相关产品推荐更多 >
万千商家帮你免费找货
0 人在求购买到急需产品
- 详细信息
- 文献和实验
- 技术资料
- 免疫原:
CD82 molecule
- 亚型:
IgG2a
- 形态:
liquid
- 保存条件:
-20℃ 12月
- 克隆性:
monoclonal
- 标记物:
未标记
- 适应物种:
Human, mouse
- 保质期:
-20℃ 12月
- 抗原来源:
CD82 molecule
- 目录编号:
FNab09921
- 级别:
科研
- 库存:
100
- 供应商:
武汉菲恩生物科技有限公司
- 宿主:
Mouse
- 应用范围:
ELISA, WB, IHC
- 靶点:
CD82
- 抗体英文名:
CD82 antibody
- 抗体名:
CD82抗体
- 规格:
50ug/100ug
| 规格: | 50ug | 产品价格: | ¥1140.0 |
|---|---|---|---|
| 规格: | 100ug | 产品价格: | ¥1900.0 |

产品介绍
| 产品名称 | CD82 antibody |
| 中文名称 | CD82抗体 |
| 货号 | FNab09921 |
| 规格 | 50ug/100ug |
| 宿主 | Mouse |
| 反应种属 | Human, mouse |
| 验证应用 | ELISA, WB, IHC |
| 状态 | liquid |
| 纯化方法 | protein A+G purified |
| 纯度 | ≥95% as determined by SDS-PAGE |
| 克隆性 | monoclonal |
| 亚型 | IgG2a |
| 免疫原 | CD82 molecule |
| 免疫原别称 | CD82 antigen|C33 antigen|IA4|Inducible membrane protein R2|Metastasis suppressor Kangai-1|Suppressor of tumorigenicity 6 protein|Tetraspanin-27 (Tspan-27)|CD82|KAI1|SAR2|ST6|TSPAN27 |
| Uniprot ID | P27701 |
| 分子量 | 48 kDa |
| 建议稀释比例 | WB: 1:1000-1:4000; IHC: 1:1000-1:3000 |
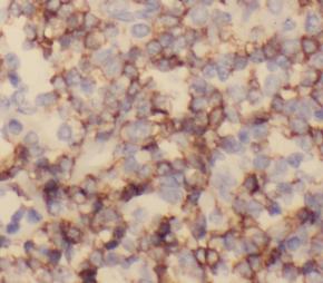
| 验证图片 | Immunohistochemistry of paraffin-embedded human tonsillitis tissue slide using FNab09921 (CD82 antibody) at dilution of 1:2000 Jurkat cells were subjected to SDS PAGE followed by western blot with FNab09921 (CD82 antibody) at dilution of 1:2000 |
| 存储 | PBS with 0.02% sodium azide and 50% glycerol pH 7.3, -20℃ for 12 months(Avoid repeated freeze / thaw cycles.) |
| 注意事项 | CD82 antibody仅供科研使用 |
菲恩生物抗体产品优势
种类齐全:有10000多种经过验证的免多抗和小鼠单抗,包括流式抗体、内参抗体、标签抗体、小分子化合物抗体、对照抗体等;
多种标记/非标记二抗:针对兔、羊、小鼠、大鼠、人等多个种属。100多种标记二抗,标记物包括HRP、Biotin、FITC、Cy3、Alexa Fluor 488、Alexa Fluor 594等,通过了蛋白质印迹、免疫荧光、免疫组织化学、流式细胞术和ELISA等免疫学相关应用的充分验证,可满足各种实验需求;
验证过多种实验:ELISA、WB、IHC、IF、IP、FC等应用,并进行了广泛的物种交叉实验。
风险提示:丁香通仅作为第三方平台,为商家信息发布提供平台空间。用户咨询产品时请注意保护个人信息及财产安全,合理判断,谨慎选购商品,商家和用户对交易行为负责。对于医疗器械类产品,请先查证核实企业经营资质和医疗器械产品注册证情况。
文献和实验CD82 分子 CD82 常用单克隆抗体或代号: 1A4,4F9;(R2) 主要表达细胞: Leu [B] 分子质量(kDa)和结构: gp50- 53(TM4-SF) 功 能: 淋巴细胞活化,信号传递 CD82 Aka prostate cancer antimetastasis gene KAI1, kang ai (Chinese for anticancer).
盒作者:muyanqbj2004 回复数:0000【求购】求购kiss-1, BRMS1 ,cd82 抗体作者:ciwawa123 回复数:0000【求购】抗大鼠的4型胶原组化一抗作者:cs99 回复数:0000【求购】ELISA KIT作者:foxrose 回复数:0000【求购】低价转让大鼠IFN-α定量EIA试剂盒作者:白兰石 回复数:0000【求购】大鼠抗CD154作者:liuzhg328 回复数:0000【求购】0.6%缓冲hetastarch液作者:紫钢 回复数:0000
主要表达细胞 分子量(kDa)和结构 功能 CD81 ID6,5A6(TAPA-1) B,T,M 22(TM-4成员) 离子通道,增殖抗体靶抗原 CD82 R2,1A4,4F9 B
技术资料暂无技术资料 索取技术资料







