相关产品推荐更多 >
万千商家帮你免费找货
0 人在求购买到急需产品
- 详细信息
- 询价记录
- 文献和实验
- 技术资料
- 免疫原:
ras homolog gene family, member A
- 亚型:
IgG
- 形态:
liquid
- 保存条件:
-20℃ 12月
- 克隆性:
polyclonal
- 标记物:
未标记
- 适应物种:
Human, Mouse, Rat
- 保质期:
-20℃ 12月
- 抗原来源:
ras homolog gene family, member A
- 目录编号:
FNab07281
- 级别:
科研
- 库存:
100
- 供应商:
武汉菲恩生物科技有限公司
- 宿主:
Rabbit
- 应用范围:
ELISA, WB, IHC
- 靶点:
RHOA
- 抗体英文名:
RHOA antibody
- 抗体名:
RHOA抗体
- 规格:
50ug/100ug
| 规格: | 50ug | 产品价格: | ¥900.0 |
|---|---|---|---|
| 规格: | 100ug | 产品价格: | ¥1500.0 |

产品介绍
| 产品名称 | RHOA antibody |
| 中文名称 | RHOA抗体 |
| 货号 | FNab07281 |
| 规格 | 50ug/100ug |
| 宿主 | Rabbit |
| 反应种属 | Human, Mouse, Rat |
| 验证应用 | ELISA, WB, IHC |
| 状态 | liquid |
| 纯化方法 | Immunogen affinity purified |
| 纯度 | ≥95% as determined by SDS-PAGE |
| 克隆性 | polyclonal |
| 亚型 | IgG |
| 免疫原 | ras homolog gene family, member A |
| 免疫原别称 | Transforming protein RhoA|Rho cDNA clone 12 (h12)|RHOA|ARH12|ARHA|RHO12 |
| Uniprot ID | P61586 |
| 分子量 | 21 kDa |
| 建议稀释比例 | WB: 1:500 - 1:2000; IHC: 1:50 - 1:200 |
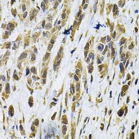
| 验证图片 | Immunohistochemistry of paraffin-embedded human gastric cancer tissue slide using FNab07281( RHOA Antibody) at dilution of 1:100 HeLa cells were subjected to SDS PAGE followed by western blot with FNab07281(RHOA antibody) at dilution of 1:1000 |
| 存储 | PBS with 0.02% sodium azide and 50% glycerol pH 7.3, -20℃ for 12 months (Avoid repeated freeze / thaw cycles.) |
| 注意事项 | RHOA antibody仅供科研使用 |
菲恩生物抗体产品优势
种类齐全:有10000多种经过验证的免多抗和小鼠单抗,包括流式抗体、内参抗体、标签抗体、小分子化合物抗体、对照抗体等;
多种标记/非标记二抗:针对兔、羊、小鼠、大鼠、人等多个种属。100多种标记二抗,标记物包括HRP、Biotin、FITC、Cy3、Alexa Fluor 488、Alexa Fluor 594等,通过了蛋白质印迹、免疫荧光、免疫组织化学、流式细胞术和ELISA等免疫学相关应用的充分验证,可满足各种实验需求;
验证过多种实验:ELISA、WB、IHC、IF、IP、FC等应用,并进行了广泛的物种交叉实验。
风险提示:丁香通仅作为第三方平台,为商家信息发布提供平台空间。用户咨询产品时请注意保护个人信息及财产安全,合理判断,谨慎选购商品,商家和用户对交易行为负责。对于医疗器械类产品,请先查证核实企业经营资质和医疗器械产品注册证情况。
- 作者
- 内容
- 询问日期
文献和实验【求助】急!急!膜结合RhoA 与胞质可溶性RhoA如何分离检测(western)
yigerenguo 各位大虾,最近做实验需要检测膜结合RhoA,看文献写得RhoA移位胞膜是其激活关键,怎样分别检测膜结合RhoA 与胞质可溶性RhoA??二者用同一抗体吗?根据分子大小不同区分吗?还有就是膜结合RhoA 是GTP-RhoA吗?? 胞质可溶性RhoA就是GDP-RhoA吗??差了不少文献,一直没找到结果,非常郁闷,谁做过或者知道相关方面的请指导一下,非常感谢!! doudouzxj 超速离心,分别提
阿兰梦 看了文献测活性RhoA 有几种方法: 1、经典的,是放射标记γ32-P-GTP 方法,因为放射性,现在不怎么用了。 2、看到国内有文献,采用分离胞膜胞浆,然后用抗RhoA抗体做western。这是基于胞浆都是GDP-RhoA,胞膜是GTP-RhoA的原理,但是总觉得有什么不对的地方?为什么没有被广泛采用? 3、现在多采用 pull down方法,RhoA-GTP与Rhotekin的RBD结合,最后
在免疫反应方面,基于抗原的刺激在体内形成、并与抗原作特异性结合的蛋白质之总称。其化学实质是免疫球蛋白。抗体,按照抗原抗体反应的类型可分别称为沉淀素、凝集素、溶血素、溶菌素、抗毒素、中和抗体等,但这些并不等于有相应的不同抗体存在,一般多只表明抗体反应的多样性而已。抗体在血清中含量最多(体液抗体=humoral antibody);含有某特定抗体的血清称为抗血或免疫血清。
技术资料暂无技术资料 索取技术资料








