistry of paraffin-embedded human tonsillitis tissue slide using FNab06764(Pre-IL18 Antibody) at dilution of 1:100
Immunofluorescent analysis of HeLa cells using FNab06764 ( Pre-IL18 Antibody) at dilution of 1:25 and Alexa Fluor 488-conjugated AffiniPure Goat Anti-Rabbit IgG(H+L) IP Result of anti-Pre-IL18 (IP:FNab06764, 3ug; Detection:FNab06764 1:1000) with HeLa cells lysate 5000ug.
HeLa cells were subjected to SDS PAGE followed by western blot with FNab06764(Pre-IL18 antibody) at dilution of 1:1000 |
| 存储 | PBS with 0.02% sodium azide and 50% glycerol pH 7.3, -20℃ for 12 months(Avoid repeated freeze / thaw cycles.) |
| 注意事项 | Pre-IL18 antibody仅供科研使用 |
菲恩生物抗体产品优势
种类齐全:有10000多种经过验证的免多抗和小鼠单抗,包括流式抗体、内参抗体、标签抗体、小分子化合物抗体、对照抗体等;
多种标记/非标记二抗:针对兔、羊、小鼠、大鼠、人等多个种属。100多种标记二抗,标记物包括HRP、Biotin、FITC、Cy3、Alexa Fluor 488、Alexa Fluor 594等,通过了蛋白质印迹、免疫荧光、免疫组织化学、流式细胞术和ELISA等免疫学相关应用的充分验证,可满足各种实验需求;
验证过多种实验:ELISA、WB、IHC、IF、IP、FC等应用,并进行了广泛的物种交叉实验。
风险提示:丁香通仅作为第三方平台,为商家信息发布提供平台空间。用户咨询产品时请注意保护个人信息及财产安全,合理判断,谨慎选购商品,商家和用户对交易行为负责。对于医疗器械类产品,请先查证核实企业经营资质和医疗器械产品注册证情况。
文献和实验人结合珠蛋白/触珠蛋白前体(pre-Hpt/HAP)酶联免疫分析(ELISA)
人结合珠蛋白/ 触珠蛋白前体(pre-Hpt/HAP) 酶联免疫分析(ELISA ) 试剂盒使用说明书 本试剂仅供研究使用 目的:本试剂盒用于测定人血清,血浆及相关液体样本中 结合珠蛋白 / 触珠蛋白前体 (pre-Hpt/HAP) 的 含量。 实验原理: 本试剂盒应用双抗体夹心法测定标本中人 结合珠蛋白 / 触珠蛋白前体 (pre-Hpt/HAP) 水平。用纯化的人 结合珠蛋白 / 触珠蛋白前体 (pre-Hpt/HAP) 抗体
的,但是这结果是不是假阳性呢?还得做个阴性对照。阴性对照如何设置呢?考虑到整个实验体系会出现 beads、抗X抗体、诱饵蛋白 X、靶蛋白 Y(co-IP): 可能出现的假阳性来源 需要的阴性对照 抗 X 抗体结合非特异的蛋白 与 IP 一抗种属亚型相同的免疫球蛋白(比如,抗 X 抗体是 Mouse IgG,阴性对照可使用 Mouse 免疫球蛋白) beads 对蛋白的非特异结合* 同上,此外还可进行 Pre clear,IP 正式实验前排除非特异结合蛋白。如果使用琼脂
【进展|热点】Nature:TGF-β并非Th17细胞分化的必要因素
09447.html?lang=en 内容简介: 传统的观点认为,TGF-β1对于Th17细胞的分化至关重要。但这篇文章却发现:TGF-β1并非Th17细胞分化的必需因素。因为TGF-β1信号通路缺失的小鼠小肠肠黏膜固有层内Th17细胞绝对数并没有减少。体外分化实验证实:在没有外源性TGF-β1以及采用中和抗体完全阻断内源性TGF-β1的活性的条件下,仅仅依靠IL-1β、IL-6和IL-23就可以诱导出Th17细胞。其中,IL-1β和IL-6可以诱导IL-23受体的表达,该作用可以被IL-23
技术资料暂无技术资料 索取技术资料








