相关产品推荐更多 >
万千商家帮你免费找货
0 人在求购买到急需产品
- 详细信息
- 文献和实验
- 技术资料
- 免疫原:
Recombinant fragment of human CD5 protein (around aa 269-366) (exact sequence is proprietary)
- 亚型:
IgG2b
- 形态:
Liquid
- 保存条件:
Store as concentrated solution. Centrifuge briefly prior to opening vial. For short-term storage (1-2 weeks), store at 4ºC. For long-term storage, aliquot and store at -20ºC or below. Avoid multiple freeze-thaw cycles.
- 克隆性:
Monoclonal
- 标记物:
Unconjugated
- 适应物种:
Human
- 保质期:
12 months from the shipping date of the product.
- 抗原来源:
Human
- 目录编号:
GTX18024
- 级别:
Primary Antibodies
- 库存:
Available
- 供应商:
GeneTex
- 宿主:
Mouse
- 应用范围:
WB, ICC/IF, IHC-P, FACS, Protein Array
- 浓度:
0.2 mg/ml (Please refer to the vial label for the specific concentration.)
- 靶点:
CD5
- 抗体英文名:
CD5 antibody [CD5/2416]
- 抗体名:
CD5 抗体 [CD5/2416]
- 规格:
100 μg
WB analysis of Jurkat cell lysate using GTX18024 CD5 antibody [CD5/2416].
FACS analysis of Jurkat cells using GTX18024 CD5 antibody [CD5/2416].
Blue : Primary antibody
Red : Isotype control
FACS analysis of Ramos cells using GTX18024 CD5 antibody [CD5/2416].
Blue : Primary antibody
Red : Isotype control
ICC/IF analysis of PFA-fixed Ramos cells using GTX18024 CD5 antibody [CD5/2416].
Green : Primary antibody
Red : nucleus
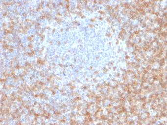
IHC-P analysis of human tonsil tissue using GTX18024 CD5 antibody [CD5/2416].
Analysis of Protein Array containing more than 19,000 full-length human proteins using Mouse CD5-Monospecific Monoclonal Antibody (CD5/2416). Z- and S- Score: The Z-score represents the strength of a signal that a monoclonal antibody produces when binding to a particular protein on the HuProtTM array. Z-scores are described in units of standard deviations (SD’s) above the mean value of all signals generated on that array. If targets on HuProtTM are arranged in descending order of the Z-score, the S-score is the difference (also in units of SD’s) between the Z-score. S-score therefore represents the relative target specificity of a Monoclonal Antibody to its intended target. A Monoclonal Antibody is considered to specific to its intended target if the Monoclonal Antibody has an S-score of at least 2.5. For example, if a Monoclonal Antibody binds to protein X with a Z-score of 43 and to protein Y with a Z-score of 14, then the S-score for the binding of that Monoclonal Antibody to protein X is equal to 29.
风险提示:丁香通仅作为第三方平台,为商家信息发布提供平台空间。用户咨询产品时请注意保护个人信息及财产安全,合理判断,谨慎选购商品,商家和用户对交易行为负责。对于医疗器械类产品,请先查证核实企业经营资质和医疗器械产品注册证情况。
文献和实验CD5 分子 CD5 常用单克隆抗体或代号:T1,UCHT2,T101,Leul 主要表达细胞:T,Thy,BsubC T细胞 分子质量(kDa)和结构:gp67(清除剂受体) 功 能:与CD72结合,T细胞信号转导和增殖,CD5+ B细胞与自身免疫有关 CD5 Belongs to ancient scavenger receptor family
Combined Flow Cytometric Measurement of Two Cell-Surface Antigens and DNA-RNA Content
Cell-Surface Staining 1. Place 1 x 106 PBS-washed cells into a tube, add 100 µL of antibody staining solution, and mix well. In addition, prepare cells to be stained with isotype-matched control antibodies, as well as cells
MATERIALS T-cell: CD2 IgG2b, 01171D B-cell: B220 (CD45R) IgG2a, 01121A CD3 IgG2b, 28001D Monocytic: Mac1 (CD11b) IgG2b, 01711A CD5 IgG2a, 01031
技术资料暂无技术资料 索取技术资料





![beta 2 Microglobulin antibody [B2M/961]](https://img1.dxycdn.com/2022/0328/806/0454705893500700453-14.jpg!wh200)
![CD34 antibody [HPCA1/763]](https://img1.dxycdn.com/2022/0328/361/4706658892299600453-14.jpg!wh200)



