相关产品推荐更多 >
万千商家帮你免费找货
0 人在求购买到急需产品
- 详细信息
- 文献和实验
- 技术资料
- 免疫原:
Sec61 gamma subunit
- 亚型:
IgG
- 形态:
liquid
- 保存条件:
-20℃ 12月
- 克隆性:
polyclonal
- 标记物:
未标记
- 适应物种:
Human, Mouse, Rat
- 保质期:
-20℃ 12月
- 抗原来源:
Sec61 gamma subunit
- 目录编号:
FNab07692
- 级别:
科研
- 库存:
100
- 供应商:
武汉菲恩生物科技有限公司
- 宿主:
Rabbit
- 应用范围:
ELISA, WB, IHC
- 靶点:
SEC61G
- 抗体英文名:
SEC61G antibody
- 抗体名:
SEC61G抗体
- 规格:
50ug/100ug
| 规格: | 50ug | 产品价格: | ¥1140.0 |
|---|---|---|---|
| 规格: | 100ug | 产品价格: | ¥1900.0 |

产品介绍
| 产品名称 | SEC61G antibody |
| 中文名称 | SEC61G抗体 |
| 货号 | FNab07692 |
| 规格 | 50ug/100ug |
| 宿主 | Rabbit |
| 反应种属 | Human, Mouse, Rat |
| 验证应用 | ELISA, WB, IHC |
| 状态 | liquid |
| 纯化方法 | Immunogen affinity purified |
| 纯度 | ≥95% as determined by SDS-PAGE |
| 克隆性 | polyclonal |
| 亚型 | IgG |
| 免疫原 | Sec61 gamma subunit |
| 免疫原别称 | Protein transport protein Sec61 subunit gamma|SEC61G |
| Uniprot ID | P60059 |
| 分子量 | 7.7 kDa |
| 建议稀释比例 | WB: 1:500-1:2000; IHC: 1:20-1:200 |
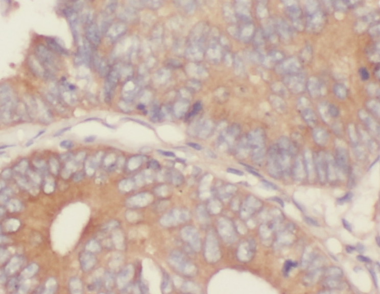
| 验证图片 | Immunohistochemistry of paraffin-embedded human colon cancer using FNab07692(SEC61G antibody) at dilution of 1:50 HEK-293 cells were subjected to SDS PAGE followed by western blot with FNab07692(SEC61G antibody) at dilution of 1:400 |
| 存储 | PBS with 0.02% sodium azide and 50% glycerol pH 7.3, -20℃ for 12 months(Avoid repeated freeze / thaw cycles.) |
| 注意事项 | SEC61G antibody仅供科研使用 |
菲恩生物抗体产品优势
种类齐全:有10000多种经过验证的免多抗和小鼠单抗,包括流式抗体、内参抗体、标签抗体、小分子化合物抗体、对照抗体等;
多种标记/非标记二抗:针对兔、羊、小鼠、大鼠、人等多个种属。100多种标记二抗,标记物包括HRP、Biotin、FITC、Cy3、Alexa Fluor 488、Alexa Fluor 594等,通过了蛋白质印迹、免疫荧光、免疫组织化学、流式细胞术和ELISA等免疫学相关应用的充分验证,可满足各种实验需求;
验证过多种实验:ELISA、WB、IHC、IF、IP、FC等应用,并进行了广泛的物种交叉实验。
风险提示:丁香通仅作为第三方平台,为商家信息发布提供平台空间。用户咨询产品时请注意保护个人信息及财产安全,合理判断,谨慎选购商品,商家和用户对交易行为负责。对于医疗器械类产品,请先查证核实企业经营资质和医疗器械产品注册证情况。
文献和实验phosphate buffer, pH 7, you first need to make two solutions: Solution A: 27.2 g KH2PO4 in 1 L water. Solution B: 34.8 g K2HPO4 in 1 L water. Mix 39 ml Solution A and 61 ml Solution B and then add 100 ml of water.
PCR试剂 ,20μl反应体系包括: 10μl 2×T品牌定量PCR试剂, 8.2μl RNA Free Water,0.4μl Primer F,0.4μl Primer R,1μl cDNA。每份试剂三管重复。 反应程序:95℃10min,95℃ 15sec,61℃ 31sec,40个循环。实验结果 小鼠肝脏组织RNA经反转录成的cDNA分别用BioTeke公司试剂、A公司试剂和T公司试剂同时进行两步法荧光定量PCR扩增结果如图1。 从两个公司试剂的扩增曲线(图1a)中可以看出
Sequencing off Bacterial Genomic DNA with ABI Big Dye Terminators
Template 3-6μgFinal Reaction Volume 40μlCycle Conditions:95 degC- 5 min.initial hold45 cycles of95 degC- 30 sec.55 degC- 20 sec.60 degC- 4 min.4 degC holdPurify through G-50 spin columns and load under standard gel conditions*PE-ABI #4303150 for the 1000
技术资料暂无技术资料 索取技术资料







