相关产品推荐更多 >
万千商家帮你免费找货
0 人在求购买到急需产品
- 详细信息
- 文献和实验
- 技术资料
- 免疫原:
transmembrane protein 173
- 亚型:
IgG
- 形态:
liquid
- 保存条件:
-20℃ 12月
- 克隆性:
polyclonal
- 标记物:
未标记
- 适应物种:
Human, Mouse, Rat
- 保质期:
-20℃ 12月
- 抗原来源:
transmembrane protein 173
- 目录编号:
FNab08759
- 级别:
科研
- 库存:
100
- 供应商:
武汉菲恩生物科技有限公司
- 宿主:
Rabbit
- 应用范围:
ELISA, WB, IHC
- 靶点:
STING1
- 抗体英文名:
STING1 antibody
- 抗体名:
STING1抗体
- 规格:
50ug/100ug
| 规格: | 50ug | 产品价格: | ¥1140.0 |
|---|---|---|---|
| 规格: | 100ug | 产品价格: | ¥1900.0 |

产品介绍
| 产品名称 | STING1 antibody |
| 中文名称 | STING1抗体 |
| 货号 | FNab08759 |
| 规格 | 50ug/100ug |
| 宿主 | Rabbit |
| 反应种属 | Human, Mouse, Rat |
| 验证应用 | ELISA, WB, IHC |
| 状态 | liquid |
| 纯化方法 | Immunogen affinity purified |
| 纯度 | ≥95% as determined by SDS-PAGE |
| 克隆性 | polyclonal |
| 亚型 | IgG |
| 免疫原 | transmembrane protein 173 |
| 免疫原别称 | Stimulator of interferon genes protein (hSTING)|Endoplasmic reticulum interferon stimulator (ERIS)|Mediator of IRF3 activation (hMITA)|Transmembrane protein 173|STING1|ERIS|MITA|STING|TMEM173 |
| Uniprot ID | Q86WV6 |
| 分子量 | 39 kDa |
| 建议稀释比例 | WB: 1:500 - 1:2000; IHC: 1:50 - 1:100 |
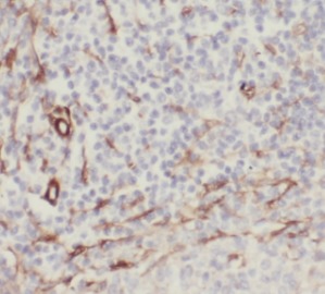
| 验证图片 | Immunohistochemistry of paraffin-embedded human spleen using FNab08759(TMEM173 antibody) at dilution of 1:100 mouse thymus tissue were subjected to SDS PAGE followed by western blot with FNab08759(TMEM173 antibody) at dilution of 1:1000 |
| 存储 | PBS with 0.02% sodium azide and 50% glycerol pH 7.3, -20℃ for 12 months (Avoid repeated freeze / thaw cycles.) |
| 注意事项 | STING1 antibody仅供科研使用 |
菲恩生物抗体产品优势
种类齐全:有10000多种经过验证的免多抗和小鼠单抗,包括流式抗体、内参抗体、标签抗体、小分子化合物抗体、对照抗体等;
多种标记/非标记二抗:针对兔、羊、小鼠、大鼠、人等多个种属。100多种标记二抗,标记物包括HRP、Biotin、FITC、Cy3、Alexa Fluor 488、Alexa Fluor 594等,通过了蛋白质印迹、免疫荧光、免疫组织化学、流式细胞术和ELISA等免疫学相关应用的充分验证,可满足各种实验需求;
验证过多种实验:ELISA、WB、IHC、IF、IP、FC等应用,并进行了广泛的物种交叉实验。
风险提示:丁香通仅作为第三方平台,为商家信息发布提供平台空间。用户咨询产品时请注意保护个人信息及财产安全,合理判断,谨慎选购商品,商家和用户对交易行为负责。对于医疗器械类产品,请先查证核实企业经营资质和医疗器械产品注册证情况。
文献和实验三句话读懂一篇 CNS:线粒体突变降低癌症死亡风险 57% 以上;解密大猩猩捶胸口之谜...
-Separator Suppresses Innate Immune Signaling, 该研究发现 STING 蛋白相分离形成的内质网立方膜结构能调节天然免疫。在 DNA 病毒感染后期的细胞内,或体外用 STING 激活剂(2'3'-cGAMP、c-di-GMP)处理的细胞内,均可观察到未进行高尔基体转运的 STING 蛋白在内质网膜形成不少有高度液滴性质的微米级别的凝集体。 这些发现一解延续 60 余年的科研悬案,或许几乎所有生命体各种细胞内的各类立方膜结构的形成,都可能受相关跨膜蛋白相分离的驱动! 图
Cancer Cell:中山大学刘卓炜团队揭示膀胱癌成纤维细胞新亚群介导肿瘤干性和化疗抵抗
。 既往研究表明成纤维细胞亚群的分化往往需要依赖某类细胞因子和转录因子的调控 [3]。研究者通过对单细胞测序数据的进一步分析发现 SLC14A1+成纤维细胞高表达干扰素响应通路的相关基因。随后通过体、内外实验证实肿瘤 cGAS-STING 来源的一型干扰素信号可以诱导这一亚群的分化并维持其功能,而 STAT1 则是调控这一成纤维亚群的关键转录因子。 图 2:研究机制示意图 该研究进一步阐明了恶性肿瘤成纤维细胞亚群的多样性及其功能的差异性,论证了干扰素信号在促进免疫活化和介导肿瘤进展的两面性,对于开发
10.9 Nature:揭示蛋白 BORIS 是耐药性癌症产生的罪魁祸首
syntenin- 1 之间的结合,其中 syntenin- 1 是一种与外泌体生物发生有关的蛋白。UNC93B1 和 TLR7 都可以在外泌体中检测到,这表明 UNC93B1 对 syntenin- 1 的招募促进将 TLR7 分选到多泡体(multivesicular body, MVB)的腔内囊泡中,从而终止信号转导。原文检索:UNC93B1 recruits syntenin- 1 to dampen TLR7 signalling and prevent autoimmunity ④ cell 揭示
技术资料暂无技术资料 索取技术资料









